原发性血小板增多症
Essential Thrombocythemia (ET)
概述:
原发性血小板增多症是一种慢性骨髓增生性肿瘤,主要累及巨核系,以外周血持续性血小板增高、骨髓成熟巨核细胞增生为特征,临床进程呈惰性,偶发出血或血栓形成。由于其没有特异性遗传学及分子生物学标志,而临床表现和其它疾病有重叠,其它原因导致的血小板增高必须除外。
诊断要点:
1. 临床表现和形态学
主要发生于 50-60 岁,女性发病率略高于男性,也可发生于儿童,需要与遗传性血小板增多症鉴别。半数病人诊断时无症状,其它表现为血栓或出血性病变,15-20%病人轻度脾肿大。
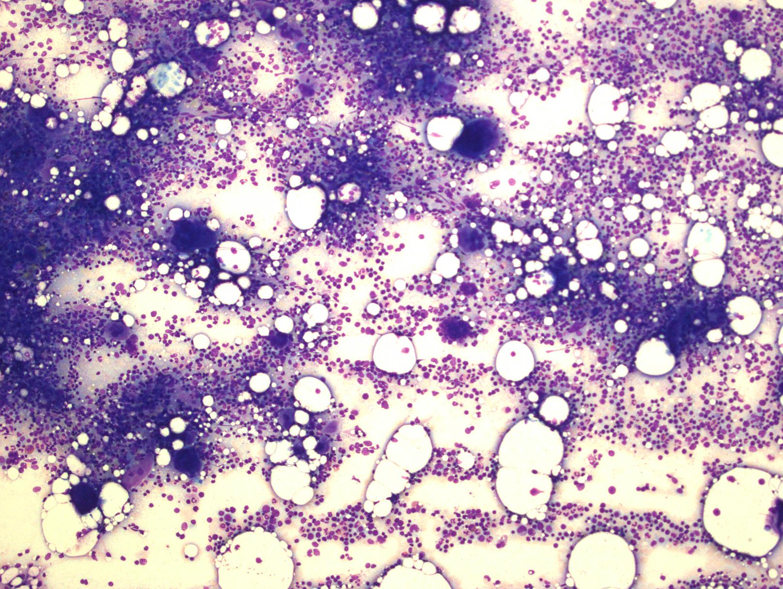
外周血主要表现为明显的血小板增多。血小板常大小不等,从微小血小板-大血小板-巨大血小板都可存在,偶尔可见奇异形血小板、伪足血小板、无颗粒血小板。白细胞数量及分类正常,偶尔可增高到上限临界值。红细胞为正细胞正色素,除非出血引起缺铁性贫血表现为小细胞低色素性贫血,无不成熟粒细胞、红细胞及泪滴样红细胞。
骨髓细胞密度正常,少数可表现为密度增加。最突出的表现是巨核细胞显著增生,以大巨核细胞为主,胞质丰富、成熟,核分叶深、分叶增多,骨髓中单个弥漫分布,也可疏松簇状分布。偶尔可见红系增生(常因出血引起增生性贫血所致),但粒系增生非常少见,如有也是轻度增生。无原始细胞增多,无髓系异型增生。网状纤维正常,仅 5%可有轻度增多,但从不超过 1 级,偶尔后续骨髓活检可见网状纤维化。初诊时明显的网状纤维或胶原化应排除 ET 的诊断。常见粒细胞伸入巨核细胞现象,但不具特异性。
2. 诊断标准(2017 年版 WHO )
其诊断需满足下面主要诊断标准的全部 4 条,或满足前 3 条主要标准加上次要诊断标准。
主要标准
持续性血小板计数 ≧450x109/L;
骨髓活检显示巨细胞增生为主,成熟的大巨核细胞数量增加,核分叶增多,细胞异型不明显,无明显粒系及红系增生及左移;很少有网状纤维轻度增生(1 级);
不满足其它慢性骨髓增生性肿瘤(如 PV、PMF、CML)及其它髓系肿瘤的诊断标准(除外伴有血小板增多的 AML、MDS/MPN、MDS);
JAK2. MPL、或 CALR 突变。
次要标准: 有克隆性标志或不存在反应性血小板增多的证据。
ET 后骨髓纤维化诊断标准
必要条件:
先前诊断 ET 的证据
骨髓纤维化(3 级分类的 2-3 级;4 级分类的 3-4 级)
附加条件(满足 2 条)
贫血(低于相应年龄、性别及海拔的正常范围)或者血红蛋白低于基础值>2g/dl;
外周血白细胞增多,出现不成熟粒白细胞和红细胞;
脾肿大:脾脏触诊肋下>5cm,或新出现可触及的脾脏增大;
乳酸脱氢酶升高(高于正常范围)
出现以下症状的任意 2 个或全部 3 个:6 个月内体重减少>10%、盗汗、原因不明发热(>37.5℃)
3. 细胞遗传学
缺乏特异细胞遗传学改变。50-60%具 JAK2 V617 或 12 外显子突变。30%CALR 突变、3%MPL, 12%三阴性,三阴病例中部分有 MPL S204P 和 MPL Y591N 突变。非常罕见的情况有 ET 获得 BCR-ABL1 融合基因。7.7%的 ET 患者存在染色体异常,包+8、9q 异常,-20q,偶尔-5q。

鉴别诊断:
1. 反应性血小板增多 : 很多原因都可以引起外周血小板计数增高,如感染、炎症、脾切除、慢性缺铁,肿瘤等。
2. 其它慢性髓系增生性肿瘤 :PV、PMF 和 CML 常有血小板增生,但根据各自其它特征可以加以鉴别,如血红蛋白增高及全系增生(PV)、巨核细胞高度异形伴粒系增生和纤维化(PMF)、巨核细胞小型少分叶伴显著粒系增生及 BCR/ABL 融合(CML)。
3. MDS/MPN 伴环形铁粒幼红细胞和血小板增高(MDS/MPN with Ring Sideroblasts and Thrombocytosis) :血小板增高,同时有巨核增生(巨核形态类似 ET 或早期 PMF),但同时有环形铁粒幼红细胞。超过 80% 病例有 SF3B1 突变。
4. MDS 伴血小板增高 :MDS 伴 5q-常有血小板增高,但同时有贫血;骨髓巨核细胞增多,其形态特征为小型、少分叶,遗传学检查有助鉴别。
预后:
为惰性经过,可长时间无症状,偶尔发生致命的血栓或出血事件。多年以后,少数病人会发生骨髓纤维化(2-3/3 或 3-4/4)其发生率相当于 PV 发生纤维化的一半,MDS 或 AML 转化率<5%,常和细胞毒治疗相关
← 肥大细胞增生症 慢性中性粒细胞白血病 →