汗腺瘤
Hidradenoma
概述:
起源于汗腺远端分泌性导管的良性肿瘤
诊断要点:
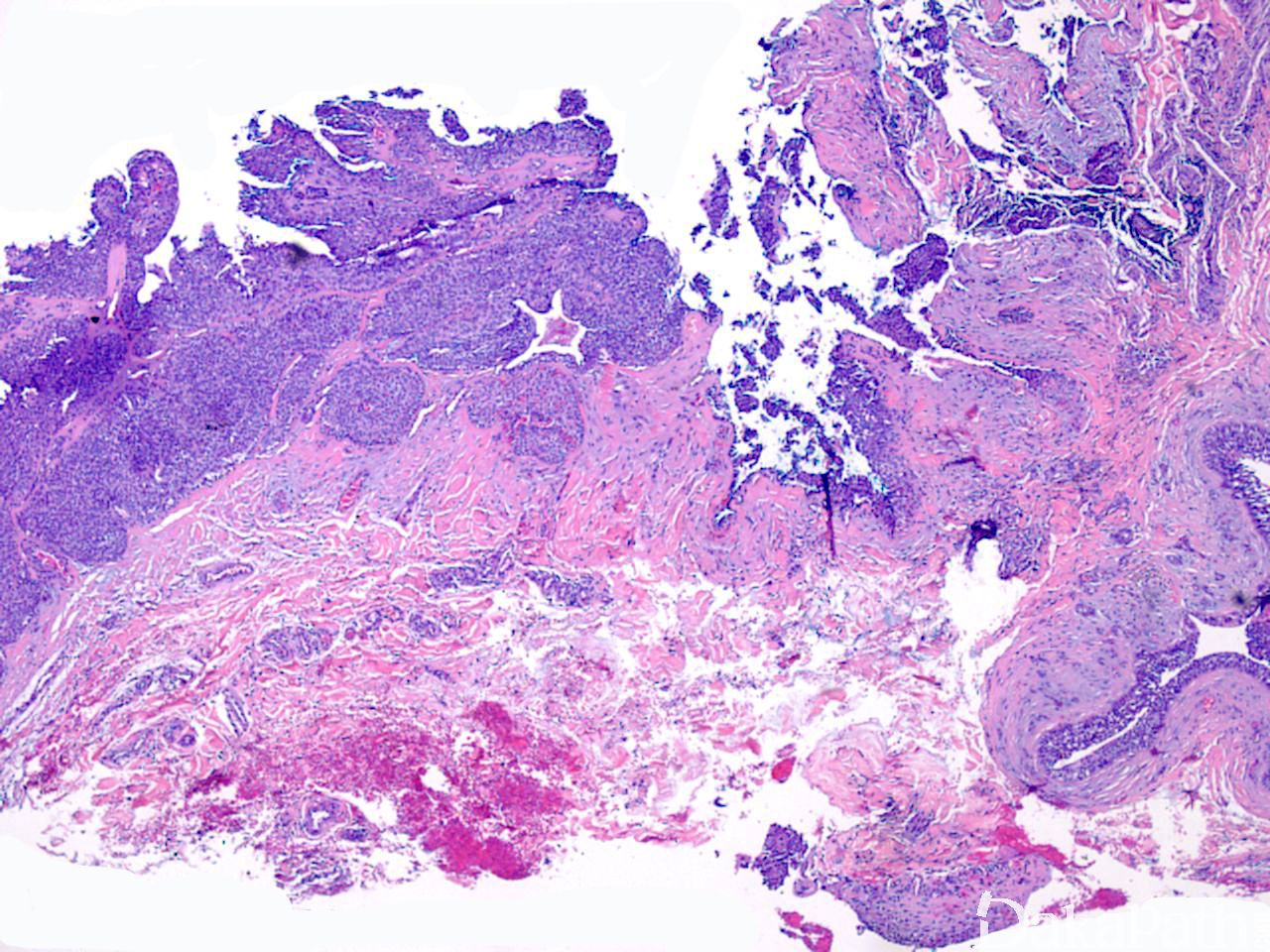
常位于真皮内,较大肿瘤可累及皮下组织,表现为界限清楚的结节,主要为实性,也可为囊实性;
镜下见一致的嗜酸性细胞或糖原丰富透亮大汗腺样细胞增生,形成巢状或小叶状结构;
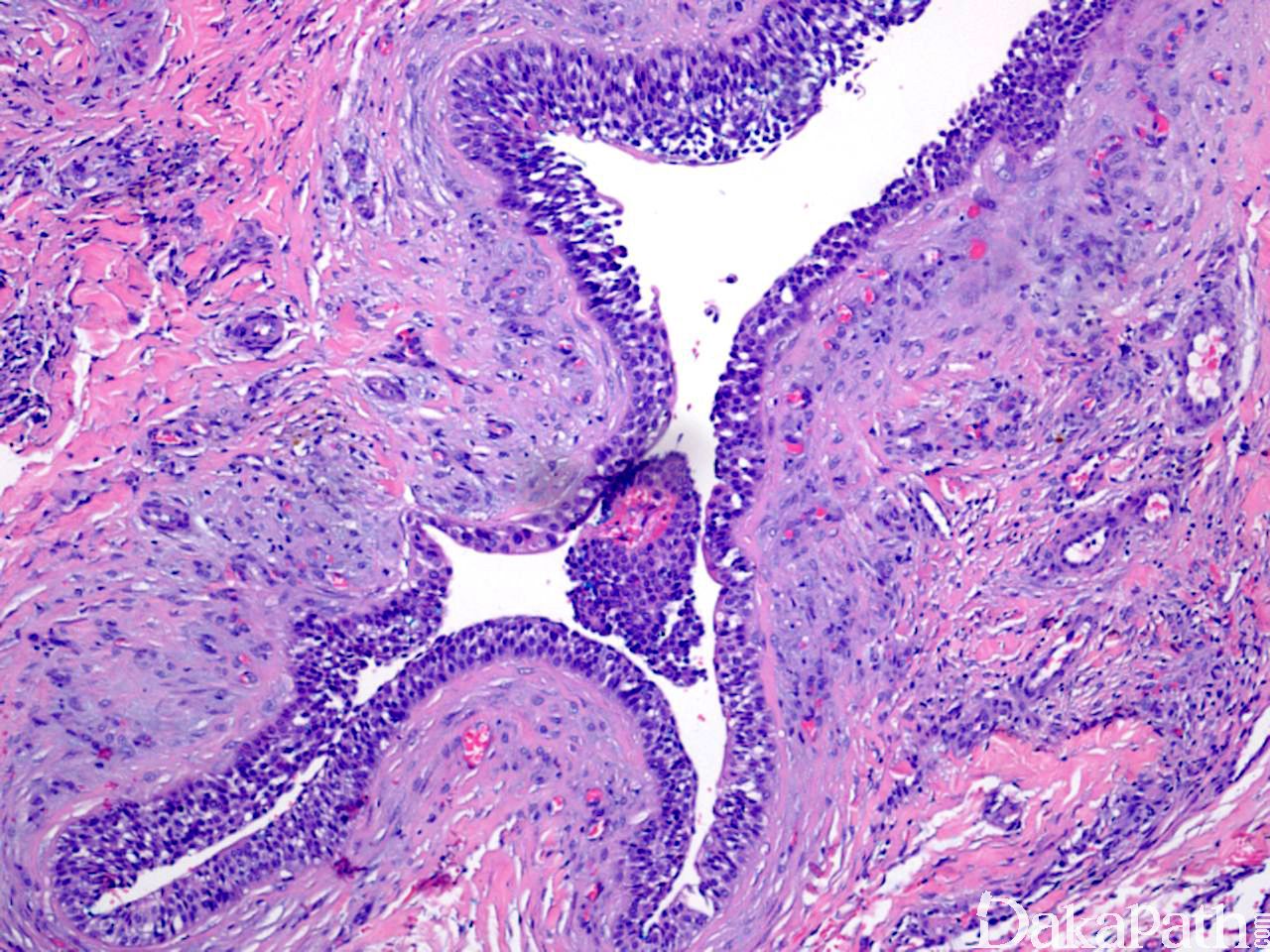
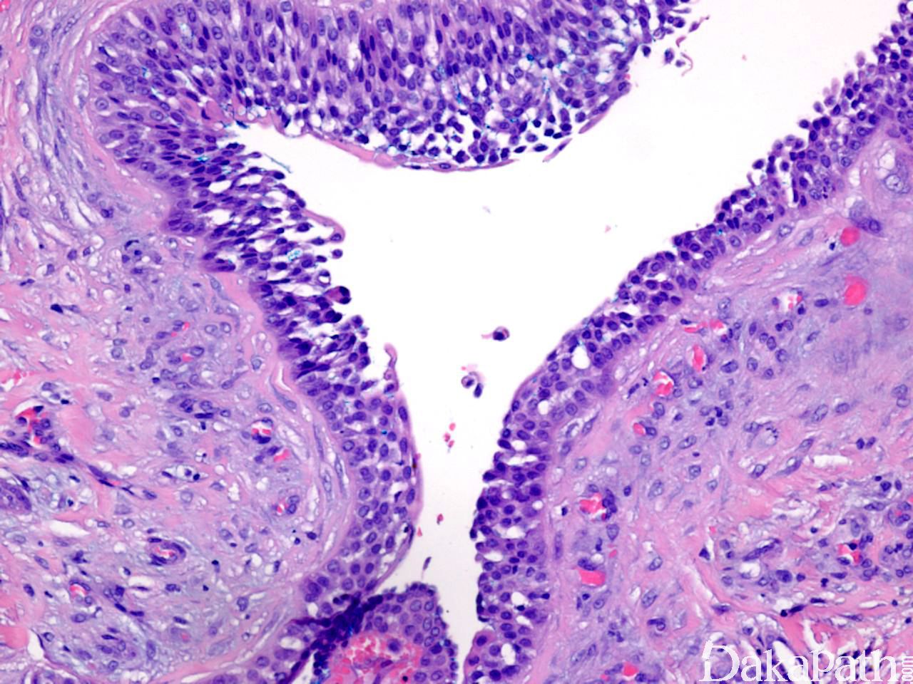
整个病变均可见到导管结构,一些导管扩张形成囊性区域,囊内充满粉染分泌物;
导管和囊性结构内衬立方形导管细胞或柱状分泌细胞,核形规则,染色质轻度增多,核分裂象少见;
某些区域可见鳞状分化,甚至角化珠形成;
间质纤维化,可伴有广泛的透明变性;
部分病例间质富含血管。

免疫组织化学染色:
分泌细胞 CK7. Cam5.2. CEA 或 GCDFP15 常阳性,肌上皮 Calponin 或 SMA 阳性。
鉴别诊断: