小汗腺圆柱瘤

Eccrine Cylindroma

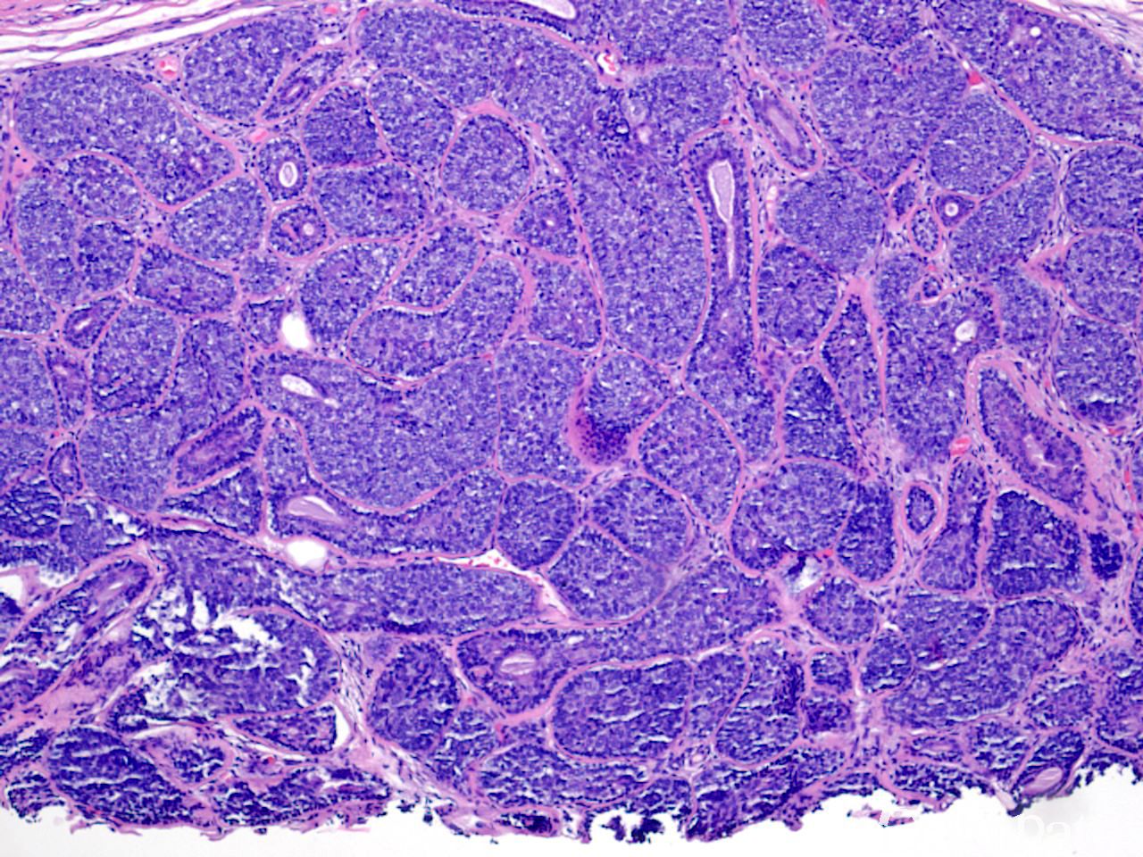
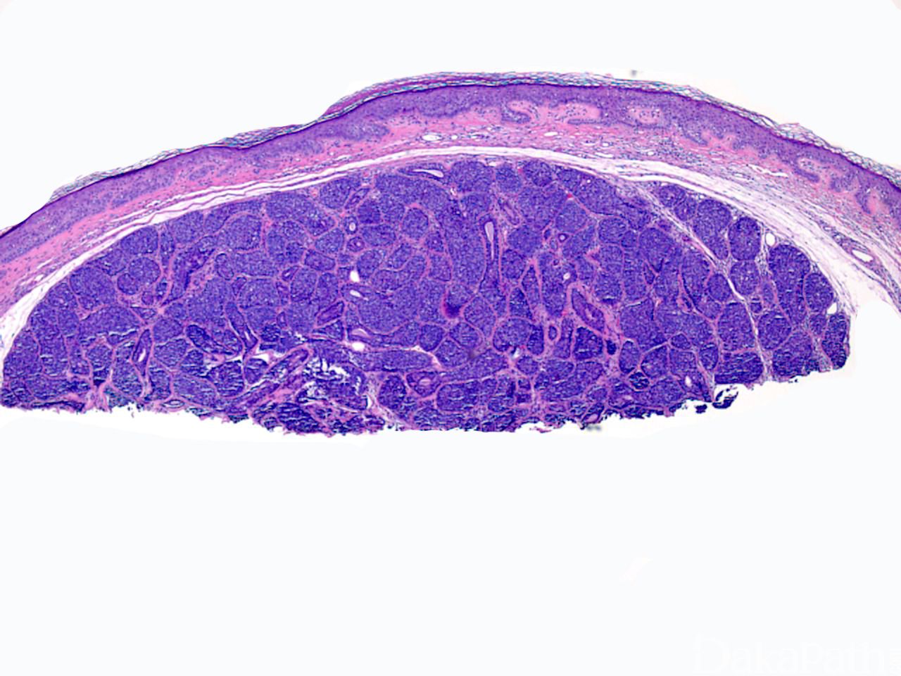
诊断要点:

  1. 多发于中老年女性,好发于头皮、面、颈部,表现为生长缓慢的单个或多发结节;

  2. 镜下见形状大小不一的瘤细胞巢、团,形成拼图(七巧板样)或鹅卵石路样结构,部分区域细胞呈条索状增生;

  3. 瘤细胞可分两类:一类细胞核小、色深,排列在巢团周边,另一类细胞位于细胞巢中央,染色较轻浅或胞浆透亮;

  4. 细胞巢内可见小管样结构,细胞巢周围见明显的基底膜包绕。

鉴别诊断:

小汗腺螺旋腺瘤