乳头状汗管囊腺瘤
Syringocystadenoma Papilliferum
发病部位: 头皮及面颈部
诊断要点:
多发于幼年,部分出生时即有,好发于头皮及面颈部,可与皮脂腺痣伴发;
常表现为单发皮损,初起为角化性结节,青春期增大,可至 2cm-3cm;
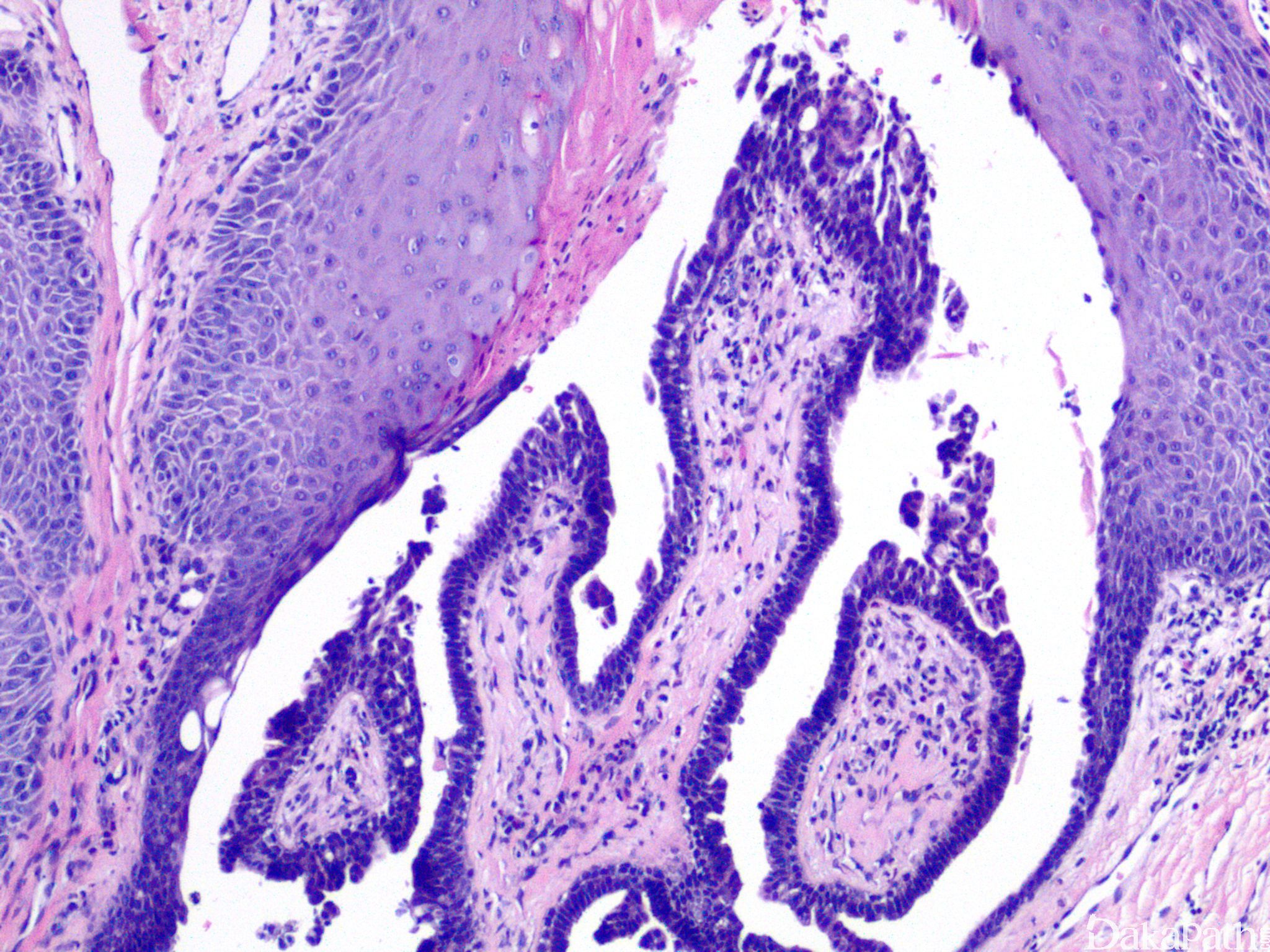
镜下见真皮内数个囊样凹陷,开口皮面,囊腔上皮与表皮鳞状上皮相连;
腺腔内可见绒毛状突起,腔壁及绒毛状突起常由二层细胞组成,内层为高柱状细胞,核卵圆形,胞浆弱嗜酸性,可见顶浆分泌,为腺上皮;外层为小立方细胞,核圆,胞浆少,为肌上皮;
间质可见大量浆细胞浸润。

免疫组织化学染色:
腺上皮 AE1/AE3. CAM5.2. EMA 及 CEA 阳性,不同程度表达 GCDFP-15(顶浆分泌分化),肌上皮层呈 SMA、CK5/6 及 p63 阳性。
鉴别诊断:
乳头状汗腺瘤