肝细胞癌
Hepatocellular Carcinoma
发病部位: 肝脏
诊断要点:
在肝硬化背景上的肝细胞常有纤维性假包膜,而无肝硬化的没有包膜,可单灶或多灶;
大体上可分为“巨块型”、“息肉型”、“弥漫型或肝硬化样型”:
“巨块型”肿瘤呈大块状,伴或不伴有小的卫星结节;
“息肉型”肿瘤突出于肝表面,形成息肉样赘生物,伴或不伴有蒂;
“弥漫型或肝硬化样型”少见,表现为许多小肿瘤结节在全肝弥漫分布,很象肝硬化再生结节;
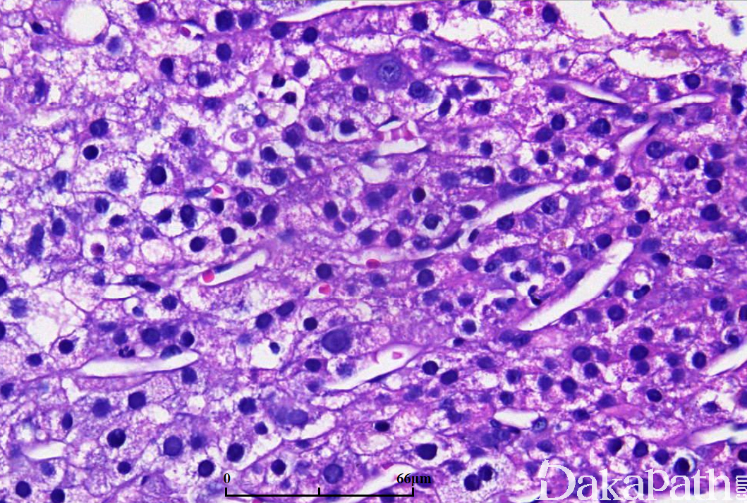
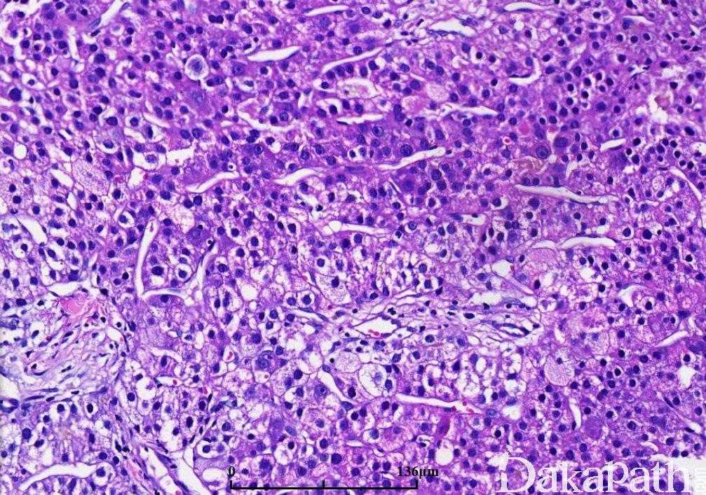
主要有三种组织结构,梁状、腺泡状和实体型:
a)梁状结构由 3 层以上细胞组成,周围围绕扁平内皮细胞,无 kupffer 细胞;
b)腺泡结构由实心细胞巢中央区域退变形成假腺样结构,腔内为胶样物,也可以由扩张的胆管形成腺样结构;
c)实体结构最少见,细胞增生或受挤压形成实性细胞巢团;
肿瘤细胞常类似肝细胞,通常体积较大,多角形,核空泡状,位于中央,可有核仁;
肿瘤细胞产生胆汁是肝细胞癌特征性病变;
间质为毛细血管化的肝窦,被覆扁平内皮细胞,CD34 染色阳性;
根据细胞分化程度,可分为高分化、中分化及低分化
a)高分化:体积一般较小,肝细胞索不超过 3 层细胞,细胞比正常肝细胞小,核异型轻微,细胞密度相当于正常肝脏的 2 倍,但网状纤维支架紊乱,可有假腺样结构,脂肪变性常见;
b)中分化:肝细胞索宽度 4 个细胞以上,细胞体积较正常肝细胞大,胞质嗜酸性,核仁突出,可见假腺样结构和瘤巨细胞;
c)低分化:细胞明显异型性及多形性,主要呈实性分布,很少梁状结构及胆汁产生,可能有梭形细胞或小细胞区域。
周围肝组织常显示肝硬化;
根据肝细胞形态和组织结构不同:透明细胞型、嗜酸细胞型、多形型、肉瘤样型、硬化型、纤维板层型等多种亚型。

免疫组织化学染色:
CD10 和多克隆 CEA 可显示毛细胆管,HepPar1. arginase、Glypican3 常阳性,低分子角蛋白 CK8. CK18 常阳性,a-AFP 部分病例阳性,单克隆 CEA 阴性,高分子角蛋白 CK7. CK19 多数病例阴性。