膀胱恶性黑色素瘤
Bladder Malignant Melanoma
概述:
一种原发于膀胱的恶性黑色素细胞肿瘤。
发病部位: 膀胱
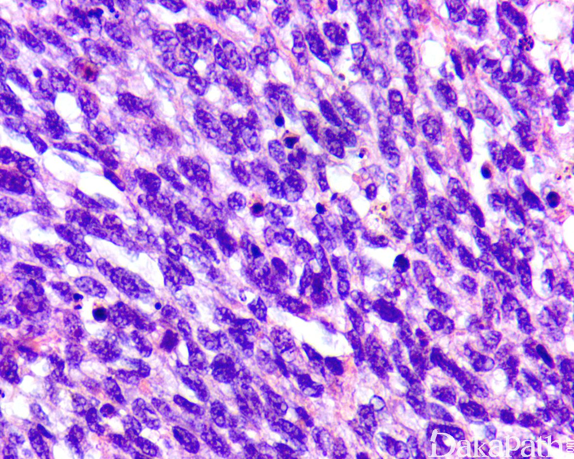
诊断要点:
膀胱恶性黑色素瘤罕见,成人发病,绝大多数肿瘤呈深暗色,肿瘤大小 1 ~ 8cm 不等,镜下通常表现为息肉状外观;
肿瘤表覆尿路或鳞状上皮,常见溃疡形成,上皮下瘤细胞呈弥漫片状、巢状、假乳头状生长,梭形和多角形以及上皮样的瘤细胞伴有多形性的核,核仁通常明显,胞浆内可见多少不等的黑色素颗粒,有时候色素可缺如,间质内常见慢性炎细胞浸润。

免疫组织化学染色:
S-100. HMB45. Melan A、SOX10 等常阳性。GATA3. CK、P63 等阴性。
鉴别诊断:
转移性恶性黑色素瘤:诊断原发性膀胱的恶性黑色素瘤之前需首先除外转移,仔细的结合病史;
高级别尿路上皮癌:某些膀胱黑色素瘤可表现为息肉样的假乳头状生长类似于尿路上皮乳头状癌,后者无色素沉积,免疫组化染色表达 CK、P63 和 GATA3 等;
肉瘤样癌:梭形细胞恶性黑色素瘤可在组织学上误诊为肉瘤样癌,仔细查找如发现尿路上皮原位肿瘤,免疫组化染色表达 GATA3 和 P63 等支持为肉瘤样癌。
治疗:
根治性膀胱切除伴系统性的化疗或免疫治疗。
病例报道:
Truong H, Sundi D, Sopko N, et al. A case report of primary recurrent malignant melanoma of the urinary bladder. Urol Case Rep 2013;1(1):2–4. --------
参考文献:
Venyo AK. Melanoma of the urinary bladder: a review of the literature. Surg Res Pract 2014;2014: 605802. --------
← 膀胱孤立性纤维性肿瘤 膀胱平滑肌肉瘤 →