膀胱神经纤维瘤
Bladder Neurofibroma
概述:
发生于膀胱的良性间叶肿瘤,由 Schwann 细胞、神经束膜细胞和纤维母细胞等混合细胞成分组成。
发病部位: 膀胱
诊断要点:
膀胱是神经纤维瘤病累及尿路生殖器中最常见的部位,发病年龄 3-69 岁,无性别倾向,年轻患者与神经纤维瘤病相关(1 型较 2 型常见)。大体检查肿瘤界限清楚,质软,灰白色;
组织学表现为丛状或弥漫型两种;
丛状型几乎均与神经纤维瘤病有关,特征性表现为胶原性间质中见相互融合的梭形细胞结节;
弥漫型在黏膜固有层弥漫生长,并可扩展到肌层;
瘤细胞梭形-卵圆形,可伴有触觉小体;
部分病例细胞丰富,但细胞异型不明显,核分裂像不多,无坏死,可诊断为细胞性神经纤维瘤。
偶尔可发生恶性转化。

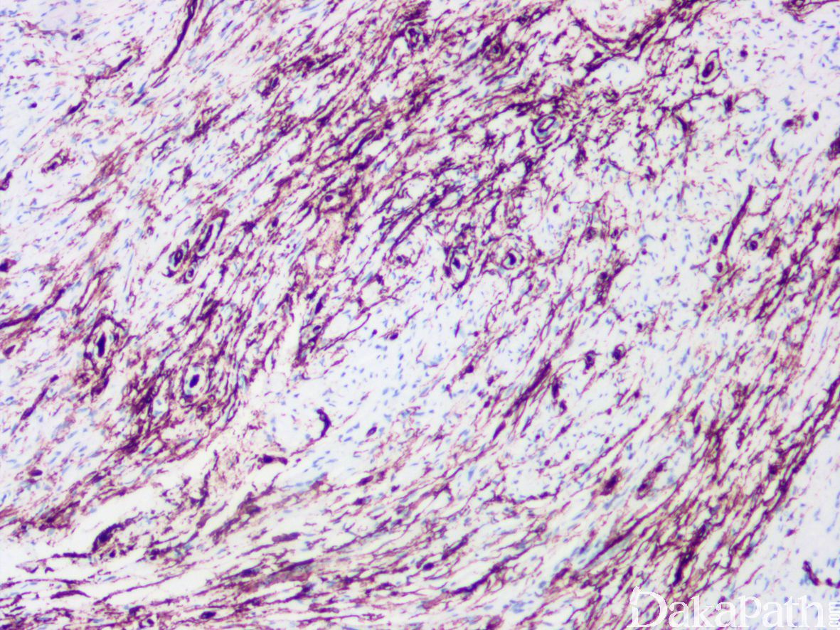
免疫组织化学染色:
波浪状瘤细胞 S-100. SOX10 以及 NF 阳性,纤维母细胞 CD34 阳性。
分子标记:
发生于神经纤维瘤病者可见 NF1 基因突变或杂合性缺失
鉴别诊断:
低级别恶性外周神经鞘瘤 :细胞有异型性,核分裂增多,并可能伴坏死,S100 通常散在阳性。
预后:
良性进程,并发症包括神经源性膀胱,肾衰竭以及膀胱难治性感染。
治疗:
完整切除肿瘤,较大或多发的肿瘤可能需要行部分或全膀胱切除
病例报道: