深部软组织平滑肌瘤
Leiomyoma of deep soft tissue
概述:
深部软组织平滑肌瘤是一种发生与深部软组织的平滑肌瘤,比较少见。
发病部位: 主要发生于中年人;有两种类型:一种为躯体深部软组织平滑肌瘤,另一种为盆腔腹膜后/腹腔平滑肌瘤;
诊断要点:
主要发生于中年人;有两种类型:一种为躯体深部软组织平滑肌瘤,另一种为盆腔腹膜后/腹腔平滑肌瘤;
界限清楚,平均直径 7.7cm;
瘤细胞类似成熟的平滑肌细胞,部分区域肿瘤排列丰富密集,部分疏松水肿,肿瘤细胞梭形,呈编织束状排列;
瘤细胞形态温和,含有丰富、嗜伊红色的胞质,核两端平钝或呈雪茄样,核末端常见核旁空泡,核无异型性,核分裂象罕见(<1/50HPF),女性腹膜后病变核分裂象可达 5/50HPF;
部分病例内可见变性或退行性变,如纤维化、玻璃样变、钙化和黏液变;但不见凝固性坏死;
如有明显脂肪改变则应称为肌脂肪瘤;
局灶退性变和非典型性的意义尚不明确,应仔细寻找分裂像并进一步取材。

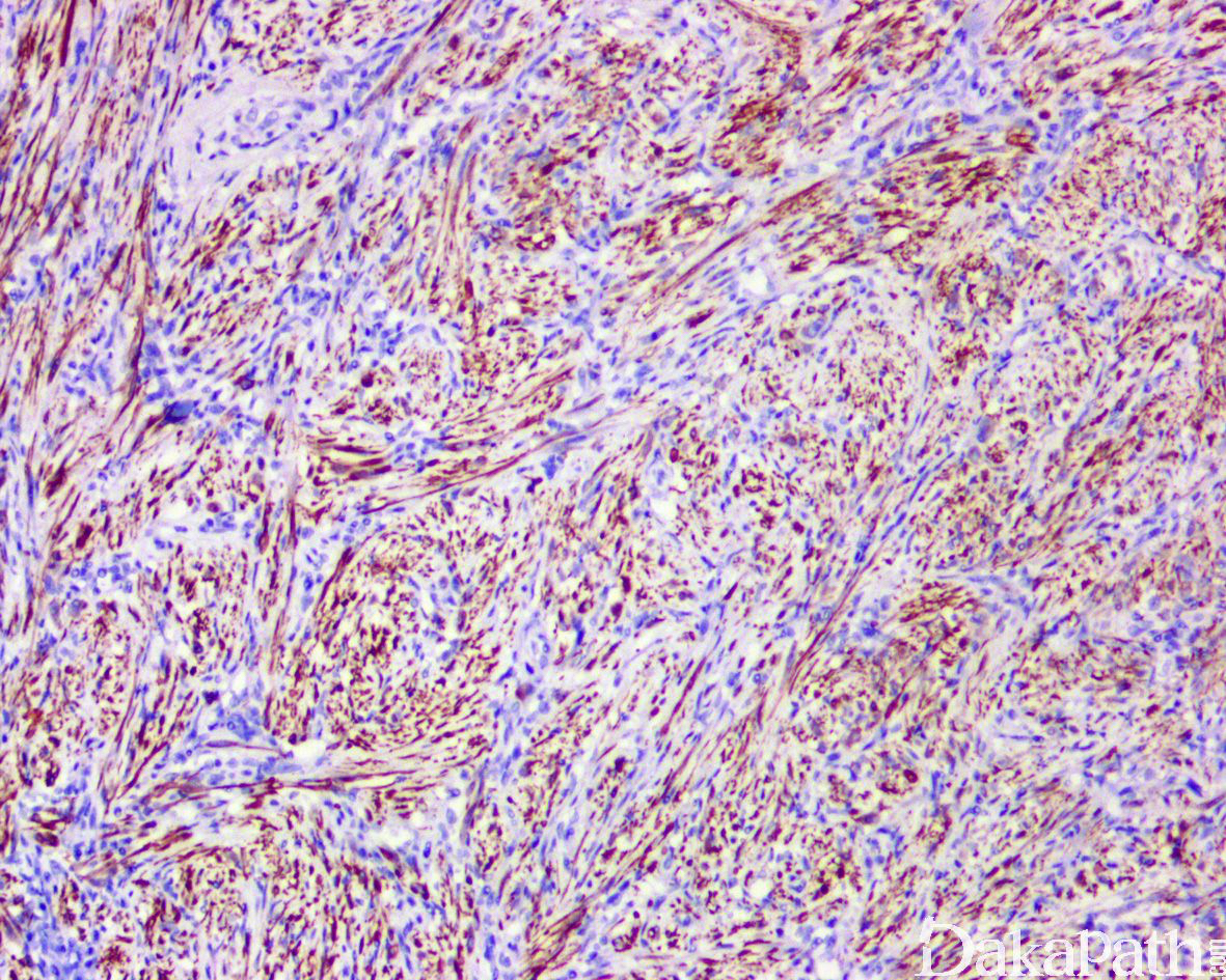
免疫组织化学染色:
a-SMA、MSA、Desmin、h-caldesmon(+),S100(-),ER、PR(+);
分子标记:
无
鉴别诊断:
神经鞘瘤 :有 Antoni A 和 Antoni B 结构,常出血、囊性变;瘤细胞 S100(+);
纤维瘤病 :边界不清,侵袭性生长;瘤细胞 β-catenin(+);
炎性肌纤维母细胞性肿瘤 :属中间性肿瘤,轻度异型的梭形瘤细胞呈编织状排列,背景见大量淋巴细胞、浆细胞和组织细胞浸润;ALK(+),SMA 灶性(+);
胃肠外胃肠间质瘤 :较少见,瘤细胞呈梭形,排列的形态复杂多样;CD117. CD34. DOG-1(+)。
预后:
完全切除可治愈,可局部复发,但无进展和转移。
治疗:
手术切除。
参考文献:
Miettinen M: Smooth muscle tumors of soft tissue and non-uterine viscera: biology and prognosis. Mod Pathol. 27 Suppl 1:S17-29, 2014
Miettinen M et al: Evaluation of biological potential of smooth muscle tumours. Histopathology. 48(1):97-105, 2006
Hornick JL et al: Criteria for malignancy in nonvisceral smooth muscle tumors. Ann Diagn Pathol. 7(1):60-6, 2003
Weiss SW: Smooth muscle tumors of soft tissue. Adv Anat Pathol. 9(6):351-9, 2002
Billings SD et al: Do leiomyomas of deep soft tissue exist? An analysis of highly differentiated smooth muscle tumors of deep soft tissue supporting two distinct subtypes. Am J Surg Pathol. 25(9):1134-42, 2001