汗腺腺癌
Hidradenocarcinoma
发病部位: 颈部和四肢
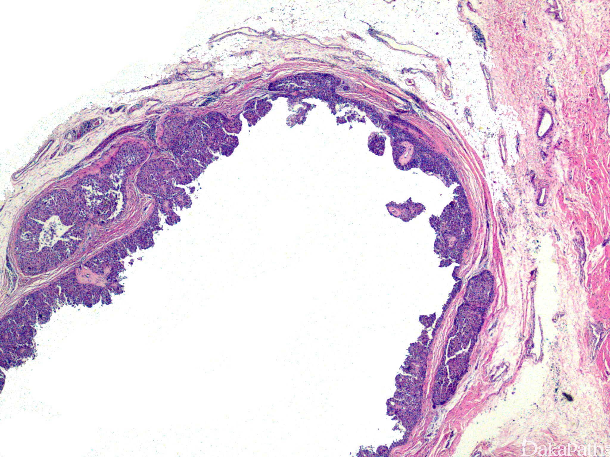
诊断要点:
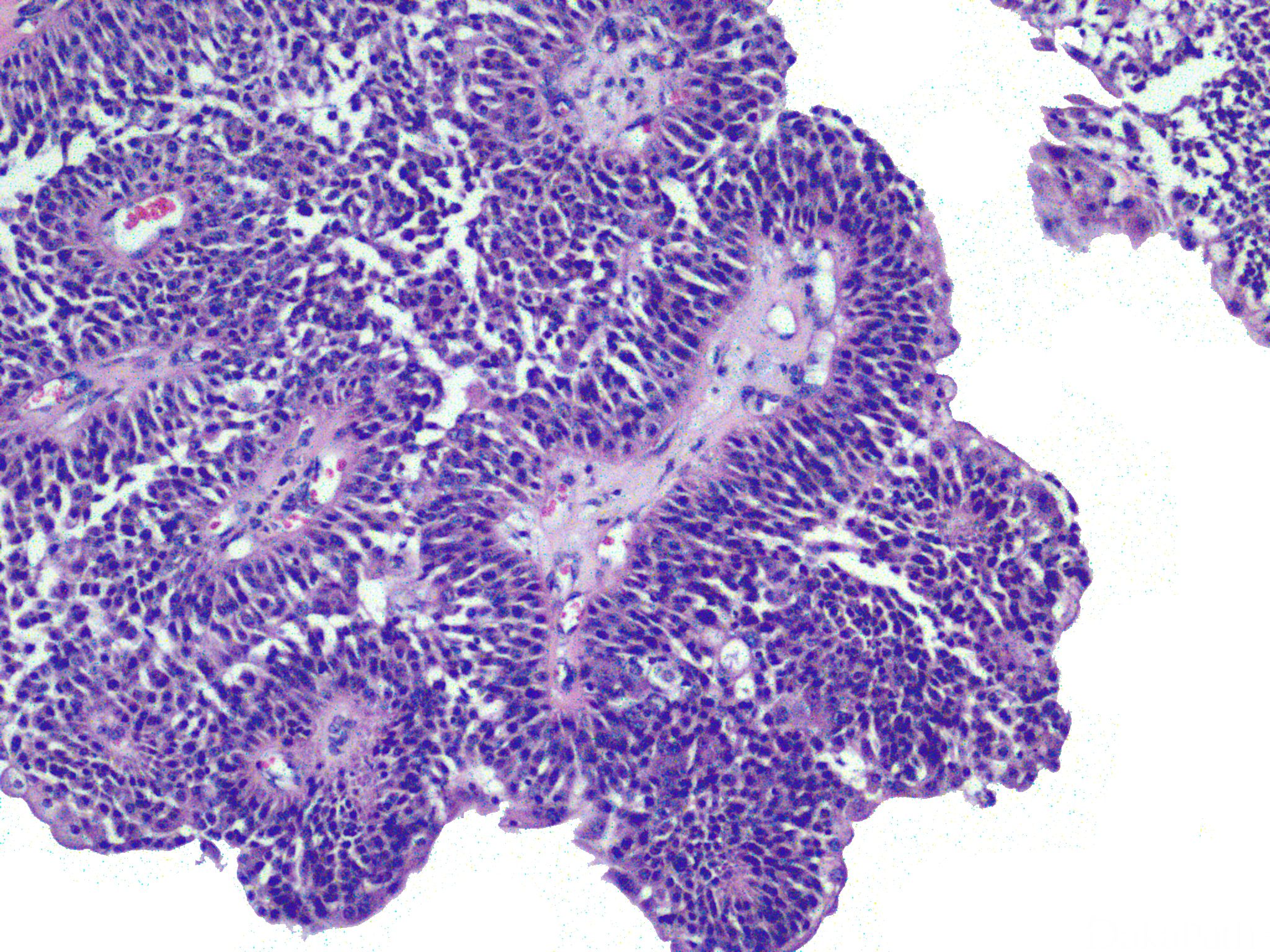
通常为老年患者,好发于头颈部和四肢,表现为肉色或淡红色结节,可伴溃疡;
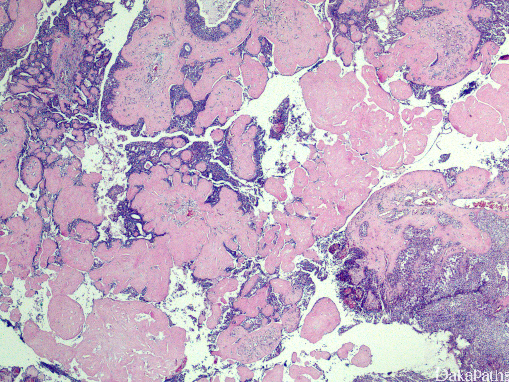
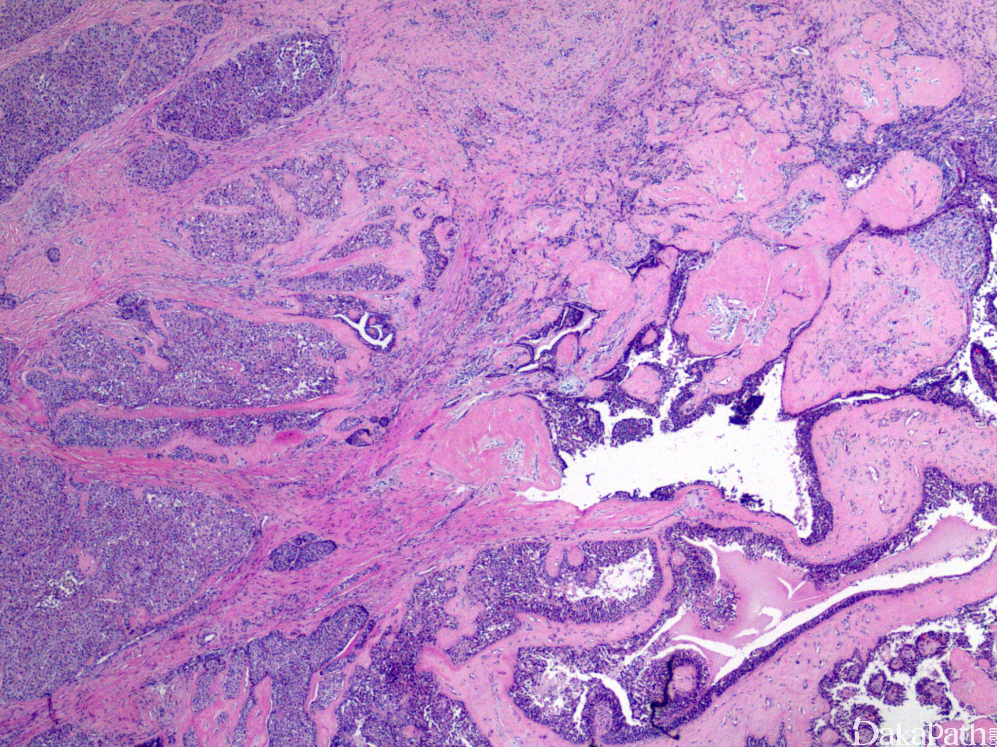
具有典型汗腺瘤形态学特征,呈囊性结节性生长,具透明细胞、鳞样细胞、肌上皮细胞等多种细胞成分;
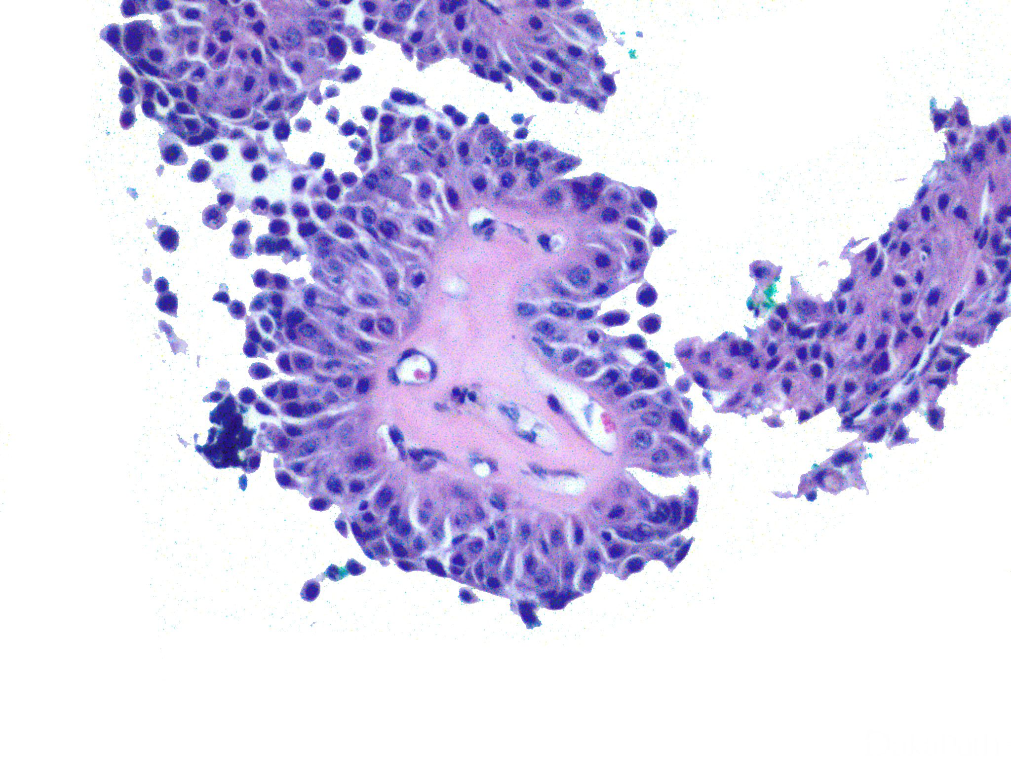
可见小腺管及上皮细胞内小泡;
具浸润性生长方式;
细胞具异型性,核分裂像常见,可伴坏死。

免疫组织化学染色:
GCDFP-15 常呈阳性,ER 及 PR 亦常阳性,mammaglobin 仅呈阴性或片状阳性。
鉴别诊断:
毛根鞘癌 和 鳞状细胞癌 无汗腺腺癌中的导管结构。
汗孔癌 汗腺腺癌 中的囊性结节状生长方式伴有透明细胞改变等形态学特征可将其与汗孔癌区分。