睾丸髓系肉瘤

Testicular Myeloid Sarcoma

发病部位: 睾丸

诊断要点:

  1. 罕见,可发生于具髓系白血病、骨髓增生异常综合征病史患者,睾丸很少为首发部位,单侧或双侧受累;
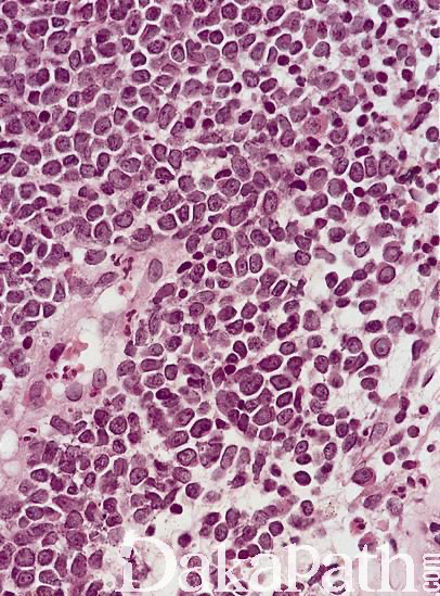
  2. 肿瘤细胞表现为弥漫性生长,或生精精管间浸润性生长,偶尔可浸润至生精小管内,间质可见不成熟的嗜酸性粒细胞浸润,有时伴明显硬化;
  3. 细胞形态学与免疫表型同急性髓系白血病。

免疫组织化学染色:

表达溶菌酶,MPO,CD34,CD117

鉴别诊断:

恶性淋巴瘤:瘤细胞核形态更不规则,无颗粒状胞浆,免疫组化染色不表达 MPO 而表达淋巴细胞相关的标志物

预后:

治疗:

睾丸切除伴术后辅助治疗

病例报道:

Testicularmyeloid sarcoma:casereport.

参考文献:

Clinicopathological, Cytogenetic, and Prognostic Analysis of 131 Myeloid Sarcoma  Patients.

Kawamoto K, Miyoshi H, Yoshida N, Takizawa J, Sone H, Ohshima K.

Am J Surg Pathol. 2016 Nov;40(11):1473-1483. Testicular**  myeloid sarcoma : an unusual presentation of infant acute myeloid  leukemia.

Fonseca A, Scheinemann K, Jansen J, Barr R.

J Pediatr Hematol Oncol. 2014 Apr;36(3):e155-7. doi: 10.1097/MPH.0000000000000097. PMID: 24390442