皮肤黏液性癌
Mucinou Carcinoma
同义词(或曾用名): 皮肤黏液腺癌;黏液性汗腺癌
发病部位: 面部、头皮和腋窝
诊断要点:
主要见于老年人,多发于面部、头皮和腋窝,表现为无痛性缓慢生长孤立性丘疹、小结节或斑块;
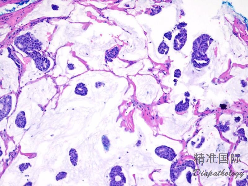
镜下显著的特征是肿瘤细胞漂浮于黏液背景中;
小的基底样细胞增生组成小巢或腺样结构,常可见导管和微小囊状结构;
瘤细胞为多角形基底样细胞,有轻度异型细胞,核分裂像少见;
间质明显的黏液,彼此相互融合形成黏液湖。

鉴别诊断:
转移性黏液腺癌与皮肤原发黏液腺癌鉴别比较困难,临床资料对鉴别诊断非常重要,免疫组织化学染色对鉴别诊断仅具有参考价值。