树突状纤维黏液脂肪瘤
Dendritic Fibromyxolipoma
发病部位: 头颈部、背部、肩胛部、四肢
诊断要点:
患者多为成年人(平均年龄 64 岁),男性多见,多发生于头颈部、背部和肩胛部;肿瘤位于皮下,周界清楚,可有包膜;
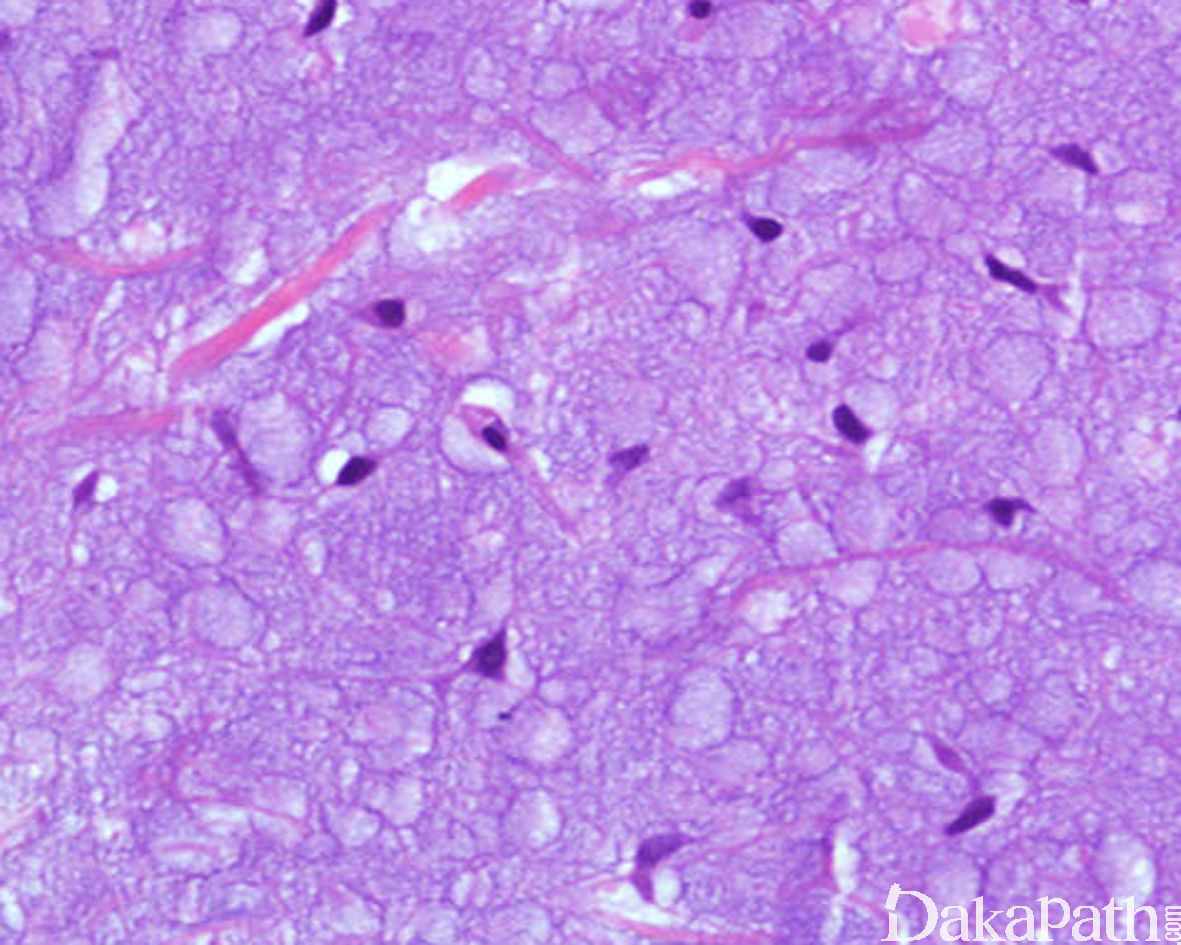
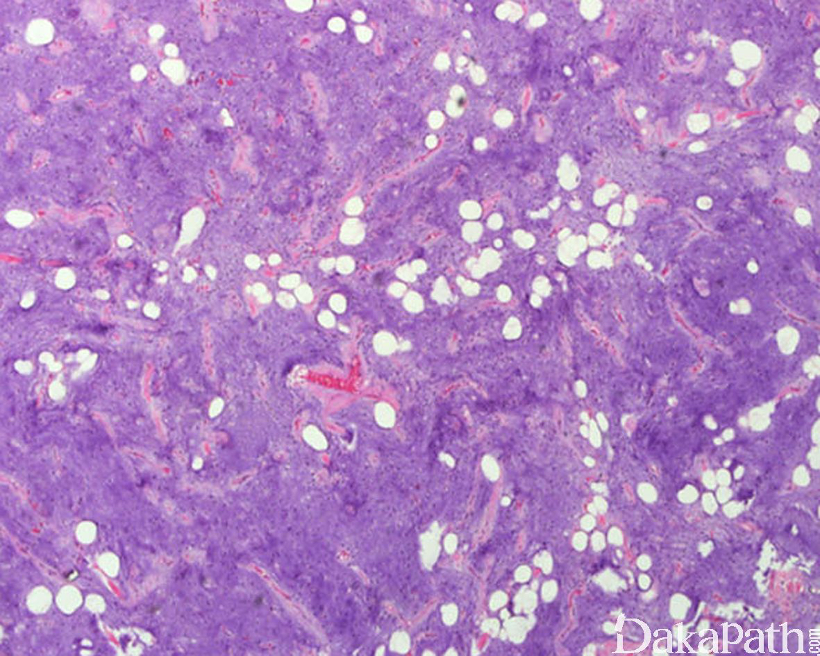
镜下由稀疏的短梭形或星状细胞混杂多少不等的成熟脂肪细胞组成;
梭形细胞或星状细胞无异型性,也不见核分裂像,无不成熟的脂肪母细胞;
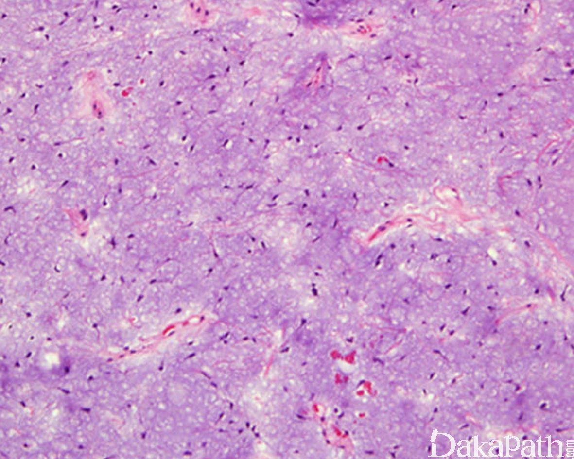
间质呈广泛的黏液样或伴有局灶的绳索样胶原;
黏液样区内的梭形细胞或星芒状细胞核小而深染,胞质细长呈树突状;
纤维化区内梭形细胞核小,卵圆形,细胞之间为绳索样的胶原纤维,类似孤立性纤维性肿瘤;
可见丰富的小至中等大的血管及毛细血管,部分区域内可呈丛状,类似黏液性脂肪肉瘤;可见较多的肥大细胞浸润;
黏液样基质奥新蓝染色阳性,透明质酸酶消化后阴性,黏液卡红阴性。

免疫组织化学染色:
vimentin 和 CD34. bcl2 可清晰显示树突状的细胞突起,不表达 S100 蛋白和 STAT6。
分子标记:
可见 13q14.3 丢失
鉴别诊断:
梭形细胞脂肪瘤:树突状纤维黏液性脂肪瘤可能是一种广泛黏液变性的梭形细胞脂肪瘤亚型;与梭形细胞脂肪瘤的区别在于,树突状纤维黏液性肿瘤存在明显的树突状胞浆突起、绳索样的胶原纤维以及局灶的丛状毛细血管。
孤立性纤维性肿瘤:STAT6 阳性。
黏液性脂肪肉瘤:可见诊断型单泡或多泡状脂肪母细胞,而树突状纤维黏液样脂肪瘤内不见诊断性脂肪母细胞,瘤细胞 S100 阳性,CD34 阴性。
预后:
良性肿瘤,局部切除后多可获得治愈
治疗:
手术切除
病例报道:
Zhang XJ, Zhou S, Nie K, Chen DF, Kui GJ, Zhang XH. Dendritic fibromyxolipoma in the right inguinal and perineum regions: A case report and review of the literature. Diagn Pathol 2013; 8: 157 (7 pages) doi:10.1186/1746-1596-8-157. 参考文献:
Suster S, Fisher C, Moran CA. Dendritic fibromyxolipoma: Clinicopathologic study of a distinctive benign soft tissue lesion that may be mistaken for a sarcoma. Ann Diagn Pathol 1998; 2: 111–20.
← 肌间脂肪瘤 上皮样多形性脂肪肉瘤 →