黏液样肾上腺皮质癌
Myxoid variant of adrenocortical carcinoma
同义词(或曾用名): 肾上腺皮质癌
概述:
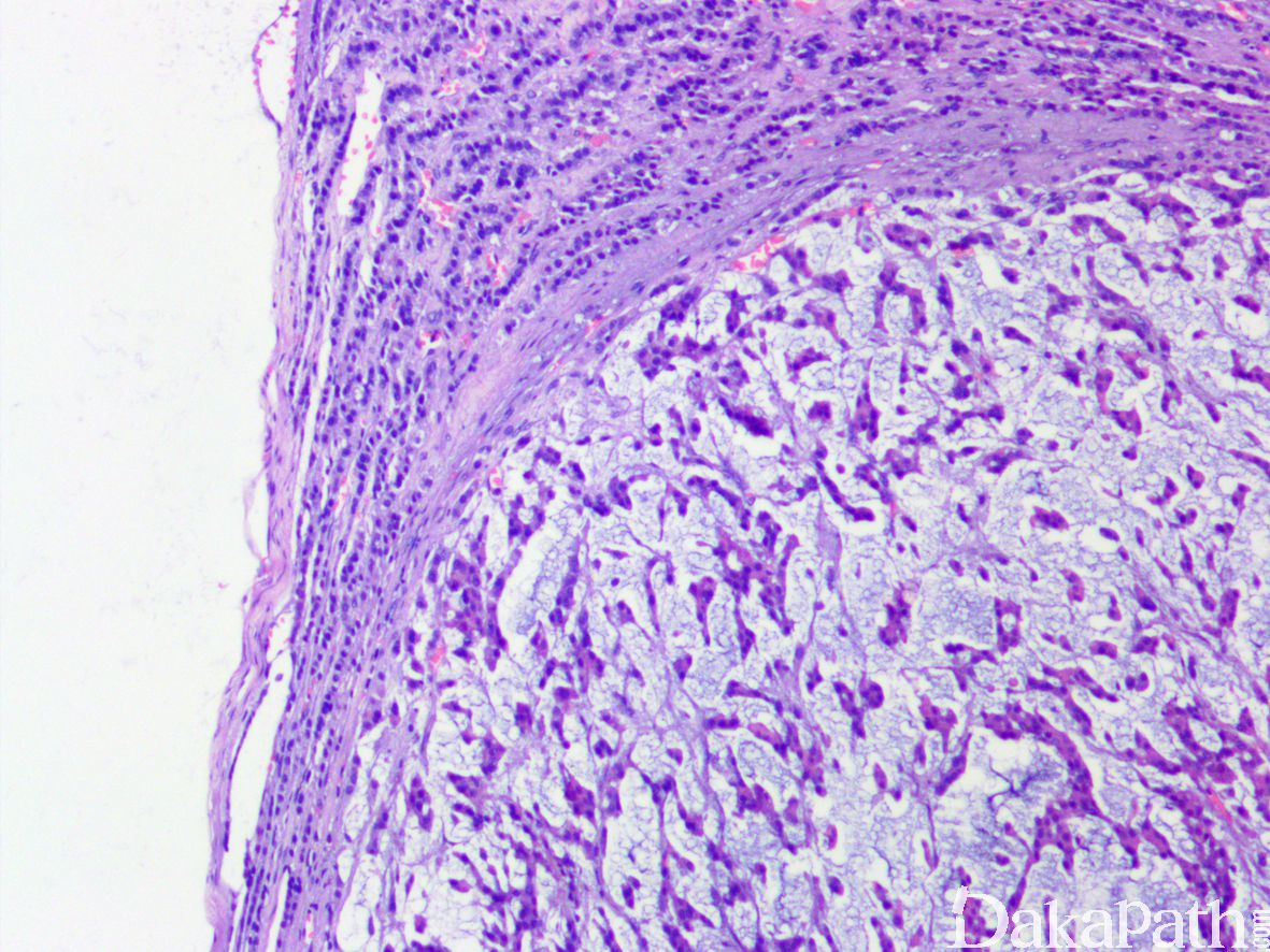
具有间质黏液变性特征的肾上腺皮质癌,黏液变区从 5%-100%不等
发病部位: 肾上腺
诊断要点:
1,肿瘤细胞呈实性片状、梁状或微囊、网状排列,间质为富于多少不等的黏液性基质;局灶可伴有髓性脂肪瘤样化生;
2,瘤细胞可呈异型显著的多形性细胞,也可表现为细胞相对单一的圆形细胞;核分裂象常见,可伴或不伴有坏死;
3,可见血管浸润和包膜突破;
4,部分黏液变性的肾上腺皮质癌应用 Weiss’s 评分标准可能存在生物学行为风险评估的不足,因此,所有具有黏液变性的肾上腺皮质肿瘤均应视为恶性潜能,需要充分的取材和充分的评估。

免疫组织化学染色:
表达 vimentin,不同 程度表达 SF-1,melan-a,inhibin-a,calretinin,syn,cd56 等,不表达 Cga, Ki67 通常> 10%
分子标记:
目前尚未发现 K-ras 或 EGFR 突变证据
鉴别诊断:
1,转移性黏液腺癌:结合病史,常见黏液湖和腺样结构,免疫组化染色表达 CK
2, 卵黄囊瘤:可见特征性的 S-D 小体,表达 AFP、CK、Glypican-3 和 SALL4 等。
预后:
生物学行为侵袭性,常见复发和远处转移。
治疗:
根治性切除,辅以术后辅助治疗
病例报道:
Hsieh MS, Chen JH, Lin LW.Myxoid adrenal cortical carcinoma presenting as primary hyperaldosteronism: case report and review of the literature. Int J Surg Pathol 2011; 19: 803–7. 参考文献:
Papotti M, Volante M, Duregon E, et al. Adrenocortical tumors with myxoid features: a distinct morphologic and phenotypical variant exhibiting malignant behavior. Am J Surg Pathol 2010; 34: 973–83.
← 嗜酸细胞肾上腺皮质腺瘤 嗜铬细胞瘤 →