原发性骨髓纤维化
Primary Myelofibrosis (PMF)
概述:
原发性骨髓纤维化是一种克隆性骨髓增生性肿瘤,以巨核细胞及一定程度的粒系细胞增生为特征,并伴骨髓纤维化。疾病分两个阶段,纤维化前期及纤维化期。
诊断要点:
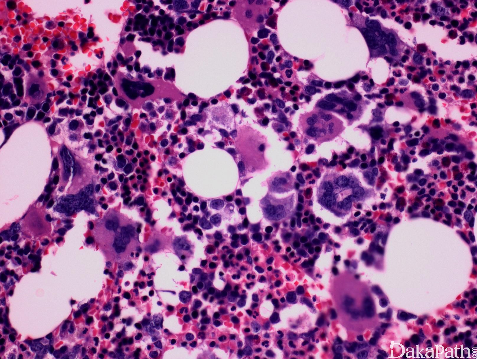
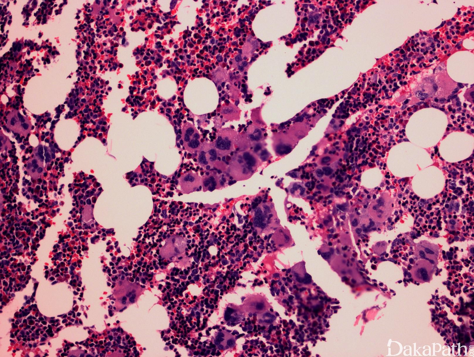
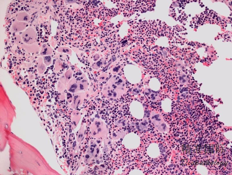
临床及形态
年发病率 0.5-1.5/100000,发病高峰 50-70 岁,40 岁以前很少发病(占 10%)。临床表现及形态学与病程发展阶段有关。
纤维化前期
临床上无或轻度脾/肝肿大,轻度贫血、轻至中度白细胞增多,血小板常明显增多。
无或偶见幼粒幼红细胞血象, 无或偶见泪滴状红细胞。
骨髓细胞密度增高,中性粒系增生,巨核系明显增生并高度不典型(巨核细胞聚集、核异常分叶、云状核、裸核、奇异形核),无或极微网硬蛋白纤维化。
纤维化期
临床上中度至明显脾/肝肿大(由髓外造血所致),中度至明显贫血,白细胞和血小板可以减少、正常或增高;
典型幼粒、幼红细胞血象,红细胞形态不一和泪滴状红细胞;
骨髓细胞粒、红系增生低下,主要成分为增生的异形巨核细胞及伴有的网硬蛋白和胶原纤维化,血窦扩张伴窦内造血,并可见新骨形成和骨硬化。
诊断标准( 2017 年版 WHO )
1. 早期 / 纤维化前期
主要标准
骨髓活检巨核细胞增生伴不典型性,缺乏一级以上(>1 级)网状纤维化伴年龄调整后骨髓细胞密度增加、粒系增生,红系增生常常减低。
不满足 WHO BCR-ABL1 阳性髓系白血病、真性红细胞增多症、原发性血小板增多症、骨髓增生异常综合征或其它髓系肿瘤的诊断标准。
JAK2. CALR、或 MPL 突变,或存在其它克隆标志 b,或无轻度反应性网状纤维化 c。
次要标准:最少存在下列标准的 1 项,连续两次检查证实
非由其它疾病引起的贫血
白细胞 ≥11x109/L
可触及的脾脏肿大
乳酸脱氢酶高于正常值上限
※b.缺乏 JAK2. CALR、或 MPL 等 3 个主要突变时,髓系肿瘤相关突变如 ASXL1. EH2. TET2. IDH1. IDH2. SRSF2. SF3B1 突变有助于疾病克隆的确定;
※c.感染、自身免疫或其它慢性炎症、毛细胞白血病或其它淋巴系肿瘤,转移性恶性肿瘤或毒性(慢性)病变引起的轻度反应性网状纤维化。
2. 纤维化期
主要标准
骨髓活检巨核细胞增生伴不典型性,伴网状纤维和/或胶原纤维化 2 级或 3 级
不满足 WHO BCR-ABL1 阳性髓系白血病、真性红细胞增多症、原发性血小板增多症、骨髓增生异常综合征或其它髓系肿瘤 b 的诊断标准。
JAK2. CALR、或 MPL 突变,或存在其它克隆标志 c,或无轻度反应性网状纤维化的证据 d。
次要标准:最少存在下列标准的 1 项,连续两次检查证实
非由其它疾病引起的贫血
白细胞 ≥11x109/L
可触及的脾脏肿大
乳酸脱氢酶高于正常值上限
外周血白细胞增高,可见不成熟粒细胞和红细胞
※b. 骨髓增生性肿瘤伴单核细胞增多,或在疾病过程中出现单核细胞增多,类似 CMML,在这种少见情况下 MPN 病史可排除 CMML,而骨髓 MPN 特征性改变和/或 MPN 相关突变 JAK2. CALR、MPL 支持 MPN 的诊断而不支持 CMML。
※c.缺乏 JAK2. CALR、或 MPL 等 3 个主要突变时,髓系肿瘤相关突变如 ASXL1. EH2. TET2. IDH1. IDH2. SRSF2. SF3B1 突变有助于疾病克隆的确定。
※d.感染、自身免疫或其它慢性炎症、毛细胞白血病或其它淋巴系肿瘤,转移性恶性肿瘤或毒性(慢性)病变引起的轻度反应性网状纤维化。
遗传学特征
50-60% JAK2 突变,24% CALR 突变,8% MPL 突变,12%三阴性;三阴病例中部分 MPL S204P 和 MPL Y591N。其它染色体异常有 del(13)(q12-22),der(6)t(1;6)(q21-23;p21.3)、del(20q)、+8. +9 等。

分子标记:
50-60% JAK2 突变,24% CALR 突变,8% MPL 突变,12%三阴性;三阴病例中部分 MPL S204P 和 MPL Y591N。80%以上病例可见其它基因突变或 DNA 变异,如 ASXL1 (36%), TET2 (18%), SRSF2 (18%), U2AF1 (16%)。其它染色体异常有 del(13)(q12-22),der(6)t(1;6)(q21-23;p21.3)、del(20
鉴别诊断:
原发性血小板增生症 : 主要需与纤维化前期原发性骨髓纤维化相鉴别。原发性血小板增生症外周血主要是血小板明显增高,粒细胞一般不高;骨髓细胞密度正常,无粒系增生,主要是巨核细胞增生,为含丰富胞浆多分叶的大巨核细胞,高度异形巨核细胞缺如或少见,不聚集成簇或仅偶而松散聚集。
继发于其他骨髓增生性肿瘤的纤维化 :晚期慢性骨髓增生性肿瘤(如 PV、CML)都可以纤维化,其形态和临床表现常与晚期原发性骨髓纤维化重叠,主要靠病史和遗传学(BCR/ABL)加以鉴别。
MDS 伴纤维化 :常见于高级别 MDS。外周血小板常减少,或全血细胞减少,可见原始细胞或发育异常细胞。骨髓巨核细胞无明显增生,常有发育异常(小型、分页少),粒系和红系也可见发育异常,原始细胞增多。细胞遗传学也有助鉴别。
急性全髓增殖症伴骨髓纤维化 :起病急,全身症状明显,但无明显脾肿大。外周全血细胞减少,可见原始细胞;骨髓三系增生,细胞异型,原始细胞增高。
参考文献:
Tefferi A, Lasho TL, Finke CM, Elala Y, Hanson CA, Ketterling RP, et al. Targeted deep sequencing in primary myelofibrosis. Blood Adv. 2016;1:105–11. doi: 10.1182/bloodadvances.2016000208.
← 骨髓增生性肿瘤,不能分类 真性红细胞增多症 →