肌上皮瘤
Myoepithelioma
发病部位: 身体任何部位均可发生
诊断要点:
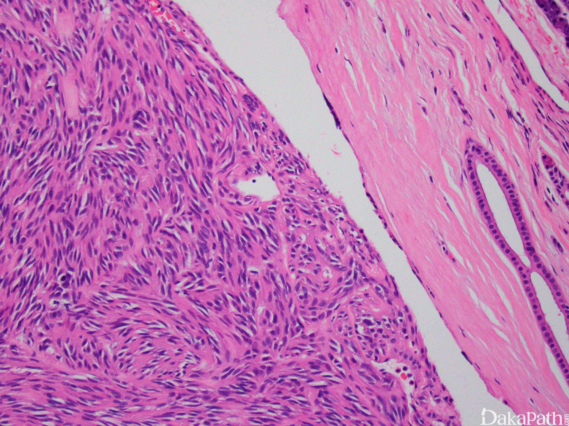
- 罕见的病变,可发生于任何年龄的任何部位,常表现为单个真皮或皮下小结节,很少位于皮下组织,界限清楚;
- 肌上皮细胞形态多样,可为短梭形,可呈上皮样,胞质从嗜酸性到苍白,也可透亮;
- 间质可伴纤维化、透明样变或黏液变性。

免疫组织化学染色:
肌上皮细胞 CK、S-100. EMA、Actin、Caldesmon 和 Calponin 常阳性。
鉴别诊断:
良性混合瘤 :有上皮和肌上皮两种成分。
肌上皮癌:具有浸润性生长方式,细胞有异型。