原位黑色素瘤
Melanoma In Situ
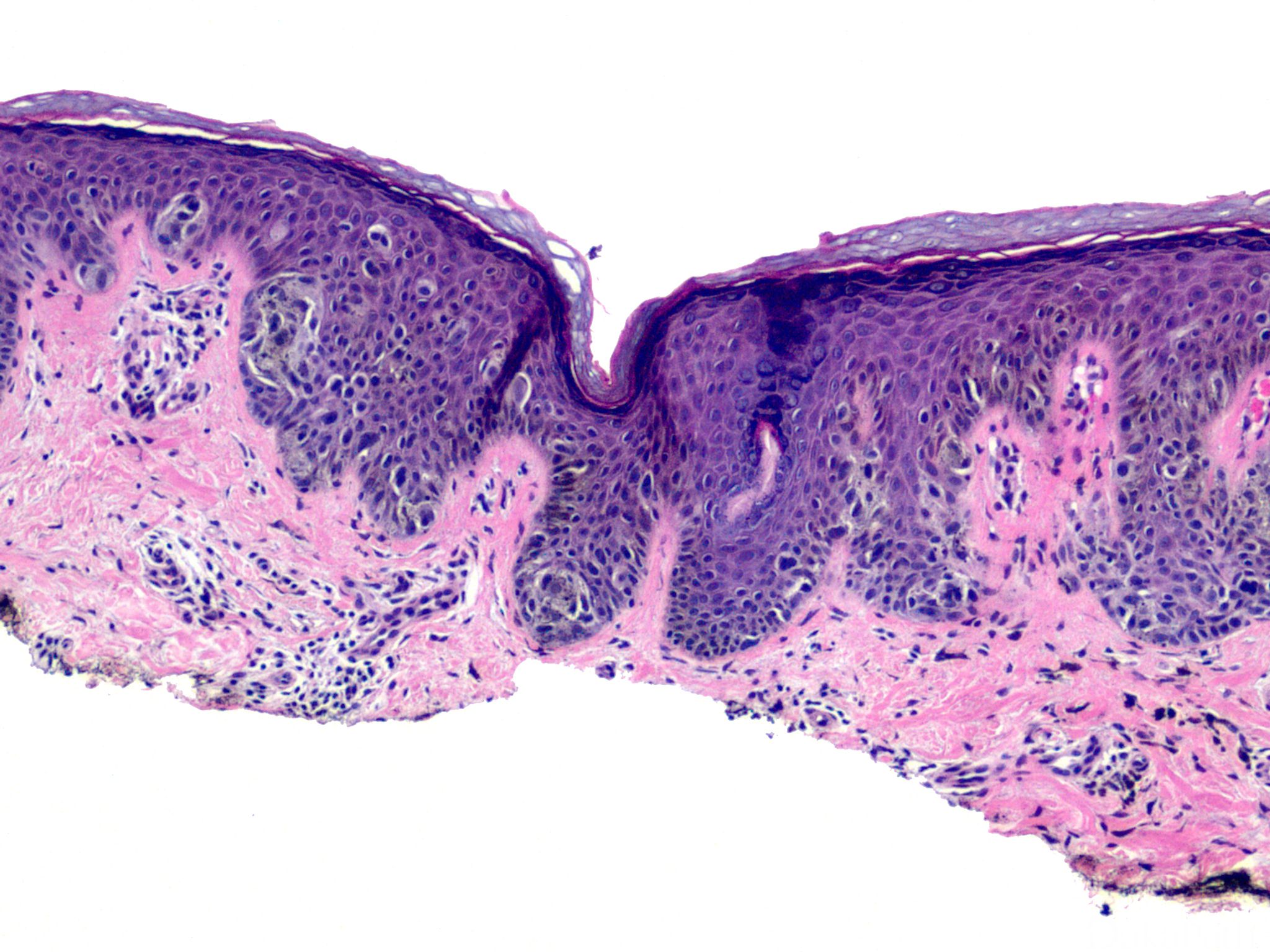
概述:
恶性黑色素细胞仅限于表皮,无真皮浸润。
发病部位: 暴晒区域皮肤
诊断要点:
好发于老年病人,平均发病年龄 63 岁,常见于暴晒区域皮肤,病变较大,边界不规则,色泽不均匀;
表皮内见广泛的不规则分布的异型黑色素细胞,至少局部区域散在分布的单个黑色素细胞比细胞巢更多;
通常在表皮-真皮交界处增生、融合呈细胞巢,细胞巢通常体积大,形状不规则,细胞巢内的细胞缺乏黏附性,上皮脚可消失;
黑色素细胞异型性显著,但有时可轻微,尤其在黏膜或慢性光损害皮肤发生的雀斑样黑色素瘤;
可呈 Paget 样扩散,也可累及皮肤附属器结构;
真皮可见苔藓样炎症反应。
