乳头状汗腺瘤
Hidradenoma Papilliferum
发病部位: 阴唇、会阴部、肛周,也可见于其它任何部位
诊断要点:
多见于 20 以上妇女,好发于阴唇、会阴部、肛周,通常表现为单发皮下结节,略高出皮面;
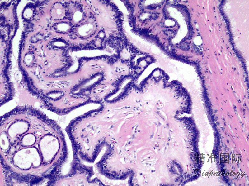
瘤体位于真皮,界限清楚,与表皮常无或很少连接,切面囊实性;
镜下见囊内小梁结构相互交织,向囊内形成许多乳头状突起;
乳头状突起和囊腔被覆上皮有两层细胞,内层为分泌细胞,呈高柱状,核较大,胞质嗜伊红性,常示顶浆分泌;外层细胞较小,深染,为肌上皮细胞;
偶有轻度核异型性,核分裂像少见。

鉴别诊断:
乳头状汗管囊腺瘤 :可见明显的浆细胞浸润。
乳头状汗管囊腺瘤 →