异型增生性痣
Dysplastic Nevus
同义词(或曾用名): 非典型痣、非典型痣综合征、结构异常和细胞异型性的黑色素细胞痣
诊断要点:
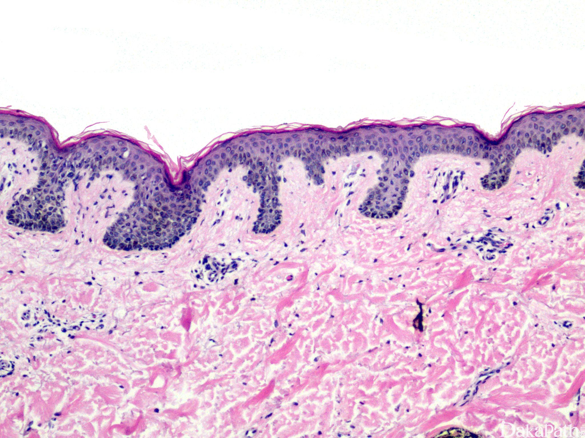
通常大于 4mm,常有多种颜色,形状轻度不规则,界限欠清楚;
出现结构异常:
轻度不对称性增生;
复合痣在表皮-真皮交界处雀斑样增生,细胞巢可融合或在上皮脚间架桥;
交界痣部分扩展超出皮内痣边缘最少达 3 个上皮脚;
痣细胞巢大小和位置各异,边缘不规则,复合痣的交界处黑色素细胞增生,并延伸到真皮内痣细胞成分的边缘之外;
轻-中度细胞异型性,细胞核增大、深染、核仁明显;
间质淋巴细胞浸润、血管增生及真皮浅层板层状纤维增生。
异型增生分级:
轻度异型增生:细胞核深染,卵圆形,具切迹,核仁小或无;细胞质较正常色素细胞大,无晕;无核分裂像。
中度异型增生:核大小不一,染色深浅不一,可有小核仁;细胞质较正常色素细胞大,无晕;表浅部分可有少数正常核分裂像。
重度异型增生:不对称生长,但表皮内病变界限清楚;细胞常呈巢生长;中央区域单个细胞向上迁移;真皮内细胞巢拥挤;细胞核增大,可见怪异深染的细胞核,核仁突出;交界区域核分裂易见,但基底部分无核分裂。
注意:儿童期正常痣细胞巢较大,可以局灶异型,评级应适当降低;基底部出现核分裂像提示浸润性黑色素瘤。

鉴别诊断:
黑色素瘤 :不对称增生更加明显,界限更加不清,于表皮-真皮交界处显示更复杂的生长模式,并伴有上皮脚消失或表皮缺失。