大汗腺腺瘤

Apocrine Hidradenoma

同义词(或曾用名): 汗腺腺瘤

诊断要点:

  1. 成人多见,也可见于儿童,可发生于任何部位,以头颈部多见,呈单发肤色或淡红色丘疹;

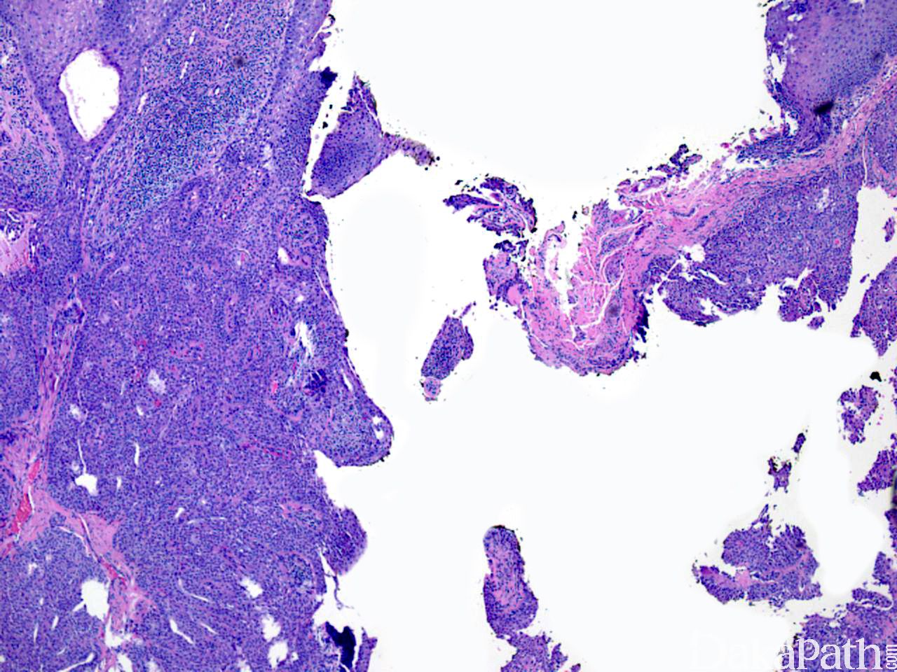
  2. 大体检查见真皮内边界清晰多叶性肿瘤,有实性和囊性结构,直径可达 2cm 或更大;

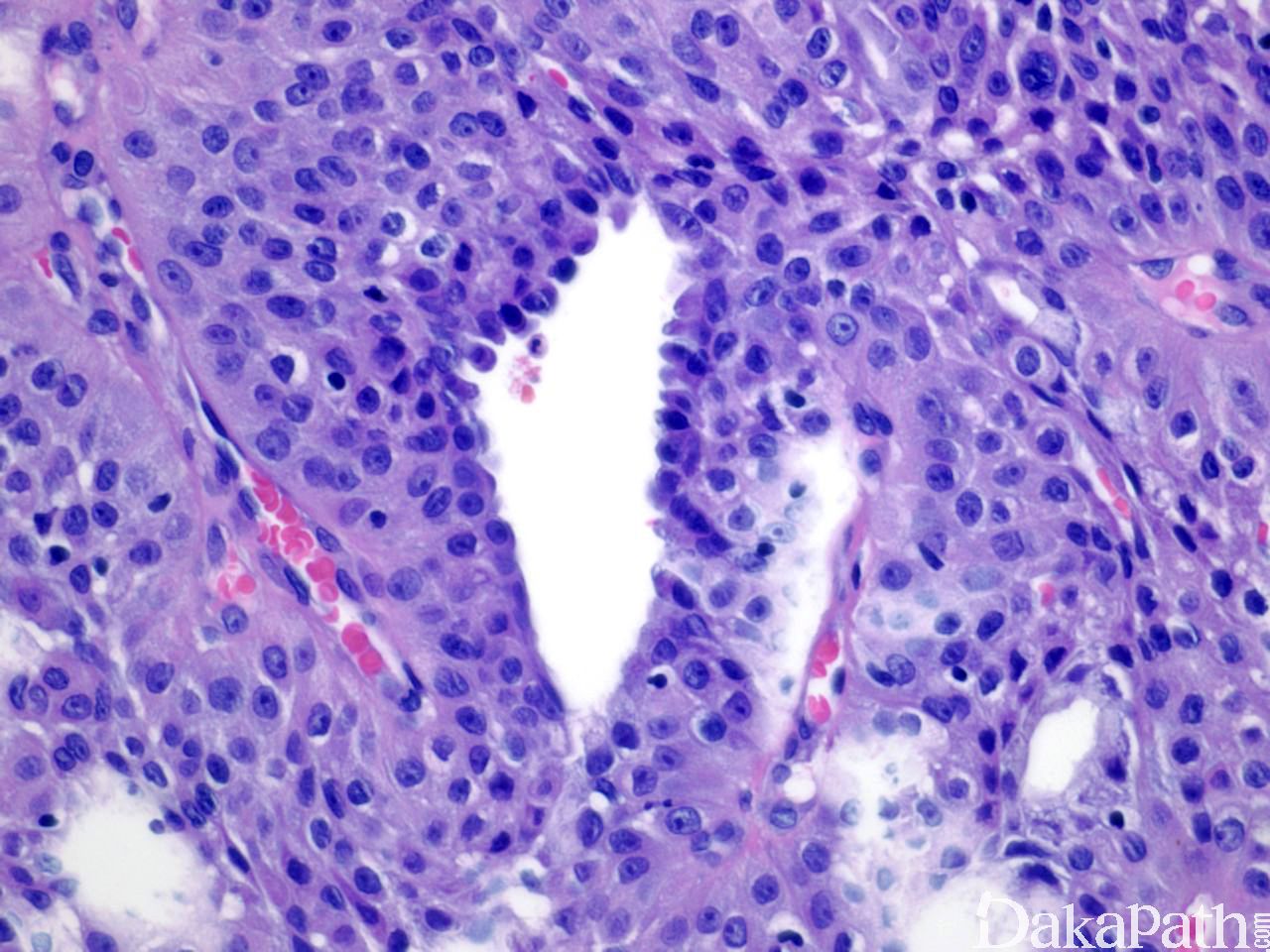
  3. 镜下:肿瘤界限清楚,位于真皮浅层,可与表皮相连,较大肿瘤可深达皮下组织;

  4. 肿瘤由一致的嗜酸细胞和胞质透明富含糖原胞质透明的细胞构成,两者比例因人而异,部分区域伴鳞状分化甚至角化珠形成;

  5. 瘤体中有汗腺小管结构,可扩张呈囊性区域,囊内充满粉染无结构物,管腔或囊内衬立方导管细胞或柱状分泌细胞,核分裂少见。

  6. 间质纤维化,并可出现广泛的玻璃样变性。

免疫组织化学染色:

腔面细胞呈 EMA、CEA、HMFG-1 及 GCDFP-15 阳性,肌上皮细胞呈 S100 及 SMA 阳性。

鉴别诊断:

肌上皮瘤:汗腺腺瘤腺管稀少时要与肌上皮瘤鉴别,免疫组化染色汗腺腺瘤具有 CAM5.2 与 CK7 阳性的上皮细胞和 Calponin 及 SMA 阳性的肌上皮细胞两种细胞构成可与肌上皮瘤鉴别。