恶性黑色素瘤
Melanoma
同义词(或曾用名): 黑色素瘤
概述:
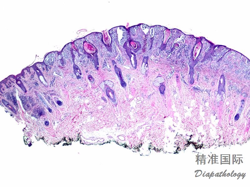
黑色素细胞恶性肿瘤,主要发生于皮肤,也可发生于眼、耳、胃肠、软脑膜、黏膜等处。
发病部位: 常见于头颈、背部、下肢、口腔、肛门与生殖器黏膜、脑膜、眼睛、甲床、脚掌、手掌皮肤
诊断要点:
临床特征:
痣颜色改变或多色;
痣近期生长迅速;
痣出现痒或痛;
痣边缘不整;
色素性病变伴溃疡;
大体形态:疣状、痣样、斑片状、丘疹样、息肉样、溃疡、瘢痕样;
生长方式
原位黑色素瘤伴异型黑色素细胞真皮浸润,无分化成熟;
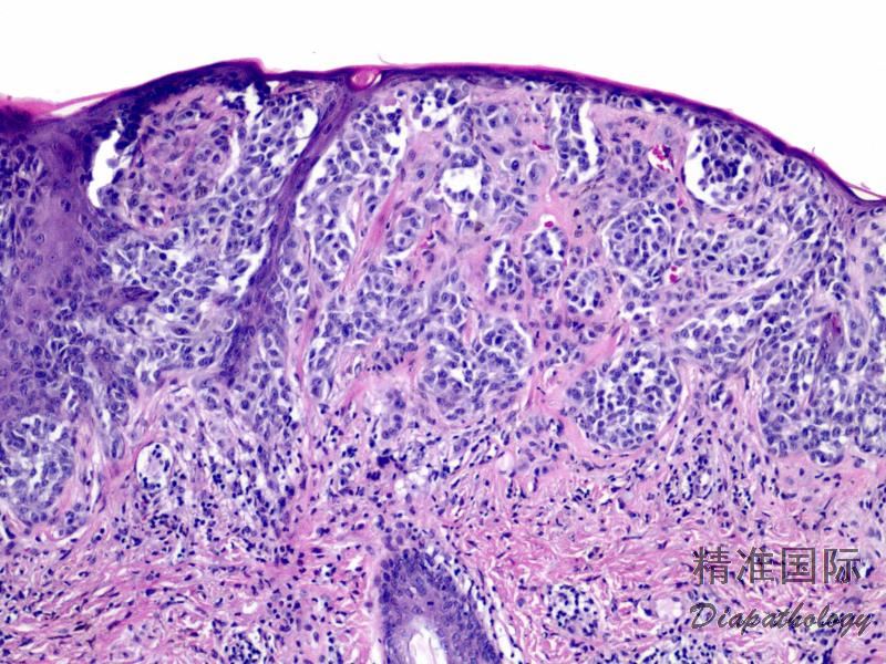
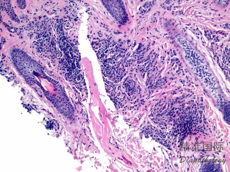
典型病例表皮-真皮交界处细胞生长活跃使得表皮-真皮分界模糊,单个或成簇细胞 Paget 样表皮内扩展;
假腺样、假乳头状、栅栏状、编织状、血管外皮瘤样、梁状、spitz 痣样、疣状、痣样、围绕血管生长等
细胞外形:上皮样细胞、短梭形细胞、胖梭形、细长梭形、怪异形细胞、印戒样、气球样;
细胞大小:大小不一,小者如淋巴细胞,大者可表现为多核巨细胞
细胞质:嗜酸性、嗜碱性、泡沫样、空泡状、透明、嗜酸颗粒状、横纹肌样,富色素、少色素、无色素;
细胞核:圆形、椭圆形、不规则形,核沟、折叠、核内假包涵体、大嗜酸性核仁、小核仁,核分裂多少不一;
间质:促结缔组织增生、胶原化、黏液、骨化、软骨、破骨巨细胞样反应、淋巴细胞结节、色素沉积、吞噬色素色巨噬细胞聚集、血管瘤样增生;
与周围组织关系:
表皮内扩张(Paget 样)
吞噬上皮脚,上皮脚消失,上皮变薄;
浸润皮下脂肪、横纹肌、血管、神经等;
异向分化:神经节细胞、施万细胞、其它神经成分、平滑肌;
主要组织学亚型或变异型:肢端雀斑样黑色素瘤、结节性黑色素瘤、浅表扩散型黑色素瘤、恶性雀斑、促纤维增生性黑色素瘤、起源于蓝痣的黑色素瘤、起源于巨大先天性痣的黑色素瘤、儿童黑色素瘤、痣样黑色素瘤、印戒样黑色素瘤、梭形细胞黑色素瘤、上皮样细胞黑色素瘤、spitz 痣样黑色素瘤、亲神经性黑色素瘤。

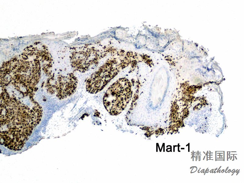
免疫组织化学染色:
S100. HMB45. 酪氨酸酶、melan A、SOX10 等常阳性。
鉴别诊断:
小细胞癌
淋巴瘤
Ewing 肉瘤
不典型黄色瘤
恶性外周神经鞘瘤