成年型横纹肌瘤
Adult Rhabdomyoma,ARM
概述:
是一种显示成熟骨骼肌分化的良性间叶性肿瘤。
发病部位: 头颈部
诊断要点:
好发于成年人的头颈部,肿块周界清晰,呈圆形或分叶状;
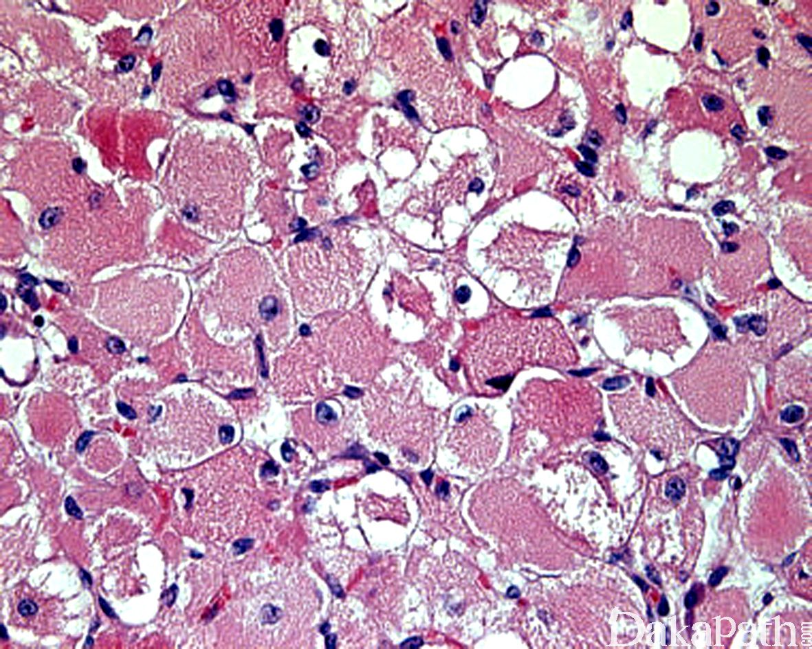
低倍镜下肿瘤呈界限清楚的小叶状结构,小叶内见圆形或多边形细胞紧密排列,间质稀少;
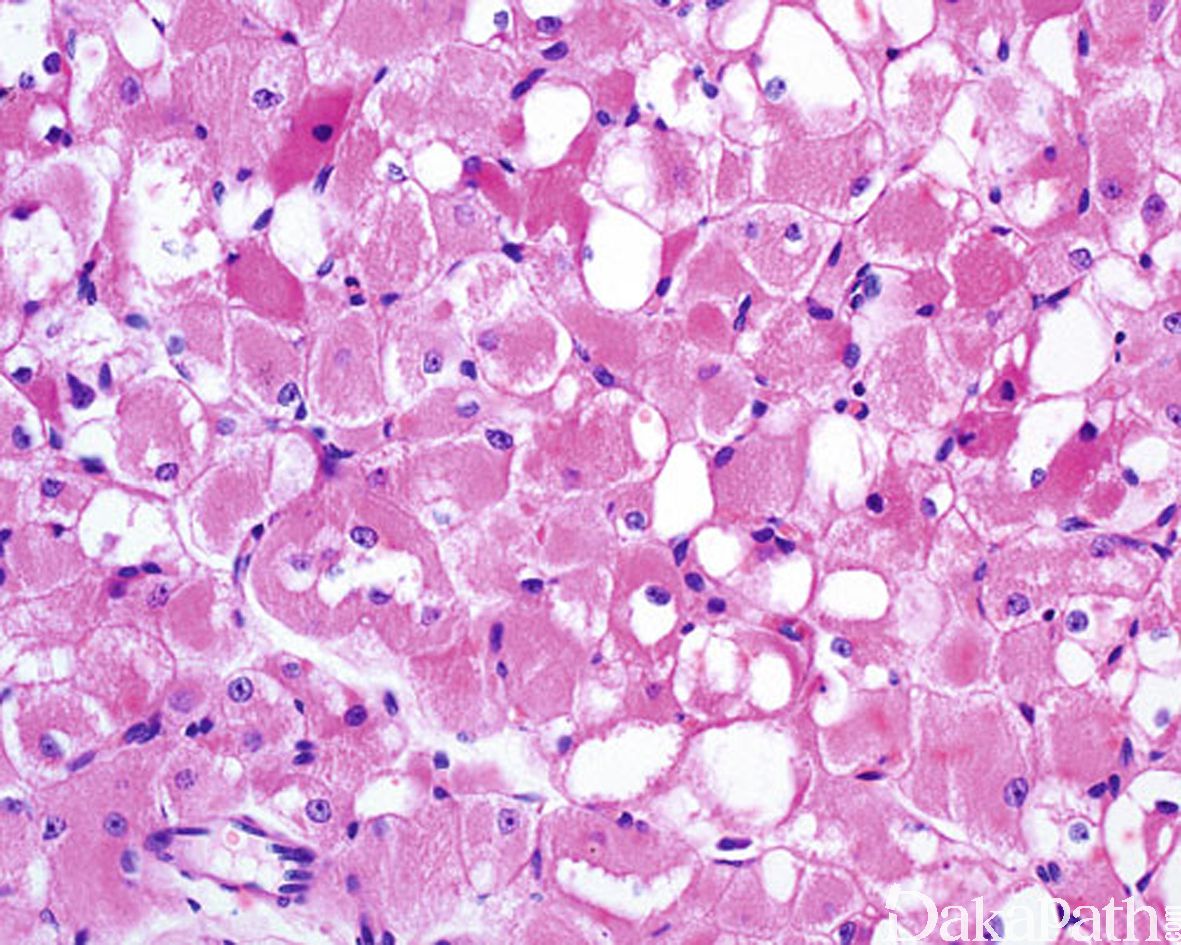
瘤细胞体积大,边界清楚,胞质丰富,嗜伊红色、颗粒状或透亮,有时可见胞浆透亮细胞中央有少量深嗜伊红色的胞质呈细条索状向周边放射伸展,形成所谓的蜘蛛细胞;
部分细胞内可见横纹,或可见棒状或杂草样结晶样物;
瘤细胞的核小、圆形,染色质呈空泡状,可见小核仁,无或罕见核分裂像。

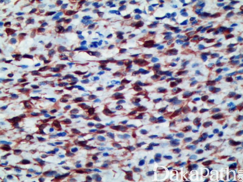
免疫组织化学染色:
desmin、MSA 和 myoglobin 阳性,可灶性表达 α-SMA、S-100,不表达 CD68. CD163. GFAP、CK、EMA。
鉴别诊断:
颗粒细胞瘤:细胞边界不清,胞质内无横纹,S-100 弥漫强阳性。
高分化横纹肌肉瘤 :常可见小圆形、梭形或不规则形的横纹肌母细胞,瘤细胞具有一定的异型性,可见核分裂像,常呈浸润性生长;
黄色肉芽肿:组织细胞增生性病变,可见不同程度的炎细胞浸润,免疫组化染色表达 CD163 和 CD68 以及 CD4 等;
腺泡状软组织肉瘤:瘤细胞呈腺泡状排列,免疫组化染色核表达 TFE3,胞浆表达 MyoD1;
5,上皮样 PEComa:瘤细胞巢状排列,富于血窦,免疫组化染色表达黑色素和平滑肌源性标志物;
6,恶性横纹肌样瘤:瘤细胞异型性明显,核分裂活跃,免疫组化染色不表达横纹肌标志物,特征性的显示 INI-1 表达丢失。
预后:
良性,无转移潜能,切除不尽可复发。
治疗:
完整切除
病例报道:
Bjørndal Sørensen K, Godballe C, Ostergaard B, et al. Adult extracardiac rhabdomyoma: light and immunohistochemical studies of two cases in the parapharyngeal space. Head Neck 2006;28: 275-9. 参考文献:
Kapadia SB, Meis JM, Frisman DM, Ellis GL, Heffner DK, Hyams VJ. Adult rhabdomyoma of the head and neck. Hum
Pathol 1993;24:608–617. Torsten Hansen . Detlef Katenkamp. Rhabdomyoma of the head and neck: morphology and differential diagnosis. Virchows Arch (2005) 447: 849–854