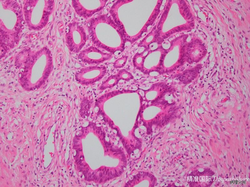
宫颈腺癌,普通型
Endocervical Adenocarcinoma, Usual Type
概述:
为最常见宫颈腺癌类型,黏液分泌相对减少。
发病部位: 宫颈
诊断要点:
多数呈乳头状或息肉状,有些呈结节状,可伴有溃疡;
组织结构
圆形、椭圆形腺体,伴筛状及乳头状结构;
微腺体增生样;
微囊性;
腺、囊内可充满黏液,也可无黏液;
单个散在细胞浸润。
细胞形态
假复层排列;
核增大,长形,深染,核仁突出;
胞浆嗜双色性或嗜酸性;
可见凋亡细胞。
间质
可有黏液或黏液湖形成;
可见促结缔组织增生反应。

免疫组织化学染色:
P16 弥漫强阳性,CEA 常阳性,Ki-67 指数增高。
鉴别诊断:
常呈息肉样外观;
分叶状结构;
腺体密集排列,细胞无异型;
无促结缔组织增生性间质;
CEA 阴性;
P16 阴性或仅局灶弱阳性。