骨髓增生异常综合征伴孤立性 5q-

Myelodysplastic Syndromes with Isolated del (5q)

概述:

2017 年 WHO 淋巴造血系统肿瘤分类第四版(2016 版)更新版正式出版了,在骨髓增生异常综合征(MDS)的分类、诊断标准及预后相关因素方面进行了部分更新。与 2008 年版本相比,MDS 5q-遗传学诊断标准可以增加 1 个非高危型异常。该类型伴有 P53 突变的病例预后较差,应常规进行 P53 突变检测。

诊断要点:

  1. 女性多见(男女之比 1:2),中位发病年龄 67 岁。中位存期 145 个月,<10%病例进展为急性白血病。
  1. 外周血:贫血常较严重,多为大细胞性,1/3-1/2 的病例表现为血小板增高,血小板减少少见。无或极少(<1%)循环原始细胞,很少表现为三系减少,如三系减少建议诊断为 MDS-U。
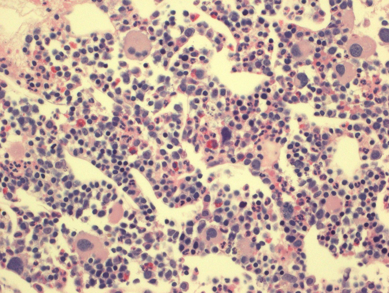
  1. 骨髓:巨核细胞增多,少分叶核或单个核是其形态特征,原始细胞细胞<5%,无 Auer 小体。活检细胞密度通常增高或正常,常表现红系增生低下。红系异型增生较轻,粒系明显异型增生少见,环形铁粒幼细胞不影响诊断。
  1. 遗传学:孤立性 5q-,也可以是 5q-加另一非高风险染色体异常(不能是-7)。
  1. 有 P53 突变的病例预后较差,应常规进行 P53 突变检测。
  1. 与 2008 版相比,2016 版遗传学诊断标准可以增加 1 个非高危型异常。

鉴别诊断:

  1. 慢性骨髓增生性肿瘤 :骨髓增生异常综合征伴孤立性 5q- ,骨髓巨核细胞增多,且外周血小板可增高,与慢性骨髓增生性肿瘤有点相似。可从骨髓细胞密度/增生程度包括巨核细胞增生程度、细胞形态特别是巨核细胞形态及细胞和分子遗传学加以鉴别。
  1. 骨髓增生异常/骨髓增生性肿瘤和其它类型骨髓增生异常综合征 :这些疾病常有不同程度的巨核细胞形态异常或伴增高,但外周血和骨髓的其它改变有助鉴别。如外周粒细胞和单核增高,或多系(包括血小板)减少;骨髓明显增生或多系异型及原始细胞增高等。细胞/分子遗传学可以从正常到复杂核型异常(可以包括 5q-,但不符合骨髓增生异常综合征伴孤立性 5q- 的定义要求)。