多形性脂肪肉瘤

Pleomorphic Liposarcoma

概述:

是一种高级别的多形性肉瘤显示未分化肉瘤样特征混有数量不等的多形性脂肪母细胞。

发病部位: 肢端深部软组织,大腿肌内最常见,其次为上肢和躯干,极罕见于后腹膜

诊断要点:

  1. 是脂肪肉瘤最少见的一种亚型,占所有脂肪肉瘤的比例不超过 5%,多发生于 60 ~ 70 岁的老年人,偶尔可发生与青少年,无明显的性别差异;

  2. 多发生于深部软组织内,偶见于皮肤和皮下组织内;

  3. 肿块呈多结节状,常较大(1.5-21cm, 中位大小约 8cm),切面呈灰白色或灰黄色,常伴有坏死灶、黏液变性及浸润边界;

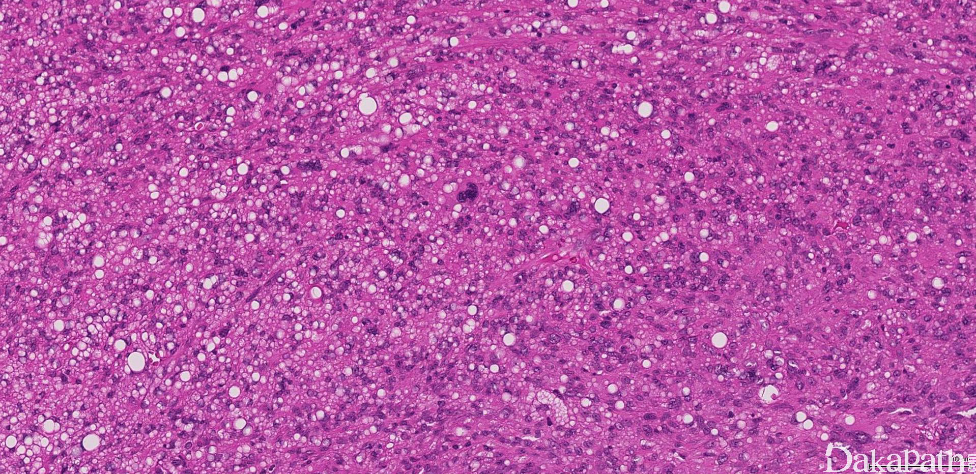
  4. 镜下肿瘤高度富于细胞伴有明显的多形性核,核分裂象活跃(1-70 个/10HPF, 平均 19 个/10HPF),诊断多形性脂肪肉瘤的标志性特征为存在多形性脂肪母细胞;

  5. 脂肪母细胞的分化程度不等,有时候较广泛存在易于诊断,但多数情况下脂肪母细胞仅为局灶分布,取材不充分的情况下可能没有脂肪母细胞,脂肪母细胞的胞浆内外有时可见嗜酸性玻璃样小球;

  6. 可见多核巨细胞以及明显奇异型和多形性的肿瘤细胞(通常含有透明或多泡状的胞浆),可能是多形性脂肪母细胞的一种组织学变异型,这一瘤细胞特征在其他类型的多形性肉瘤中罕见;

  7. 部分区域可见间质黏液变性,伴有明显的血管化间质但保留多形性的核特征,组织学上类似于高级别黏液纤维肉瘤;

  8. 某些病例的非脂肪性成分可表现为弥漫的圆细胞特征,类似于黏液样/圆细胞性脂肪肉瘤;

  9. 罕见的情况下肿瘤可表现为成片的上皮样肿瘤细胞伴有丰富的嗜酸性胞浆和多泡状胞浆,类似于肾上腺皮质癌或肾细胞癌。

免疫组织化学染色:

Vimentin 阳性,部分病例表达 S-100. SMA、desmin、P16 等,约 20%局灶表达角蛋白(尤其是上皮样亚型,约 40%表达角蛋白);MDM2 及 CDK4 通常阴性或仅散在阳性,无 CDK4 和 MDM2 共表达。

分子标记:

复杂非特异性染色体异常,常见 RB 基因缺失和较高比例的 P53 基因突变,无 MDM2 基因的扩增

鉴别诊断:

  1. 去分化脂肪肉瘤(DDLPS) :多见于后腹膜等部位,而多形性脂肪肉瘤极少见于后腹膜 ;广泛取材大多数 DDLPS 含有高分化脂肪肉瘤的成分(硬化型或脂肪瘤样型脂肪肉瘤成分);DDLPS 伴有同源性的多形性脂肪母细胞分化多见于后腹膜,多形性脂肪母细胞仅局灶存在,免疫组化(IHC)MDM2(+)和 CDK4(+);FISH:MDM2 扩增可资鉴别 。

2. 高级别黏液纤维肉瘤: 皮下组织比深部组织更常见 ;呈多结节生长;可含有假脂肪母细胞样细胞,无真性脂肪母细胞分化, 免疫组化染色可表达 CD34 和 AMACR;

  1. 高级别黏液/圆细胞脂肪肉瘤:伴有圆细胞特征的多形性脂肪肉瘤可与黏液/圆细胞脂肪肉瘤混淆,黏液圆细胞通常含有局部呈鸡爪样排列的丛状小血管,瘤细胞多形性不明显,遗传学上存在 DDIT3/CHOP 基因重排;

4. 非典型性脂肪瘤性肿瘤/高分化脂肪肉瘤: 由纤维性成分和散在分布的核明显深染的奇异型间质细胞组成;缺乏细胞非脂性的多形性肉瘤成分 ;缺乏多形性脂肪细胞; 核分裂象相对较低 ;免疫组化 MDM2(+)和 CDK4(+) FISH:MDM2 扩增

5. 转移性癌:上皮样多形性脂肪肉瘤可以转移性癌,特别是转移性肾细胞癌和肾上腺皮质癌混淆,此外上皮样多形性脂肪肉瘤半数左右可表达角蛋白进一步造成鉴别诊断困境,仔细的组织学观察寻找多形性脂肪母细胞,应用多个角蛋白标志物以及肾源性标志物(如 PAX8. CAIX)或肾上腺皮质标志物(SF-1)等可资鉴别;

6. 非典型多形性脂肪瘤样肿瘤:与多形性脂肪肉瘤存在组织学(多核巨细胞以及多形性脂肪母细胞)、免疫表型(表达 CD34 和 RB1 表达缺失)和遗传学(RB1 基因缺失)的重叠,但非典型多形性脂肪瘤样肿瘤通常发生的部位较表浅(主要位于皮下),瘤体较小,瘤细胞的多形性不如多形性脂肪肉瘤明显,核分裂象较少,罕见肿瘤性坏死,常见多形性脂肪瘤样的组织学背景如花环状多核巨细胞,绳索样胶原等,生物学行为为低度恶性。

预后:

高度侵袭性,局部复发和转移率约 30%-50%,转移主要见于肺和胸膜,五年生存率约 60%

治疗:

手术根治切除是改善预后最用力的手段,对手术无法切除的肿瘤可采用局部的放疗。

病例报道:

Al-Zaid T et al: Dermal pleomorphic liposarcoma resembling pleomorphic fibroma: report of a case and review of the literature. J Cutan Pathol. 40(8):734-9, 2013

参考文献:

Hornick J L , Bosenberg M W , Mentzel T , et al. Pleomorphic liposarcoma: clinicopathologic analysis of 57 cases.[J]. American Journal of Surgical Pathology, 2004, 28(10):1257-1267. Wang L, Ren W, Zhou X, Sheng W, Wang J. Pleomorphic liposarcoma: a clinicopathological, immunohistochemical and molecular cytogenetic study of 32 additional cases. Pathol Int. 2013;63(11):523‐531.