肝内胆管细胞癌
Intrahepatic Cholangiocarcinoma
概述:
肝内胆管细胞癌(ICC)是一种胆道上皮分化的肝内恶性肿瘤。可起源于肝内胆道的任何部分。
诊断要点:
患者多为老年人,多发生于非硬化性肝脏;
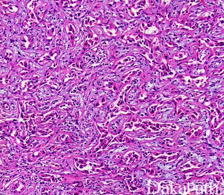
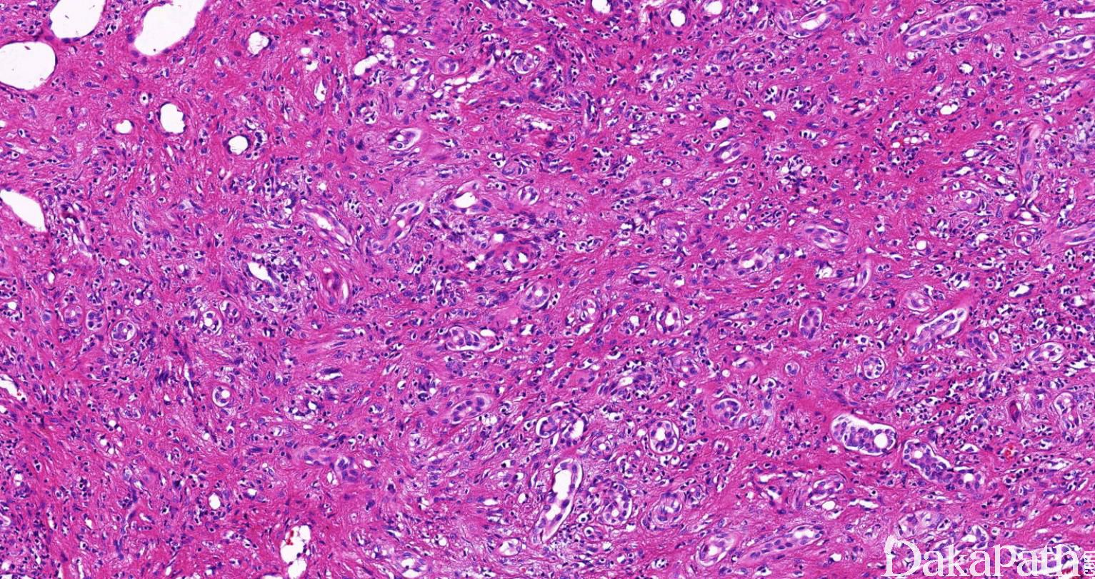
大体上可分为三型:肿块型,导管周浸润型和导管内生长型,以肿块型为主;
大多数 ICC 呈大小不一的管状生长方式,少数呈乳头状、腺泡状或条索状结构;
肿瘤细胞常小至中等大小,立方或柱状,可具多形性,胞质淡染,弱嗜酸或空泡状,有时胞浆丰富透亮,或类似于杯状细胞;细胞核较小,可见核仁;
间质不同程度纤维化、通常肿瘤中心部位硬化明显并玻璃样变,细胞密度低;
肿瘤常沿肝窦浸润,或直接替代邻近肝索上的肝细胞;
常浸润汇管区,并浸润小叶间脉管;
根据其形态学分为高分化、中分化和低分化腺癌,大多数为高分化管状腺癌,伴或不伴微乳头结构;中分化腺癌由中度变形的融合成筛状的腺管或条索状结构组成,而低分化癌的变形的腺管或条索状结构具有显著的细胞多形性;
肝内胆管细胞癌可有腺鳞癌、鳞癌、黏液癌、印戒细胞癌、透明细胞癌、黏液表皮样癌、淋巴上皮瘤样癌和肉瘤样癌等组织学亚型;
大多数病例分泌黏液,黏蛋白卡红、淀粉消化-PAS 或普鲁士蓝染色阳性。

免疫组织化学染色:
MUC1. MUC 2 和 MUC 3 常阳性,常表达 CK7. CK19. EMA 和 CEA,HapPar-1 阴性。
鉴别诊断:
胆道腺瘤 :常<1cm,位于肝被膜下,境界清楚,胆管小而形态一致,无管腔或管腔很小,细胞无异型,病变周围是正常的汇管区。
肝细胞肝癌 常有肝硬化背景,无黏液分泌,常见脂肪变性和或细胞内胆汁淤积。免疫组化化学染色 Hep-par-1. arginase-1. Glypican-3 阳性,多克隆 CEA 及 CD10 可显示微胆管。
反应性胆管增生 :常见胆管阻塞及炎症背景,细胞无异型,无神经或血管侵犯。
胆管腺瘤/腺纤维瘤:无浸润性生长,细胞无异型。