汗管瘤
Syringoma
概述:
真皮浅层的良性外分泌腺导管增生性疾病。
发病部位: 眼睑周围、腋窝、腹部和外阴
诊断要点:
该病相对常见,见于青春期至老年患者,女性发病多见,主要见于亚洲。临床多数呈多发性、小的肤色状至透明状丘疹,多数无症状,少数痒。
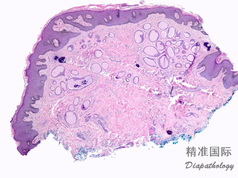
组织学上显示真皮浅层的小管状、索状、巢状及囊状结构及由上皮细胞组成的小细胞团。部分导管呈蝌蚪样伴逗点尾状结构。
管状及囊状结构衬覆一层至二层小的温和细胞,瘤细胞呈多角形、立方形或扁平状,胞浆嗜酸性,胞核深染,无核分裂相及细胞异型性;
有些导管可囊性扩张,囊内含无定形的粉染物质,少数可见角囊肿(horn cysts)。显示纤维性间质。
透明细胞亚型 导管衬覆胞浆透明的上皮细胞,可以仅局灶显示透明细胞变,胞浆富于糖原。
少数病例混合良性黑色素细胞,间质内可见致密浆细胞炎症。

免疫组织化学染色:
CEA、EMA、CK1. CK5. CK10. CK11 及 CK19 阳性。
鉴别诊断:
1. 促纤维增生性毛发上皮瘤: 临床上呈单发性,而非多发性。常显示多个基底样细胞岛,缺乏导管分化,可显示局灶乳头状间充质小体,表达 CEA 及 EMA。
2. 微囊性附属器癌(Microcystic adnexal carcinoma) : 常呈单发性病变,病变较大及呈浸润性生长,可延至真皮深部或皮下组织,常见神经周围侵犯,肿瘤的浅表部分显示毛囊分化。浅表活检时与汗管瘤很难鉴别。
3. 硬化性基底细胞癌: 常见于老年阳光曝晒部位及呈单发性,肿瘤细胞与间质之间的收缩间隙,显示细胞不典型性及核分裂,导管分化极其罕见。
4. 转移性腺癌: 头皮及躯干多见,体积较大,呈浸润性生长,常见显著细胞不典型性及核分裂像。