上皮样多形性脂肪肉瘤
Epithelioid Variant of Pleomorphic liposarcoma
概述:
具有上皮样组织学形态的多形性脂肪肉瘤
发病部位: 肢体、躯干,深部软组织(如纵膈、后腹膜等)
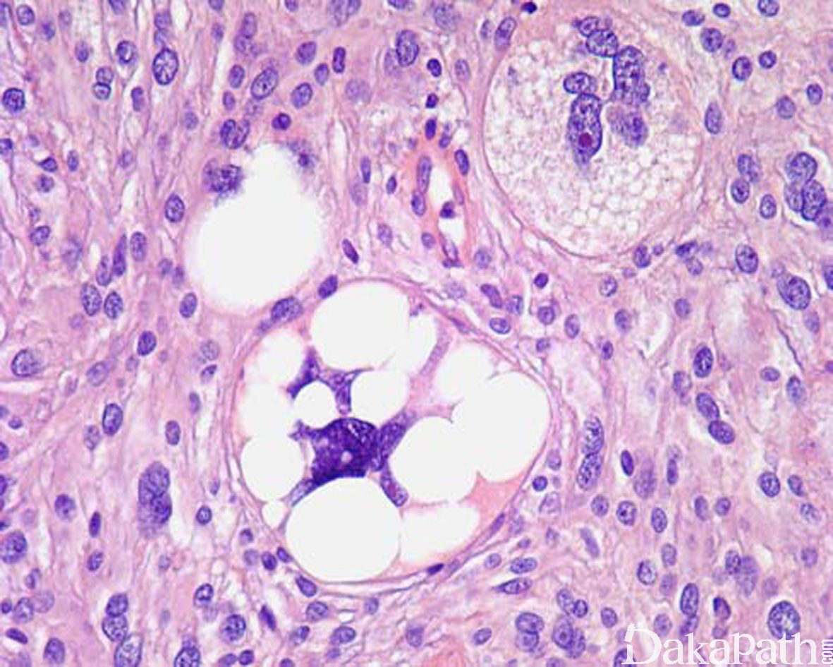
诊断要点:
多见于中老年(平均年龄 58 岁),好发于肢体、躯干,深部软组织(如纵膈、后腹膜等),体积较大(7 ~ 20cm);
属于多形性脂肪肉瘤的组织学亚型,病变完全或大部分由成片的上皮样细胞组成,上皮样细胞的胞质丰富,呈不同程度的嗜伊红染色,部分区域呈明显空泡状,细胞周界清晰,细胞之间的基质稀少,形成类似蜂窝状的结构,核级别高,分裂象活跃;类似于低分化癌或透明细胞肾细胞癌;
多数上皮样脂肪肉瘤区域的周围可见多少不等的过渡为普通的多形性梭形细胞肉瘤或恶性纤维组织细胞瘤样区域伴散在的脂母细胞。

免疫组织化学染色:
vimentin 阳性,S100. A103 部分病例灶状阳性,少数病例可表达 CK,不表达 EMA、actins、desmin 和 CD34。无 MDM2 基因扩增。
鉴别诊断:
低分化癌(肾上腺皮质癌或透明细胞肾细胞癌):无典型的多形性脂肪肉瘤和脂肪母细胞形态,免疫组化染色肾上腺皮质癌表达除了表达 A103 之外,尚表达 SF1. Inhibin 等;透明细胞肾细胞癌表达 PAX8 和 CAIX 等可资鉴别。
预后:
侵袭性强,常见复发和转移,5 年总体生存率不超过 60%
治疗:
广泛的手术切除伴术后辅助放化疗
病例报道:
D’Antonio A, Angrisani B, Caleo A, et al. Epithelioid variant of pleomorphic liposarcoma as potential mimic of metastatic carcinoma[J]. Rare Tumors, 2011, 3(1):e10. 参考文献:
Huang H Y, Antonescu C R. Epithelioid Variant of Pleomorphic Liposarcoma: A Comparative Immunohistochemical and Ultrastructural Analysis of Six Cases with Emphasis on Overlapping Features with Epithelial Malignancies[J]. Ultrastructural Pathology, 2002, 26(5):299-308.
← 树突状纤维黏液脂肪瘤 非典型脂肪瘤性肿瘤 →