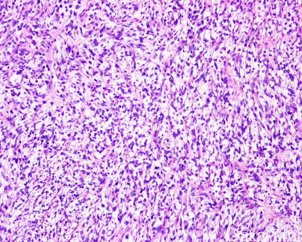
膀胱未分化多形性肉瘤
Bladder Pleomorphic Sarcoma
同义词(或曾用名): 恶性纤维组织细胞瘤(MFH)、未分化高级别多形性肉瘤
概述:
发生于膀胱的一种恶性间叶肿瘤,由形成明显车辐状结构的纤维母细胞和多形性细胞组成。
发病部位: 膀胱
诊断要点:
- 多发生于男性患者,发病年龄多为 50 ~ 80 岁,体积大;
- 组织学与发生其他部位的类似肿瘤相同,可有不同亚型,包括炎症型、黏液型、车辐状-束状和多形性等。

免疫组织化学染色:
CK、P63 和 GATA3 阴性,vimentin、α1-抗糜蛋白酶、CD68 常阳性。
鉴别诊断:
肉瘤样尿路上皮癌:广泛而充分的取材可发现至少是局灶的高级别恶性上皮成分(原位癌或浸润性癌),免疫组化染色至少局灶表达 CK、EMA 或 P63. GATA3 等;
术后梭形细胞结节:可见较多的核分裂象,但缺乏细胞异型性,背景中较多量的急慢性炎细胞浸润,结合泌尿道手术史可资鉴别。
预后:
高度侵袭性,常见复发和转移。
治疗:
手术切除,联合术后放化疗。
病例报道:
Egawa S, Uchida T, Koshiba K, Kagata Y, Iwabuchi K. Malignant fibrous histiocytoma of the bladder with focal rhabdoid tumor differentiation. J Urol 1994;151:154–6. --------
参考文献:
Kunze E, Theuring F, Kruger G. Primary mesenchymal tumors of the urinary bladder. A histological and immunohistochemical study of 30 cases. Pathol Res Pract 1994;190:311–32.