雀斑样黑色素瘤
Lentiginous Melanoma
发病部位: 躯干、头颈及四肢近端
诊断要点:
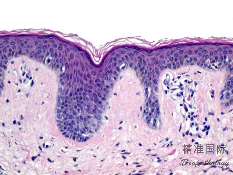
多见于中、老年病人,好发于躯干、头颈及四肢近端;
表皮-真皮交界处痣细胞增生,可单个分散,也可呈巢状聚集,部分区域融合;
细胞明显异型,最少局部可见单个细胞浸润真皮,也可 Paget 样水平扩张;
真皮纤维组织增生,无弹力纤维变性。

鉴别诊断:
不典型痣
← 梭形细胞黑色素瘤,非特指型 结节性黑色素瘤 →
知识库 Lentiginous Melanoma
发病部位: 躯干、头颈及四肢近端
诊断要点:
多见于中、老年病人,好发于躯干、头颈及四肢近端;
表皮-真皮交界处痣细胞增生,可单个分散,也可呈巢状聚集,部分区域融合;
细胞明显异型,最少局部可见单个细胞浸润真皮,也可 Paget 样水平扩张;
真皮纤维组织增生,无弹力纤维变性。

鉴别诊断:
不典型痣
← 梭形细胞黑色素瘤,非特指型 结节性黑色素瘤 →