淋巴结内血管肌性错构瘤
Angiomyomatous Hamartoma of Lymph Node
概述:
一种起源于淋巴结内由平滑肌、血管、胶原纤维以及脂肪组织组成的错构瘤性良性肿瘤。多发生于腹股沟区淋巴结。
发病部位: 绝大多数发生于腹股沟淋巴结(85%)、少数可见于颈部淋巴结、肢体淋巴结等
诊断要点:
年龄分布广(21-86 岁),平均 57 岁,男性略多见,大多数病例发生于腹股沟淋巴结(约 85%),少数可见于腹股沟外淋巴结如颈部淋巴结、肢体淋巴结等;
受累淋巴结较小,0.8-2.7cm,平均直径 1.5cm;
镜下病变占据淋巴结的比例从 15%-90%,平均约 60%;
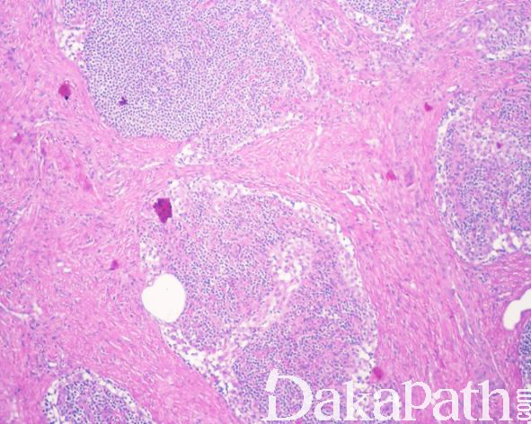
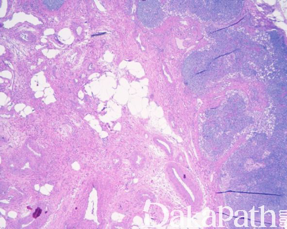
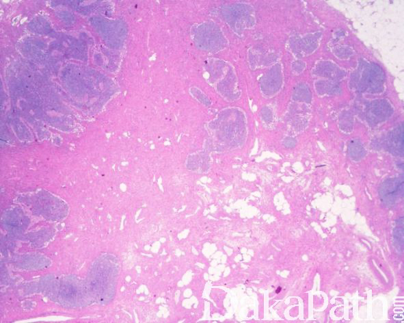
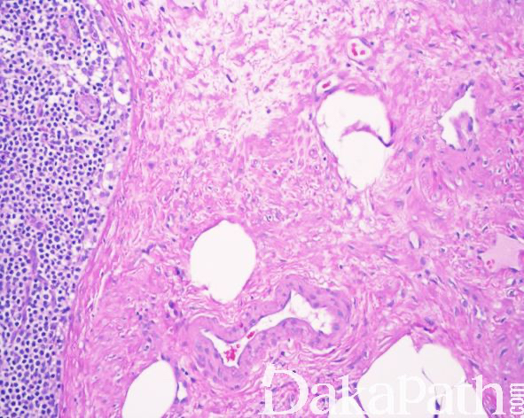
组织学表现为淋巴结实质内的血管肌样增生伴有不同比例的纤维性间质,血管壁通常较厚,管腔大小不等,平滑肌样梭形细胞形态较温和,具有嗜酸性胞浆和顿圆的核,呈疏松或致密的束状排列,无核分裂象和坏死;2/3 的病例内可见散在或广泛呈簇分布的成熟脂肪组织;
较大的病变常弥漫取代淋巴结实质或病变内可见残存的岛状淋巴组织,较小的病变多位数淋巴结中央或门部,周围绕以未受累的淋巴组织;
无淋巴结外扩散,无淋巴管内生长。

免疫组织化学染色:
平滑肌样细胞弥漫表达 SMA,,局灶弱表达 ER(多见于女性患者),脂肪细胞表达 S100 蛋白,血管内皮表达 CD31 和 CD34,不表达 HMB45. Melan-A 和 Cathepsin-k
鉴别诊断:
淋巴结内淋巴管平滑肌瘤病: 与淋巴结内血管肌性错构瘤存在组织学上的重叠,与后者不同,淋巴结内淋巴管平滑肌瘤病多与结节性硬化症有关,几乎总是发生于成年女性 ,多见于盆腔和主动脉旁淋巴结;早期病变主要分布于被膜下窦而非淋巴结中央,常累及至淋巴结外的结缔组织和淋巴管内生长,梭形肌样细胞呈致密的巢状或束状排列由挤压的分支状淋巴管所分隔,无胶原纤维的背景,无广泛的厚壁血管聚集,罕见脂肪组织,免疫组化染色表达 HMB45. Melan-A、ER 和 CathepsinK 等。
预后:
良性,偶见复发,无转移潜能
治疗:
淋巴结切除
病例报道:
Angiomyomatous** hamartoma : a rare case report with review of the literature.
Ram M, Alsanjari N, Ansari N.
Rare Tumors. 2009 Dec 28;1(2):e25. doi: 10.4081/rt.2009. e25. No abstract available.
PMID: 21139904 Free PMC Article
参考文献:
Chan JK, Frizzera G, Fletcher CD, Rosai J.
Am J Surg Pathol. 1992 Apr;16(4):335-50.
← 静脉内平滑肌瘤病 腹膜播散性平滑肌瘤病 →