恶性雀斑样痣
Lentigo Maligna
同义词(或曾用名): 日光性黑色素瘤、光化学性黑色素瘤
概述:
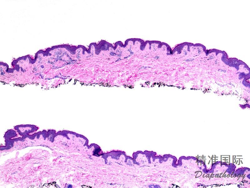
原位黑色素痣的一种,不典型痣细胞位于表皮基底层,单个或巢状分布,和日光损伤有关。
发病部位: 好发于日光暴露区域皮肤
诊断要点:
多见于老年病人,好发于日光暴露区域皮肤,表现为棕褐色-黑色平台的不规则色素沉积,常大于 2cm;
不典型痣细胞沿基底层连续生长,可单个分散,也可呈巢状聚集;
细胞可为梭形或多形性,胞质常收缩导致细胞周围空晕形成;
真皮弹力纤维变性,无色素细胞浸润;
表皮可萎缩、光损伤及基底细胞色素增加。

鉴别诊断: