脂肪瘤样皮内痣
同义词(或曾用名): 创伤性脂肪瘤样先天性黑色素痣
概述:
先天性黑色素痣具有多向分化的潜能,包括神经纤维、雪旺细胞、不成熟横纹肌,以及脂肪细胞。有人认为反复创伤病变可以促使这种分化。神经纤维瘤与黑色素瘤都源于神经嵴细胞,所以也具有多向分化功能,单从形态学上与神经分化的黑痣有时相似,特别是表皮溃损时不能找到皮内黑色素痣成份,且伴有脂肪分化的黑色素瘤多为皮内痣。
诊断要点:
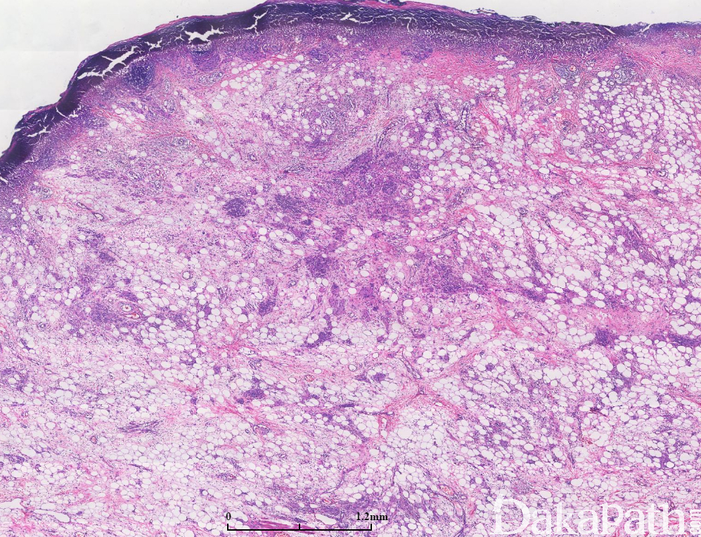
表皮下见病变大部分由成熟脂肪细胞构成,大致对称,主要累及真皮,脂肪细胞混杂有散在的梭型细胞,气球样细胞,近表皮处可见成团排列的细胞,个别细胞核增大,胞浆空泡状,偶见多核细胞,病变近底部处可见触觉小体样结构。无片状坏死,未见核分裂象。皮肤表皮可有破溃。

免疫组织化学染色:
S100. HMB45. SOX10 阳性,且从浅到深阳性强度逐渐减弱,Ki-67 指数低。
鉴别诊断:
非典型脂肪肿瘤:痣细胞 CD34 及 MDM2 都阴性,而 SOX10 阳性,可鉴别脂肪母细胞;
梭型细胞脂肪瘤:病变中的梭型细胞 CD34 阳性,而痣细胞 CD34 阴性;
表皮神经嵴错构瘤:其可见到明显不成熟横纹肌及不成熟神经细胞成份;
恶性黑色素瘤:气球样黑色素细胞在良性黑色素痣及恶性黑色素瘤都可见到,加上个别不典型大细胞,需要与恶黑鉴别,但低 Ki67,对称性生长,大核细胞核染色质呈模糊样,成熟型生长等都支持良性黑痣。