红斑狼疮
Lupus erythematosus,LE
同义词(或曾用名): LE
概述:
一种系统性自身免疫性疾病,表现为特异性和非特异性皮肤改变。
发病部位: 可发生于任何部位,好发于面部、头皮、耳(盘状红斑狼疮)
诊断要点:
成年女性好发,黑种人较白种人常见。
分为急性、亚急性和慢性皮肤红斑狼疮。1)急性皮损常与系统性狼疮有关,皮损包括局限性颧部(蝶形)红斑或泛发性发疹型(麻疹样)皮疹,后者可累及手指伸侧,特征性地局限在指间关节。2)亚急性皮损好发于躯干和上肢,表现为界限清楚的环状鳞屑性红色斑块和(或)银屑病样表现。新生儿红斑狼疮易累及头皮。慢性皮肤红斑狼疮的亚型包括深在性红斑狼疮(狼疮性脂膜炎)及肿胀性红斑狼疮,前者累及皮下脂肪,表现为深在性质硬斑块,可形成溃疡,好发与腰部;后者表现为表面光滑的浸润性红色斑块。大疱性红斑狼疮是急性红斑狼疮的一个罕见表现。
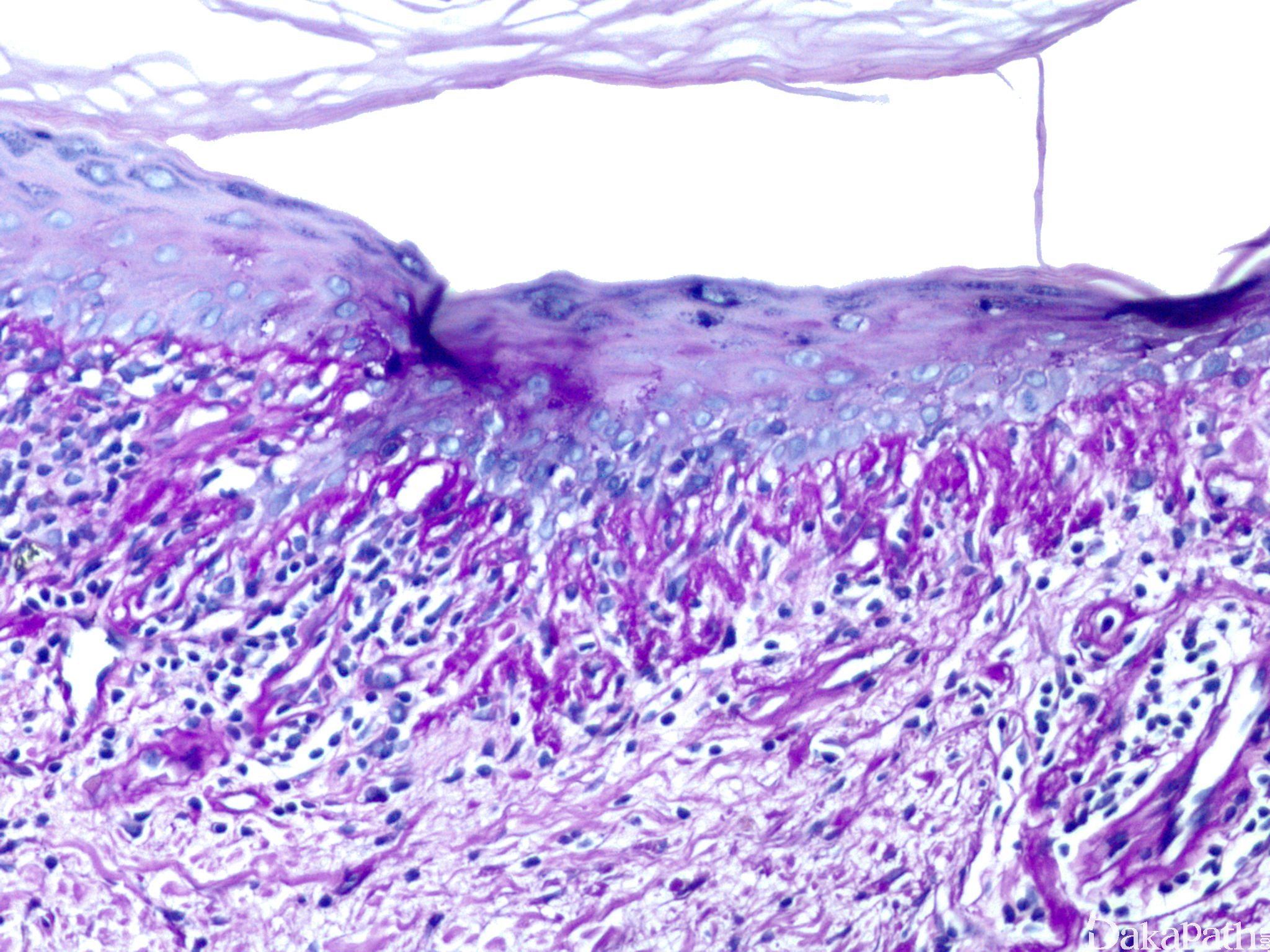
组织学改变:
表现为界面皮炎,伴有单个角质形成细胞坏死及表皮真皮交界处空泡化改变。可见致密或板层状正角化过度,表皮常萎缩。
在急性、亚急性、新生儿及早期盘状红斑狼疮中,真发内淋巴细胞稀疏浸润,可见空泡化改变,多累及真皮浅层。
充分发展的皮损表现为真皮浅深层血管、毛囊及附属器周围中等密度的淋巴细胞浸润,常无嗜酸性粒细胞。出现浆细胞及间质间酸性黏多糖(黏液)增加具有特征性。有时可见纤维蛋白栓子。表皮下及皮下可见淋巴细胞来源的核碎屑。
盘状皮损有毛囊角栓和基底鳞化(见扁平苔藓),并可出现乳头状或疣状表皮增生。
在急性、亚急性和慢性盘状红斑狼疮中基底膜常增厚。
肿胀性红斑狼疮表现为血管及附属器周围淋巴细胞浸润伴有间质内内黏蛋白增多,界面皮炎不明显或缺乏。
深在性红斑狼疮特征为皮下脂肪小叶内淋巴细胞浸润,脂肪小叶嗜酸性均质化坏死而呈“透明”模式。与肿胀性红斑狼疮一样,界面皮炎不明显或缺乏。与其他类型红斑狼疮不同,深在性红斑狼疮可有明显的嗜酸性粒细胞浸润。
大疱性红斑狼疮特征为表皮下水疱形成伴有中性粒细胞浸润。
大多数 SLE 的抗核抗体(ANA)阳性,而局限于皮肤的 LE 常为阴性。亚急性红斑狼疮常伴有抗 Ro(SSA)核(或)抗 La(SSB)抗体阳性。
直接免疫荧光检查可见 IgG、IgM、IgA 和(或)C3 沿表皮真皮交界处呈连续颗粒状或线状沉积,称为狼疮带试验。

鉴别诊断:
其他结缔组织病 :如皮肌炎和混合性结缔组织病,可出现一些变化使得与急性、亚急性或早期盘状红斑狼疮难以鉴别,需结合临床表现和血清学检查。
扁平苔藓:其也可引起瘢痕性脱发(毛发扁平苔藓),在临床和组织学上可与红斑狼疮相似。扁平苔藓一红斑狼疮重叠综合征也有报道,与扁平苔藓相比,红斑狼疮常表现为真皮深层相对致密的炎症细胞浸润,常累及毛囊周围,间质内黏蛋白沉积,基底膜增厚以及明显的表皮变薄(常伴局灶性增生)。
病例报道:
避光、外用或皮损内注射糖皮质素、抗疟药、沙利度胺、氡社眦、维 A 酸、甲氨蝶呤、硫唑嘌呤、环孢素及柳氨磺胺呲啶。