盘状红斑狼疮
Discoid Lupus Erythematosus,DLE
概述:
红斑狼疮是一个病谱性疾病,属于结缔组织病,盘状红斑狼疮是病谱的一端,最普通的一型,可分为局限型和播散型;另一端是系统性红盘狼疮,中间有许多亚型。
发病部位: 发生于曝光部位,局限性 DLE 皮损好发于头颈部,如颜面、头皮、口唇等;播散型皮损可出现在手臂背侧、双手、手指和颈部的“V”字区等部位。非曝光部位,包括躯干、上肢、手掌和足底,也常受累。
诊断要点:
临床特点:DLE 病程持久,女性多见,男女之比约 1:2;各年龄组可发病,主要发生于 21-50 岁,高峰年龄段是 35-40 岁,儿童发病很少。皮损对光敏感,春、夏季加重。
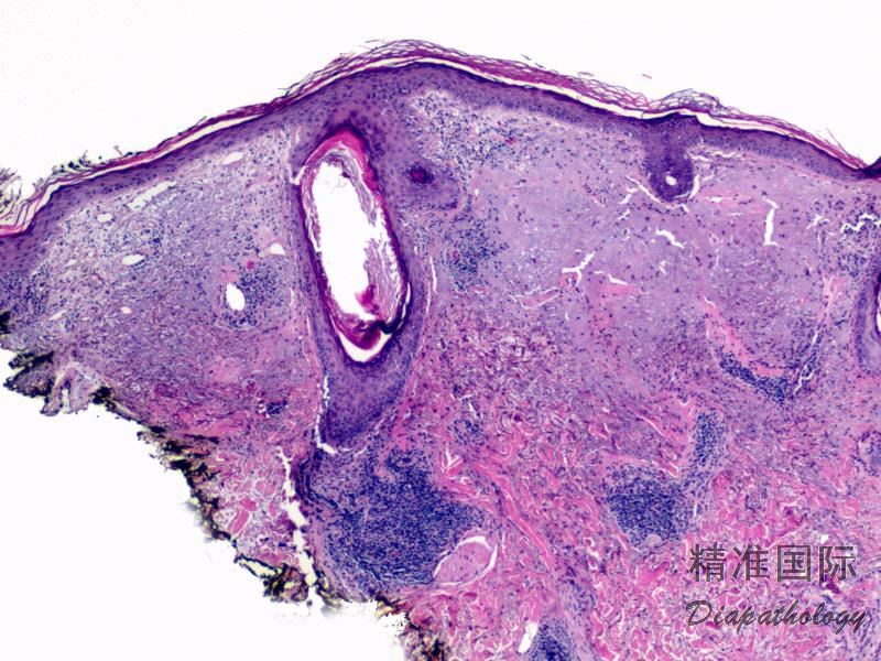
大体:境界清楚的皮损,单发,也可多发。一般 5-10mm。早期皮损表现为水肿和红斑样损害,呈盘状浸润性斑块微隆起于皮肤表面,表面附着带有角质钉的黏着性鳞屑;有的皮损表面粗糙,可呈疣状外观。
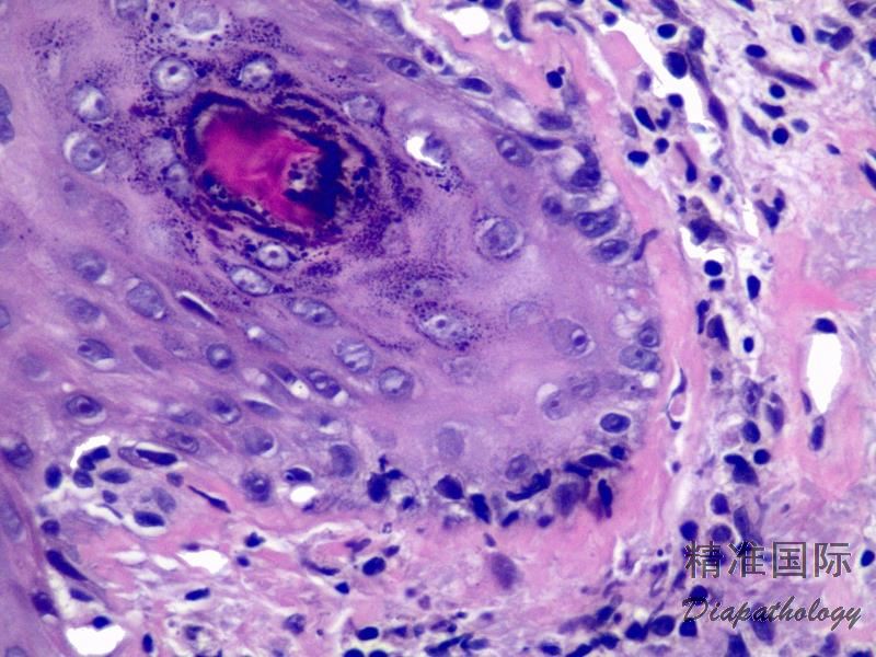
镜检:表皮角化过度,毛囊扩张和角质栓,棘层萎缩。表皮及毛囊上皮基底细胞液化变性,可见坏死角质形成细胞。真皮浅层水肿,毛细血管扩张,血管及附属器周围大量淋巴细胞浸润,可见浆细胞浸润。晚期损害可见基底膜增厚。可有糜烂和溃疡。
实验室检查:血清免疫学检查:抗核抗体、类风湿因子可阳性;免疫球蛋白(IgG、IgA、IgM)可同时增高,抗 ENA 抗体可阳性。

鉴别诊断:
萎缩性扁平苔藓:皮损有时与萎缩性扁平苔藓难以鉴别,两者都表现为基底细胞液化变化,DLE 中淋巴细胞及附属器周围浸润,萎缩性扁平苔藓真皮乳头增厚,早期高度水肿,后期胶原化。结合血清免疫学检查结果。
治疗:
- 早期治疗,减少阳光或紫外线下暴露。2. 局部治疗,皮质类固醇、他克莫司等外用;液氮或干冰冷冻疗法;3. 口服药物治疗:糖皮质激素。