Spitz 痣
Spitz Nevus
发病部位: 多发于面部和四肢
诊断要点:
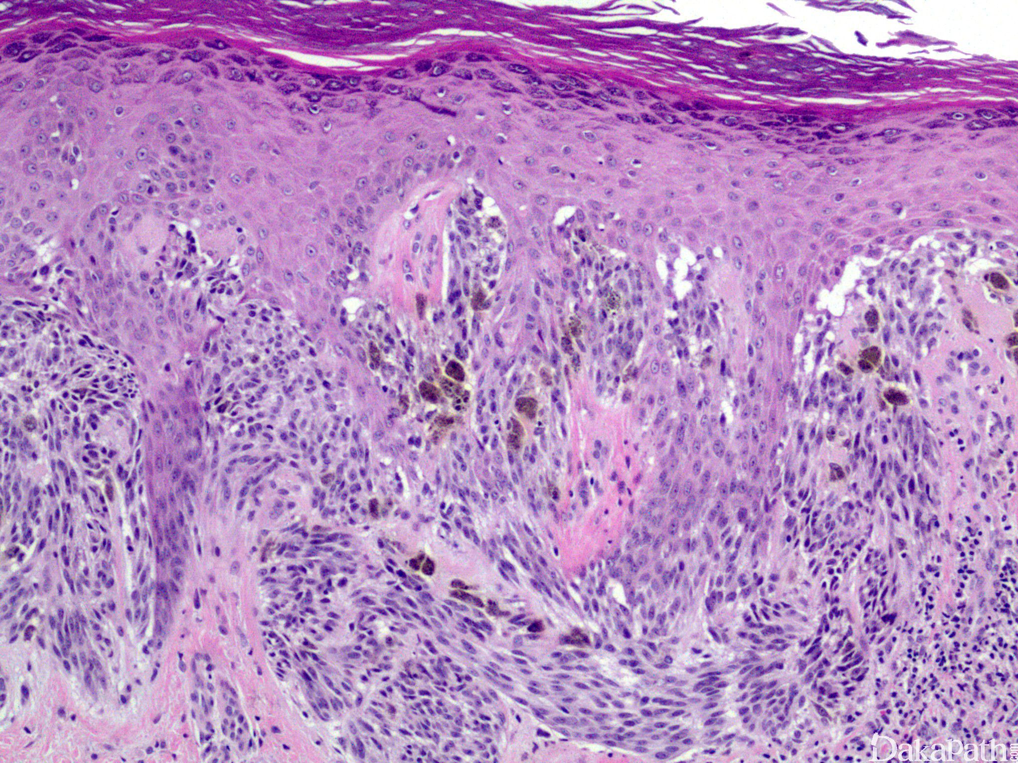
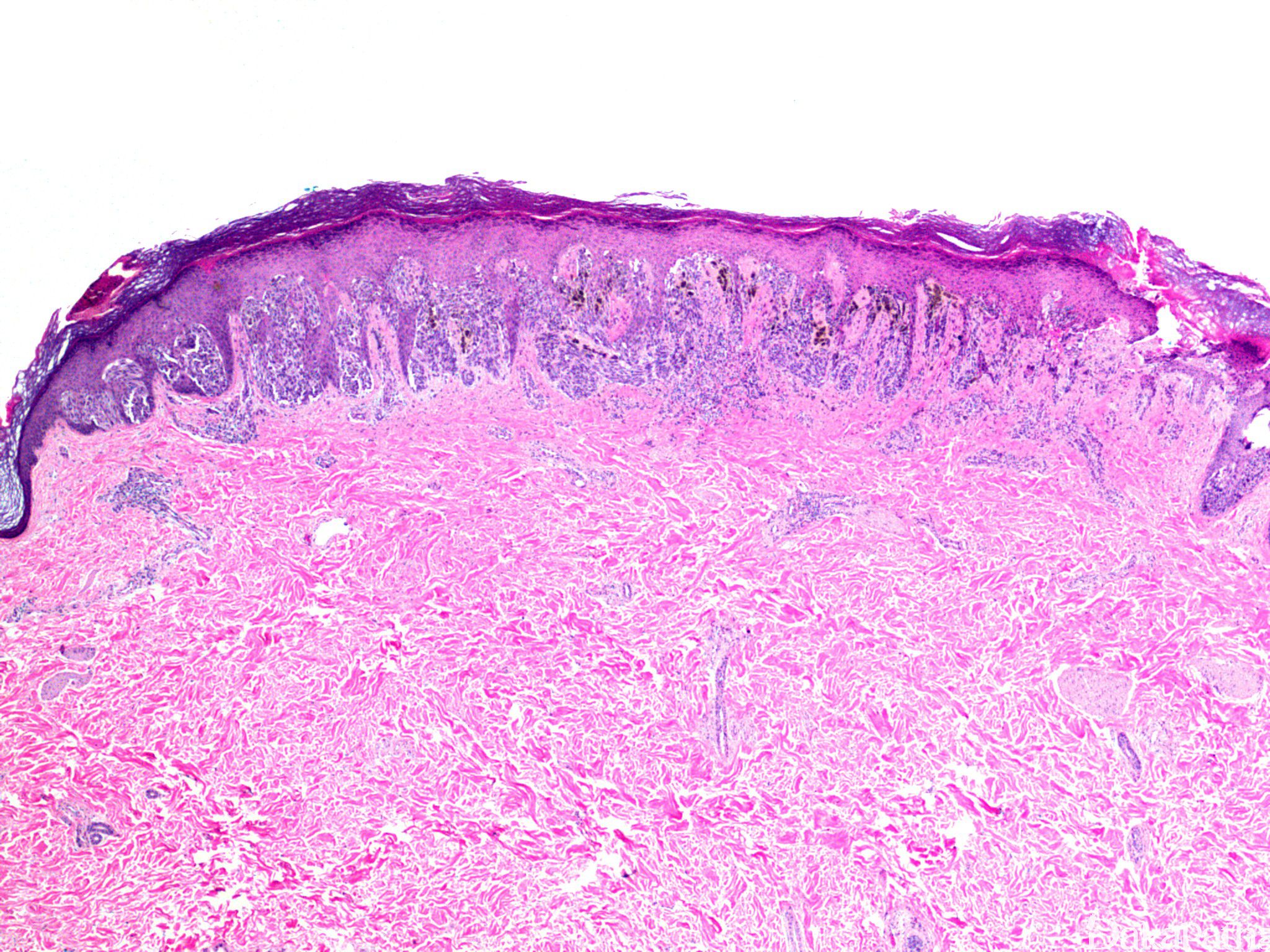
好发于儿童和青少年,也可见于成人,多发于面部和四肢,常表现为红色、粉红或肤色的圆顶状丘疹,部分可呈扁平型、色素型或纤维化型;
病变边缘界限清楚,对称性生长,具有成熟现象,复合性和真皮内 Spitz 痣常呈楔形;
由大而肥胖的梭形和上皮样黑色素细胞组成;
细胞形态不定,从大的上皮样细胞到梭形细胞均可见到,有些病变以上皮样细胞为主,有些则以梭形细胞为主;
梭形细胞呈雪茄样,核大,核仁明显;
上皮样细胞单个散在分布,多角形,具丰富的嗜酸性胞质,核大,核仁明显,偶尔可见少量多核或显著核异型细胞,核分裂像多少不一;
底部细胞分化成熟;
色素多少不等,可无色素或少色素,也有色素增加的病例;
可呈 Paget 样生长方式,但一般比较局限;
个别病例呈管状或丛状生长方式;
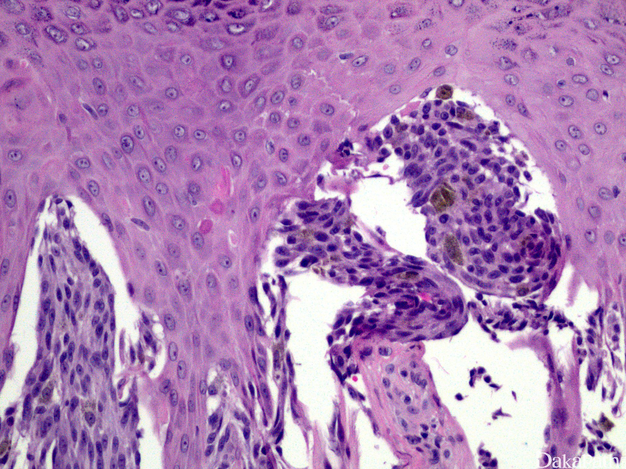
表皮增生、表皮-真皮交界处可见粉红色均质小球(Kamino 小体);
间质血管丰富、扩张,水肿,可见散在的淋巴细胞聚集;
交界性或复合性 Spitz 痣部分病例梭形细胞呈紧密束状排列,与上皮脚平行,如悬挂的香蕉一样;交界处黑色素细胞巢常见“裂隙”;可见核分裂,但通常很少见并且局限在细胞密集病变的表浅部位;
硬化型 Spitz 痣,多数为皮内痣,低倍镜下类似于皮肤纤维瘤,但在致密的胶原间质中可见多形性上皮样黑色素细胞呈小巢、小束和单个散在分布;
色素性 Spitz 痣
病变常小而对称,界限清楚;
主要由富于色素的细长梭形黑色素细胞组成,表皮-真皮交界处常有致密细胞巢,上皮脚常增生;
表皮各层角质形成细胞胞质常有色素颗粒;
罕见情况下可见少量的 Paget 样黑色素细胞,尤其在病变中央;
常见暗淡的粉红色小球(Kamino 小体);
真皮浅层常见许多噬黑色素细胞。

免疫组织化学染色:
S-100. Melan-A、Mart-1 阳性。
鉴别诊断:
Spitz 样黑色素瘤 Spitz 痣出现以下特征要考虑恶性黑色素瘤的可能,但每一条都不是特异性指标,一般来说符合条件越多,恶性可能性越大:
体积大、不对称、复杂性生长方式;
真皮深部黑色素细胞出现核分裂像,特别是病理性核分裂像;
表皮变薄,上皮脚消失、缺乏成熟现象以及无 Kamino 小体;
显著的不对称性 Paget 样扩散。