睾丸结外 NK/T 细胞淋巴瘤,鼻型
Testicular Extranodal NK/T-Cell lymphom,Nasal-Type
概述:
结外睾丸原发的显示 NK/T 细胞表型,EBV 感染的恶性淋巴瘤
发病部位: 睾丸
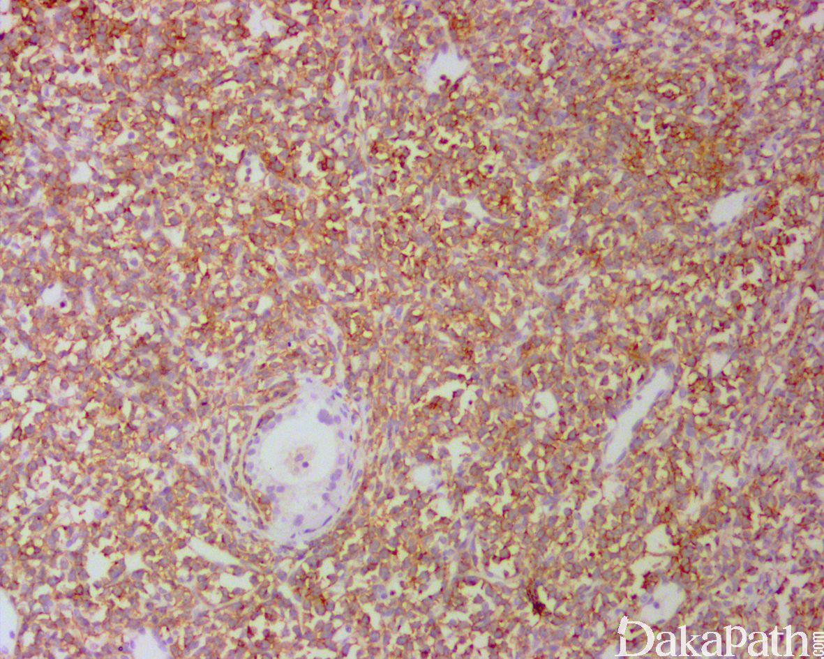
诊断要点:
- 见于成人,通常单侧发生,偶尔可双侧发生,表现为睾丸肿大;
- 镜下异型淋巴细胞弥漫浸润,常见凝固性坏死及细胞凋亡;
- 曲细精管及血管浸润常见,有时可累及附睾;
- 细胞形态及免疫表型同其它部位鼻型结外 NK/T 细胞淋巴瘤,EBV 常阳性。

免疫组织化学染色:
同其他结外部位原发的 NK/T 细胞淋巴瘤
分子标记:
EBER 原位杂交阳性
鉴别诊断:
弥漫大 B 细胞淋巴瘤
精原细胞瘤
预后:
差,通常存活< 1 年
治疗:
化疗
病例报道:
Naboush A, Farhat F, Nasser SM, Kamar FG.
Case Rep Oncol Med. 2013;2013:267389. doi: 10.1155/2013/267389. Epub 2013 Aug 12. 参考文献:
Extranodal NK/T-cell lymphoma, nasal type: a report of 73 cases at MD Anderson Cancer Center.
Li S, Feng X, Li T, Zhang S, Zuo Z, Lin P, Konoplev S, Bueso-Ramos CE, Vega F, Medeiros LJ, Yin CC.
Am J Surg Pathol. 2013 Jan;37(1):14-23. doi: 10.1097/PAS.0b013e31826731b5. Extranodal nasal type natural killer/T-cell lymphoma of testis: report of seven cases with review of literature.
Liang DN, Yang ZR, Wang WY, Zhao S, Yang QP, Tang Y, Bi CF, Liu WP.
Leuk Lymphoma. 2012 Jun;53(6):1117-23. doi: 10.3109/10428194.2011.645209. Epub 2012 Jan 3. Review