萎缩肾样病变
“Atrophic Kidney”–like Lesion
同义词(或曾用名): 萎缩肾样肿瘤
概述:
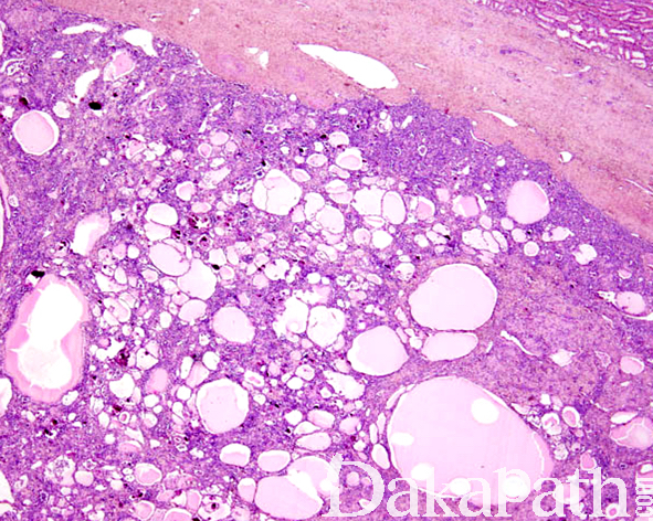
良性肾脏病变具有肾实质萎缩的特征,组织学上表现为大小不等的滤泡样结构被覆萎缩的上皮伴有砂粒体样或蓝染无定形的 2 种类型的钙化,类似于甲状腺滤泡样肾细胞癌。
发病部位: 肾脏
诊断要点:
新近描述的一种良性肾脏病变,发病年纪较轻,中位年龄 28.5 岁,70%发生在 30 岁之前,无男女好发倾向;肿瘤通常单灶发生,直径 1.6-4.9cm(中位大小:3.4cm);
镜下病变界限清楚,绕以厚的平滑肌样包膜,其内可见较多的口径大小不等的肌性血管以及内陷的良性肾小管;
低倍镜下,病变整体上表现为致密排列的大小不等的囊肿或滤泡样结构,类似于甲状腺组织;滤泡样腔隙内充满嗜酸性分泌物伴吸收空泡样改变,被覆上皮呈扁平或萎缩状,亦可见明显的鞋钉样特征;部分滤泡样腔隙内可见漂浮的黏附性较差的病变细胞,与被覆上皮相比较,腔内的这些黏附性差的细胞较大,胞浆较丰富,核圆形为主,细胞之间有时可见致密的 PAS 阳性的嗜酸性物质围绕;
滤泡腔内和腔隙壁内常见多少不等的钙化物质沉积,分为两种类型:第一种类似于砂粒体样钙化,第二种为蓝染无定形的钙化物质;偶尔,某些滤泡壁内可见局灶的小的毛细血管样凸起,类似于萎缩的肾小球,PAS 染色凸起结构内的基底膜物质;罕见的情况下,可见肾小球囊性变的结构特征:Bowman 囊明显的囊性扩增,其内可见残存的不成熟的肾小球凸起,表面被覆扁平的内皮细胞;
囊肿或滤泡之间可见明显萎缩的肾小管、塌陷的肾小球以及胶原化间质,萎缩的肾小管腔隙狭窄、胞浆透明伴有 PAS 阳性的基底膜物质围绕。

免疫组织化学染色:
萎缩的肾小管 PAX8. Cam5.2 和 CK7 阳性,WT1 阴性;滤泡或囊肿被覆上皮以及腔内漂浮的黏附性差的上皮 PAX8 和 CK7 阴性或弱的斑驳状阳性,WT1 弥漫阳性;腔内漂浮的黏附性差的细胞 Cam5.2 阳性(常见呈核旁逗点状染色)。CD31 标记囊肿滤泡壁之间丰富的毛细血管网以及滤泡腔内局灶的小的凸起。
分子标记:
无
鉴别诊断:
甲状腺滤泡样肾细胞癌:无厚的平滑肌性包膜,滤泡之间无萎缩的肾小管和塌陷的肾小球结构,滤泡洋结构被覆上皮更大,胞浆更丰富,核重叠呈栅栏状或线性排列。免疫组化染色被覆瘤细胞通常弥漫表达 PAX8. Cam5.2 以及 CK7,不表达 WT1。
预后:
良性
治疗:
切除
参考文献:
Herlitz L , Hes O , Michal M , et al. “Atrophic Kidney”–like Lesion: Clinicopathologic Series of 8 Cases Supporting a Benign Entity Distinct From Thyroid-like Follicular Carcinoma[J]. The American Journal of Surgical Pathology, 2018, publish ahead of print.