膀胱孤立性纤维性肿瘤

Bladder Solitary Fibrous Tumor

概述:

由纤维母细胞构成的肿瘤,具有恶性潜能,特征性地显示 NAB2-STAT6 融合基因及 STAT6 过表达。

发病部位: 膀胱任何部位及其它任何部位均可发生

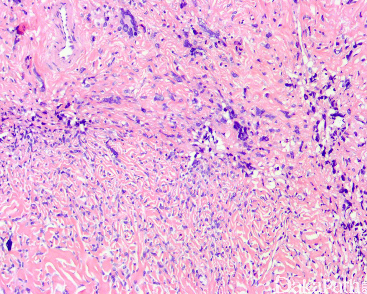
诊断要点:

  1. 患者多为成年,男性明显多于女性,发病年龄 42-67 岁,临床上通常偶然发生或表现为腹痛;
  2. 膀胱内的任何部位均可发生;
  3. 切面灰黄灰褐,实性,旋涡状;
  4. 镜下由交替性分布的细胞丰富区和细胞稀疏区组成;
  5. 瘤细胞多呈无结构弥漫性或旋涡状生长,可见血管外皮瘤样结构(鹿角状血管),血管周硬化;
  6. 瘤细胞呈梭形散在于平行的胶原中分布,大多数异形性轻微;
  7. 部分病例可含有脂肪成分(脂肪瘤样型 SFT)以及散在的多核巨细胞聚集(巨细胞血管纤维瘤);
  8. 少数病例间质可发生明显的黏液样变性、灶状骨化、软骨化生或钙化;
  9. 恶性或非典型性病例:细胞密度增加,核异型性明显,核分裂 ≥4/10HPF,可见坏死,形态上类似纤维肉瘤或恶性纤维组织细胞瘤。

免疫组织化学染色:

CD34. STAT6(特异性好)、Bcl-2 和 CD99 常阳性,灶性或弱阳性表达 actin、 EMA 等,偶尔可表达 PAX8; Desmin、CK、CD31. CD117 等阴性。

分子标记:

NAB2-STAT6 融合基因

鉴别诊断:

免疫组化染色 CD34 和 STAT6 阳性可将孤立性纤维性肿瘤与其他形态学相似的膀胱梭形细胞肿瘤区分开来,包括肉瘤样癌,平滑肌肿瘤,炎性肌纤维母细胞瘤,恶性外周神经鞘膜瘤以及滑膜肉瘤等。

预后:

大多数为良性,少数可为恶性,恶性诊断标准同软组织肿瘤

治疗:

切除

病例报道:

SolitaryFibrous Tumor in a FemaleUrinary Bladder.

参考文献:

Kouba E, et al. J Clin Pathol 2017;70:508–514. doi:10.1136/jclinpath-2016-204088