腺泡状横纹肌肉瘤

Alveolar Rhabdomyosarooma,ARMS

概述:

是一种原始小圆细胞恶性肿瘤,组织学上以瘤细胞形成腺泡状结构为特征,并显示有不同程度的骨骼肌分化。

发病部位: 四肢深部软组织,头颈部(包括鼻腔、鼻窦和扁桃体)例,以及躯干(包括脊柱旁)、会阴、盆腔和腹膜后

诊断要点:

  1. 可发生于任何年龄,以青少年为主(10-25 岁),多位于四肢、头颈部及躯干;
  2. 根据组织形态不同可分为 3 个亚型:经典型、实体型、胚胎性一腺泡状混合型;
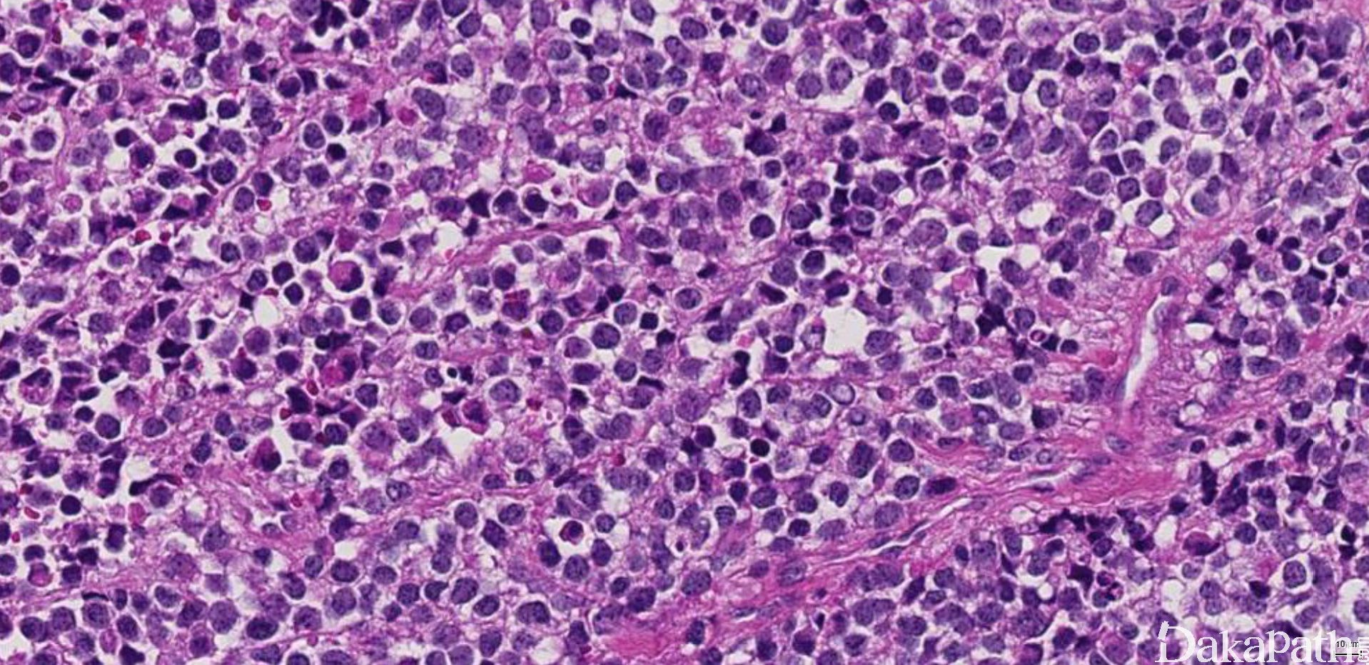
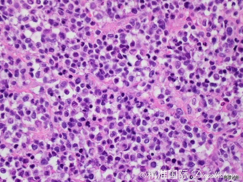
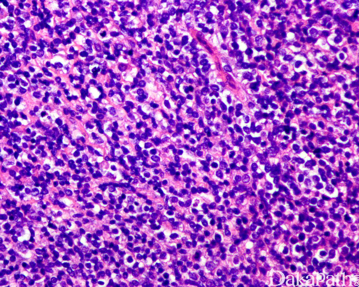
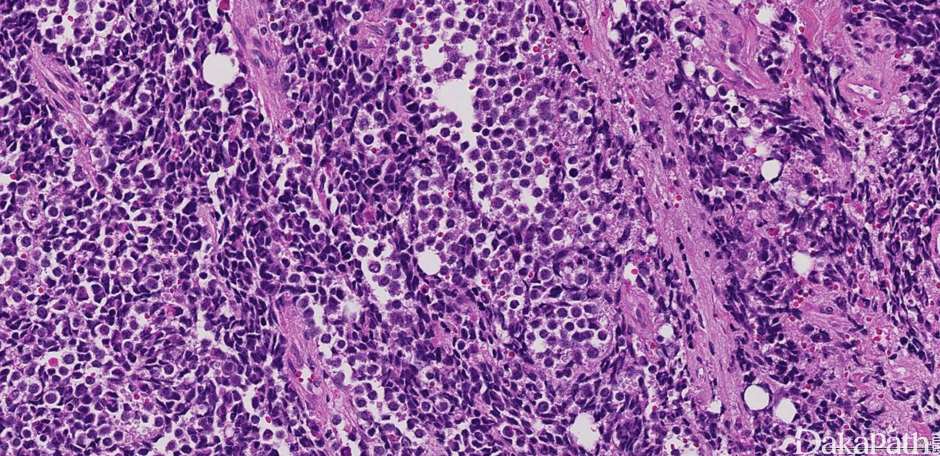
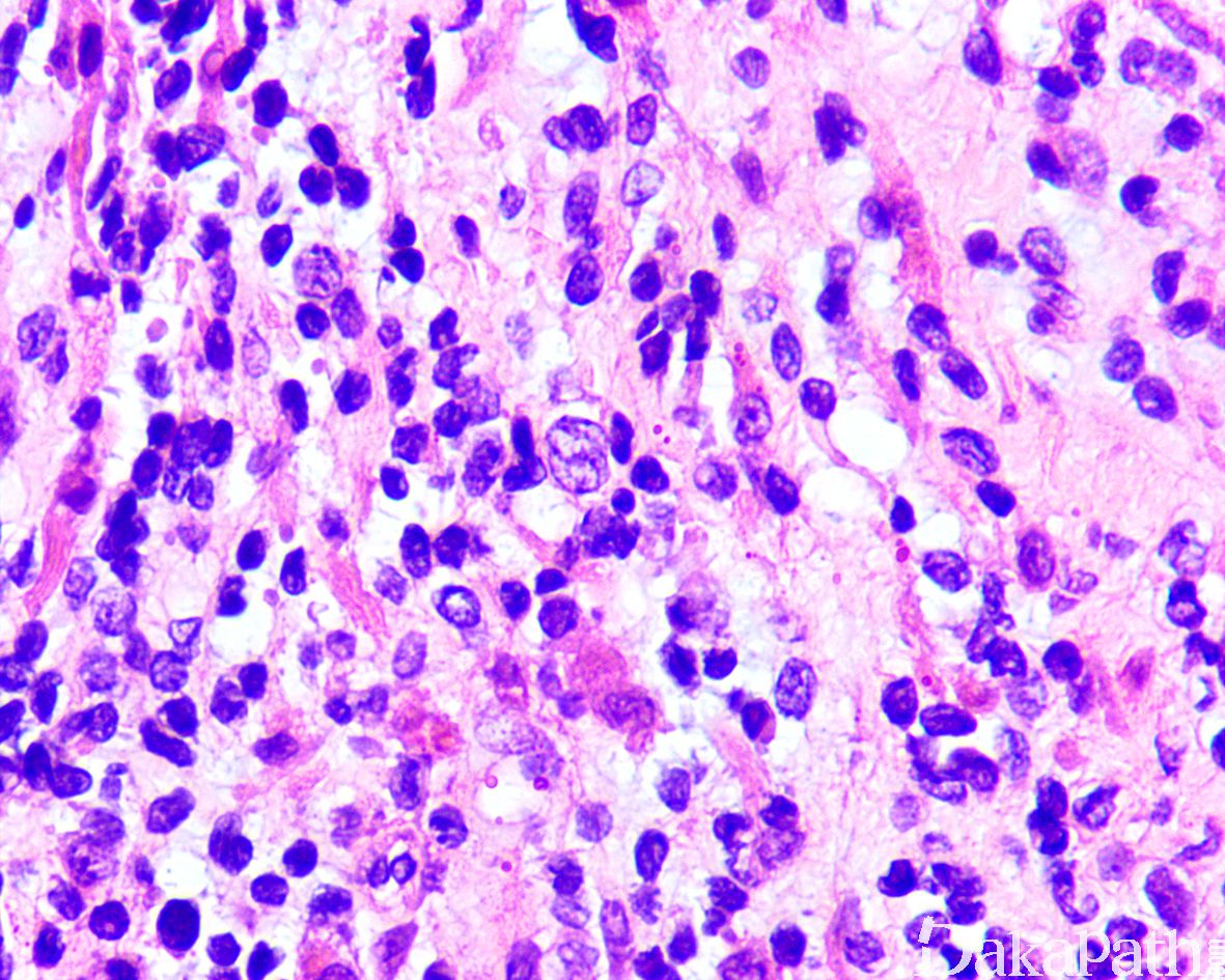
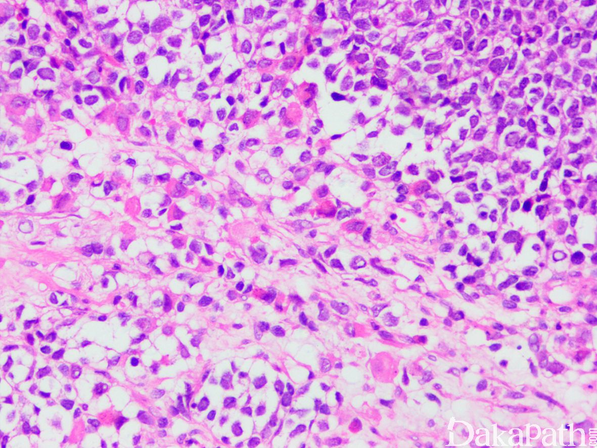
  3. 经典型:
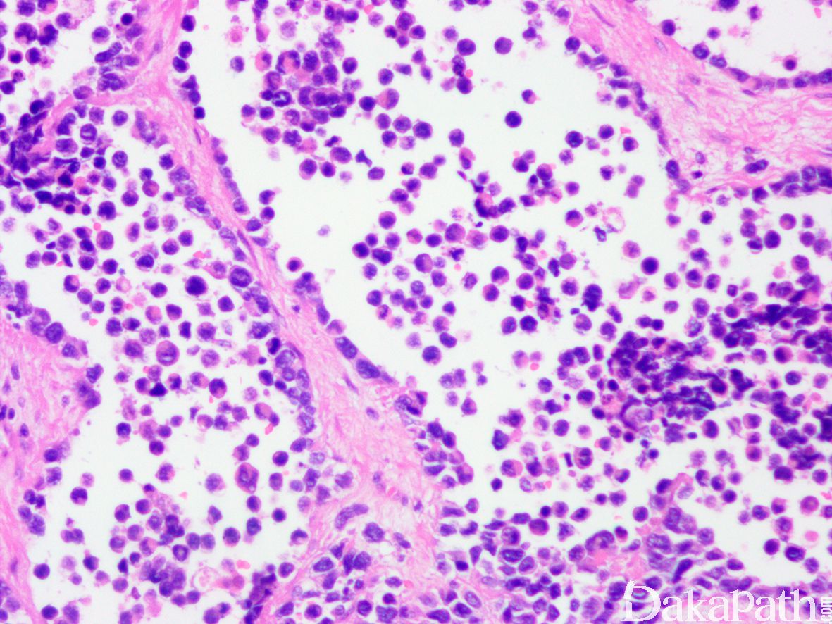
  4. 瘤细胞排列成片状和巢状而贴附于纤维性间隔上,巢中央瘤细胞黏附性差,相互解离,形成特征性的假腺泡状或微囊状结构;
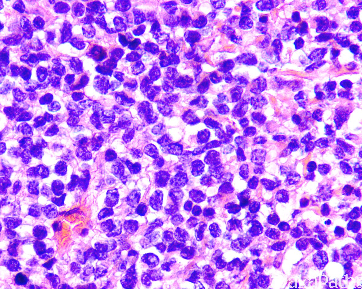
  5. 肿瘤由未分化的原始间叶性细胞及少量早期分化的幼稚横纹肌母细胞组成;
  6. 原始间叶性细胞呈圆形、卵圆形或小多边形,胞质少,核深染,核分裂像易见;
  7. 腺泡中央的横纹肌母细胞多呈圆形或卵圆形,有时可见到胞质内横纹;
  8. 部分病例可见散在的胞质淡染或弱嗜酸性,核位于胞质周边的多核巨细胞;
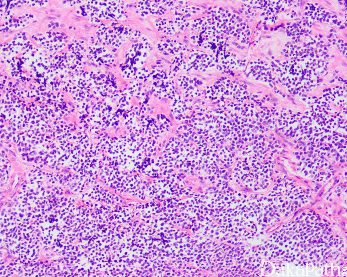
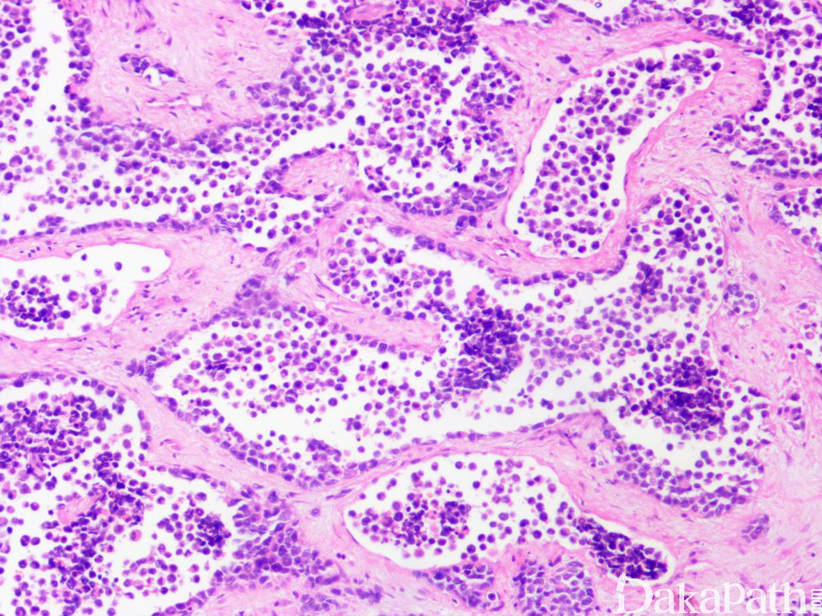
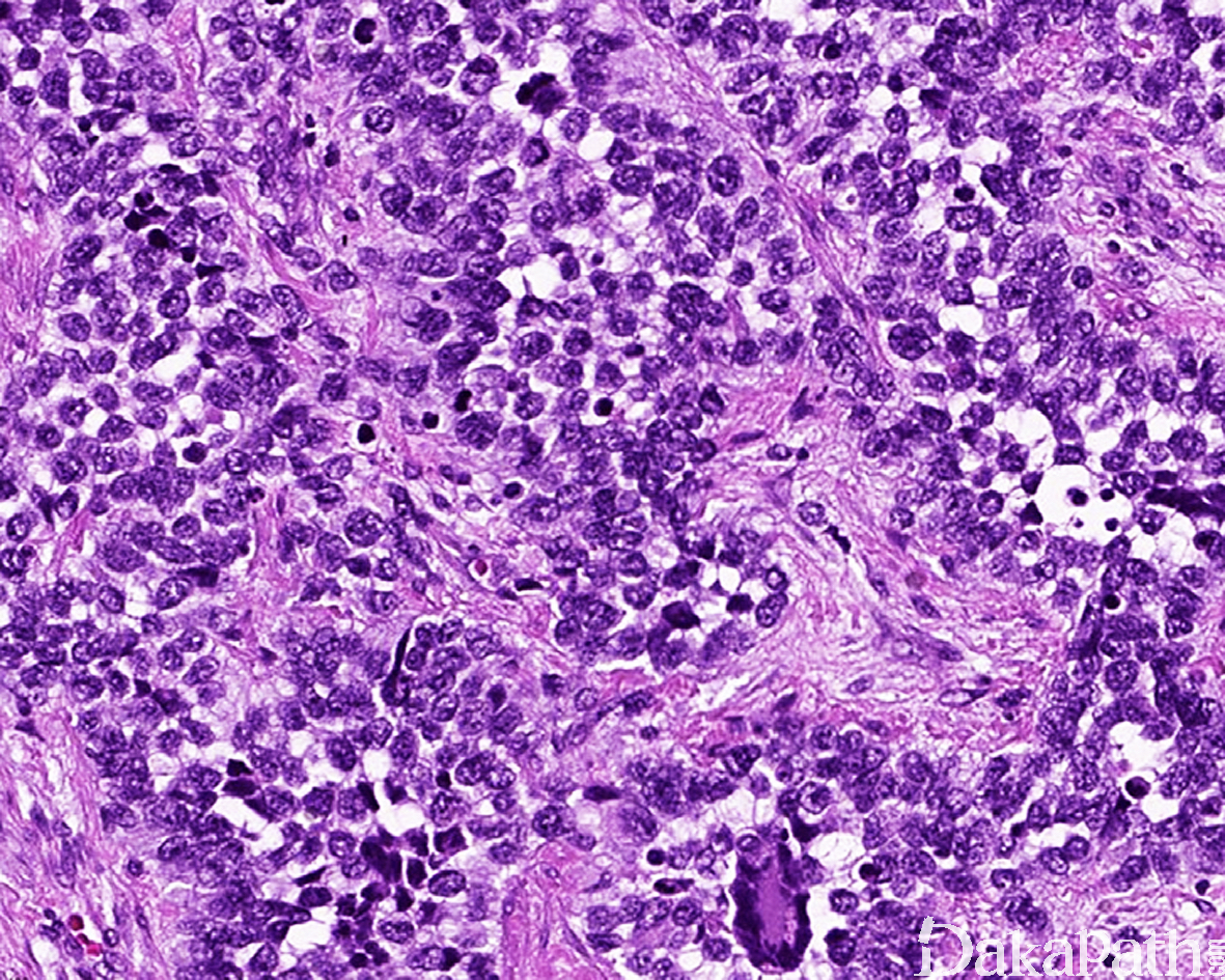
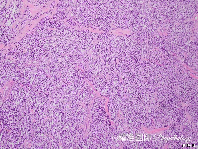
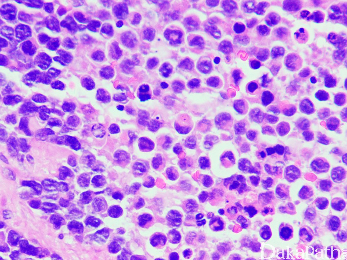
  9. 实体型:
  10. 由实性的瘤细胞巢组成,瘤细胞圆而较一致,具有纤细的空泡状染色质和小的核仁,部分病例瘤细胞胞质丰富而淡染或透明,类似肾透明细胞癌或软组织透明细胞肉瘤,称透明细胞变型;;
  11. 仅偶见或无明显的假腺泡状结构。

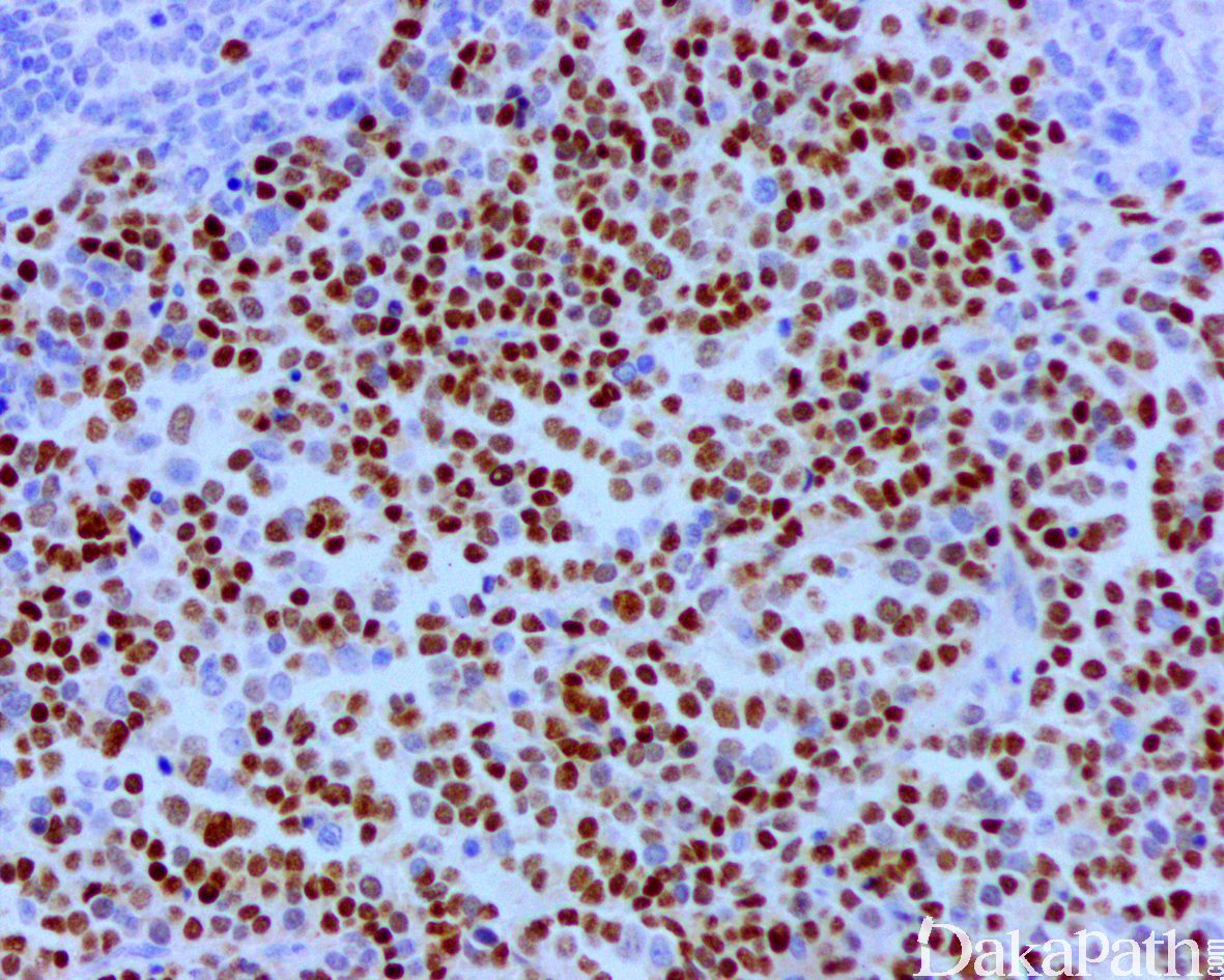
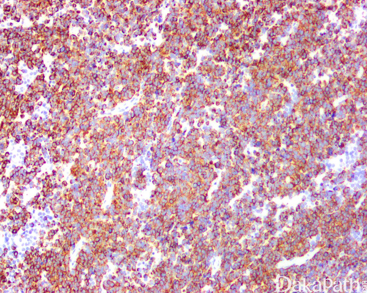
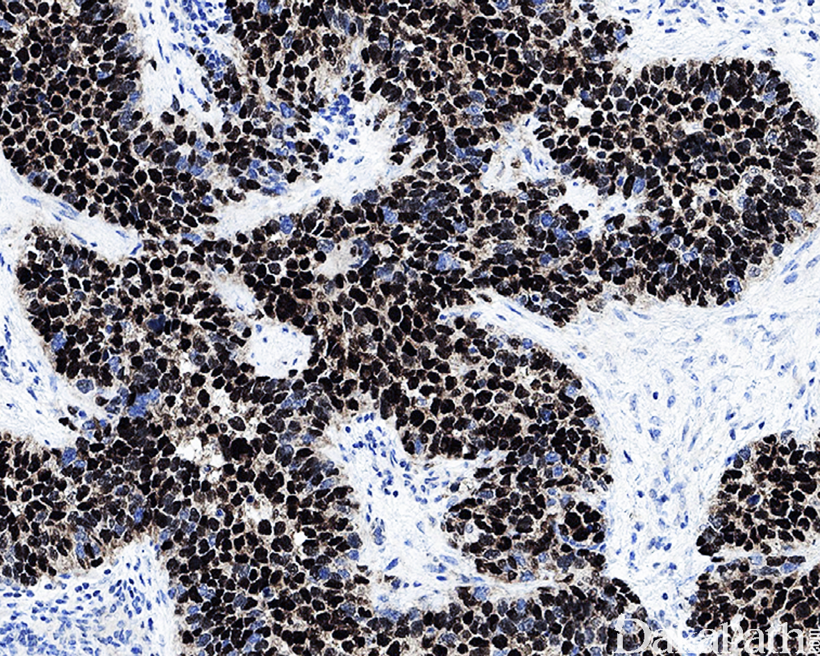
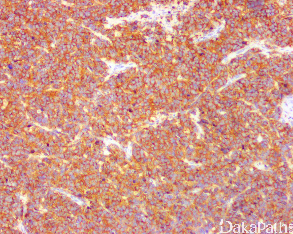
免疫组织化学染色:

desmin、MSA、myogenin 和 MyoD1 常阳性。Myogenin 通常为强而弥漫的阳性。伴有 PAX3/7-FOXO1 基因易位的腺泡状横纹肌肉瘤常表达 OLIG2. 部分病例可表达 CK(尤其是发生于头颈部者)以及神经内分泌标志物(特别是 CD56 和 Syn,通常不表达 CGA)可误诊为神经内分泌癌。

分子标记:

80%存在基因易位,通常为 PAX3 或 PAX7 与 FOXO1A 融合

鉴别诊断:

1. 骨外尤文肉瘤 或**外周原始神经外胚层瘤** :肿瘤内可见菊花团结构;瘤细胞表达 CD99,不表达 desmin 和 myogenin、myo-D1;FISH 检测可见 EWS 基因断裂。

2. 透明细胞癌 瘤细胞表达 AE1/AE3 和 EMA,不表达 desmin、myogenin、myo-D1。

3. 透明细胞肉** **瘤:HMB45 和 S-100 常阳性,而 desmin、myogenin、myo-D1 为阴性。具有特殊 EWS-ATF-1

4. 淋巴瘤: CD45 阳性,desmin、myogenin、myo-D1 为阴性,并表达 1 中或多种 T 或 B 细胞分化抗原;

  1. 小细胞神经内分泌癌:与实体型腺泡状肉瘤一样均可表达 CK 和神经内分泌标志物,但小细胞癌发病年龄大,无横纹肌母细胞特征,表达 CGA 而不表达 MYOD1 和 MYOGENIN 可资鉴别;

  2. 致密胚胎性横纹肌肉瘤:主要需要与实体性腺泡状横纹肌肉瘤鉴别,致密胚胎性横纹肌肉瘤的瘤细胞多成角,染色质粗糙,免疫组化染色 myogenin 通常为散在阳性,遗传学上无 PAX7/3 和 FOXO1A 基因融合。

预后:

预后差,常见肺和淋巴结转移;弥漫表达 Myogenin 者较局灶表达着预后更差,实体型较经典型预后差,

治疗:

手术切除伴术后辅助放化疗

参考文献:

  1. Heerema-McKenney A, Wijnaendts LC, Pulliam JF, et al. Diffuse myogenin expression by immunohistochemistry is an independent marker of poor survival in pediatric rhabdomyosarcoma: a tissue microarray study of 71 primary tumors including correlation with molecular phenotype. Am J Surg Pathol. 2008;32:1513–1522.
  2. Bahrami A, Gown AM, Baird GS, et al. Aberrant expression of epithelial and neuroendocrine markers in alveolar rhabdomyosarcoma: a potentially serious diagnostic pitfall. Mod Pathol. 2008;21:795–806.
  3. Nishio J, Althof PA, Bailey JM, et al. Use of a novel FISH assay on paraffin-embedded tissues as an adjunct to diagnosis of alveolar rhabdomyosarcoma. Lab Invest. 2006;86:547–556.
  4. Sorensen PH, Lynch JC, Qualman SJ, et al. PAX3/FKHR and PAX7/FKHR gene fusions are prognostic indicators in alveolar rhabdomyosarcoma: a report from the Children’s Oncology Group. J Clin Oncol. 2002;20:2672–2679.
  5. Thompson LDR, Jo VY, Agaimy A, et al. Sinonasal tract alveolar rhabdomyosarcoma in adults: a clinicopathologic and immunophenotypic study of fifty-two cases with emphasis on epithelial immunoreactivity. Head Neck Pathol 2018;12(2):181–92. Hum Pathol. 2019 Sep;91:77-85. doi: 10.1016/j.humpath.2019.07.003. Epub 2019 Jul 9. OLIG2 is a marker of the fusion protein-driven neurodevelopmental transcriptional signature in alveolar rhabdomyosarcoma.

Raghavan SS1, Mooney KL1, Folpe AL2, Charville GW3