乳头靡烂性腺瘤病
Erosive Adenomatosis of the Nipple
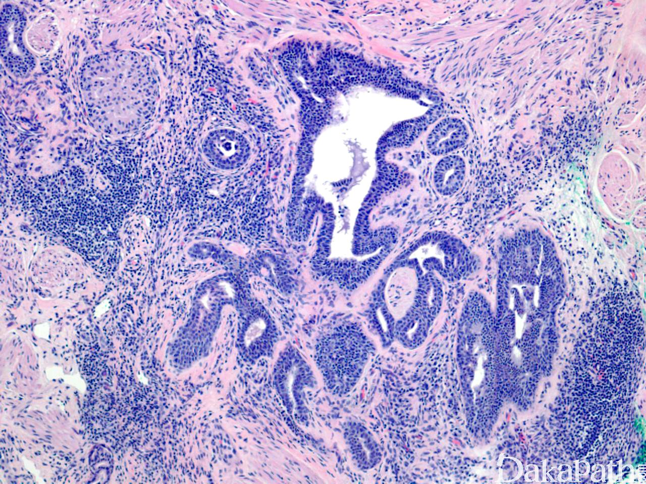
诊断要点:
多发于中年女性,好发于乳头或乳晕周围,表现为境界不清的团块,可形成湿疹样改变;
镜下见乳头下方真皮内边界清晰的小腺体增生,可呈结节样,与表皮相连;
腺腔样结构中导管上皮细胞增生形成乳头状突起,有时可见顶浆分泌;
腺体被覆两层细胞,内层为基底样细胞,细胞大小一致,核圆形,无异型性,为腺上皮细胞,腺上皮细胞可增生形成实性细胞巢或细胞索;外层是一层肌上皮细胞,胞浆淡染或透明;
无真正乳腺小叶间的基质。

← 乳头状指(趾)小汗腺腺癌 肌上皮癌 →