肾上腺继发性肿瘤
Secondary tumor of adrenal gland
同义词(或曾用名): 肾上腺转移性肿瘤
概述:
肾上腺外的肿瘤通过直接扩散或血道转移至肾上腺
发病部位: 肾上腺,半数以上的继发性肿瘤累及双侧肾上腺
诊断要点:
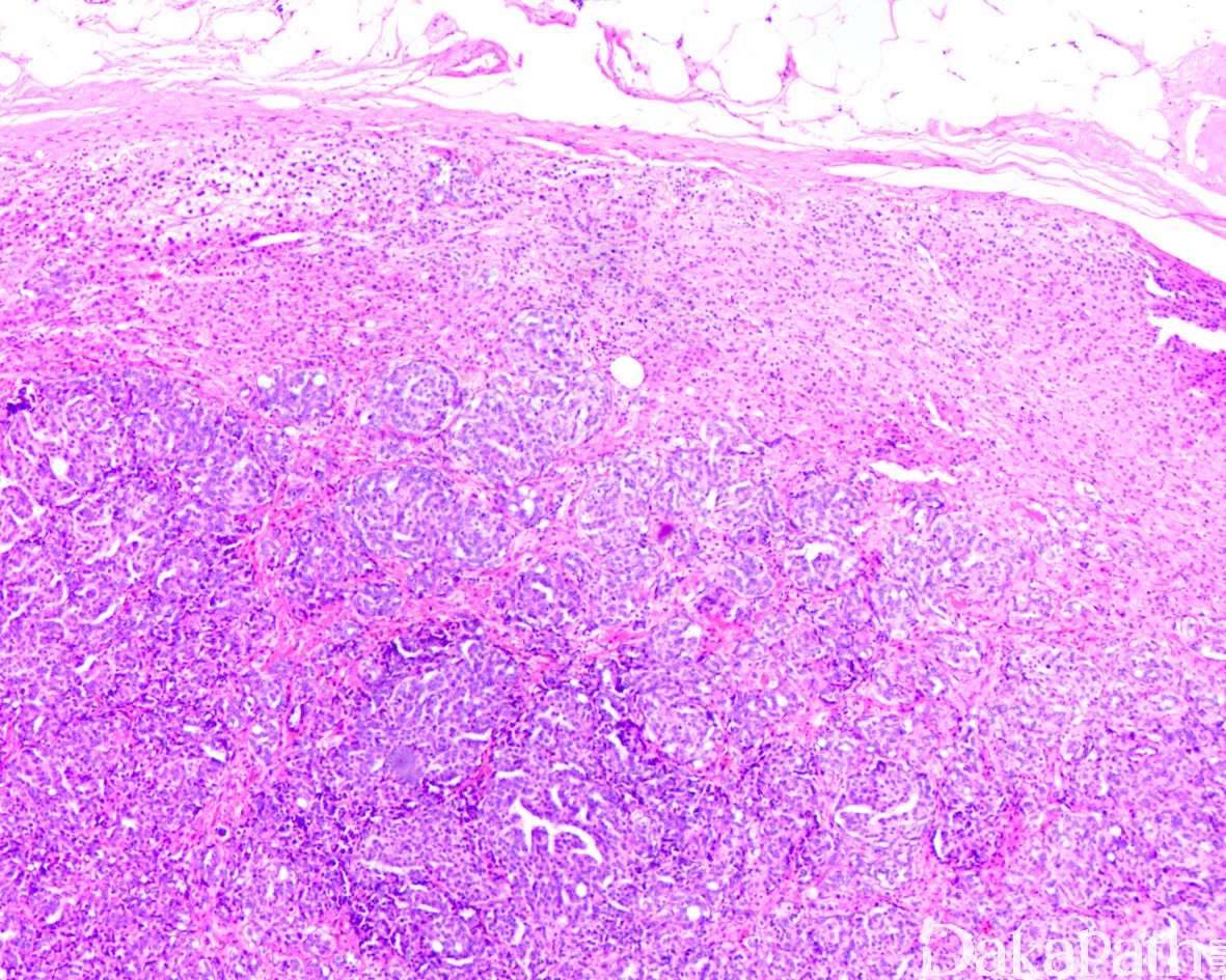
1,肾上腺是恶性肿瘤好发的转移部位,位居肝、肺、骨之后,转移到肾上腺的原发肿瘤最常见是乳腺,肺,肾,胃肠道,胰胆管等;半数以上类似双侧肾上腺,少见表现为孤立性转移灶;
2,组织学上,超过 90%以上为转移性癌为腺癌,常见较多的脉管内癌栓。肾细胞癌,肺的大细胞神经内分泌癌,肝细胞肝癌,黑色素瘤等转移至肾上腺可明显造成鉴别诊断困难;

免疫组织化学染色:
取决于转移性癌的性质。
鉴别诊断:
原发的肾上腺皮质癌:免疫组化染色对于鉴别诊断肾上腺原发核继发性肿瘤具有重要的意义。肾上腺皮质标志物 a-inhibin,calretinin, melan-A,SF-1 等对于确定原发的肾上腺皮质癌有较大的帮助,尤其是 SF-1。肾上腺皮质肿瘤通常表达 syn,不表达 CGA 和 CD56,较少表达 CK,可与继发性的神经内分泌癌予以鉴别诊断。
预后:
继发性累及肾上腺的肿瘤通常分期较高,因此预后较差
治疗:
需要系统性的治疗,肾上腺转移灶切除对于提高患者的生存率有一定的帮助
参考文献:
Lloyd RV, Osamura RY, Kloppel G, et al, editors. WHO classification of the tumours of endocrine organs. 4th edition. Lyon (France): International Agency for Research on Cancer); 2017