淋巴细胞消减型经典型霍奇金淋巴瘤
Lymphocyte-Depleted Classical Hodgkin Lymphoma, LDCHL
概述:
霍奇金淋巴瘤(Hodgkin lymphoma, HL)是一种来源于单克隆 B 细胞的肿瘤,分为结节性淋巴细胞为主型霍奇金淋巴瘤(nodular lymphocyte predominant Hodgkin lymphoma, NLPHL)和经典型霍奇金淋巴瘤(classical Hodgkin lymphoma, CHL)。后者又分为四种组织学亚型:结节硬化型经典霍奇金淋巴瘤(NSCHL)、淋巴细胞丰富型经典霍奇金淋巴瘤(LRCHL)、混合细胞型经典霍奇金淋巴瘤(MCCHL)、淋巴细胞消减型经典霍奇金淋巴瘤(LDCHL)。 CHL 的组织学共同特征是少量的 Hodgkin 细胞(单核)或 Reed-Sternberg 细胞(多核)散在分布于大量的反应性背景细胞中,它们包括淋巴细胞、嗜酸细胞、粒细胞、浆细胞和组织细胞及不等量胶原纤维。 LDCHL 亚型表现为弥漫生长模式,含丰富的 HRS 细胞和/或相对少量的非肿瘤性淋巴瘤系细胞,但常有大量组织细胞。此亚型最少见(<2%), 如 EBV 关系较密切 。
诊断要点:
最少见的亚型(<2%),发病年龄为 30-71 岁,多见于 HIV+ 患者。常见部位为腹膜后淋巴结、腹腔脏器及骨髓,表现为侵袭性。
弥漫生长模式,表性为相对丰富的 HRS 细胞和较少的非肿瘤性淋巴细胞。粒细胞、嗜酸细胞、浆细胞希疏或罕见。
根据肿瘤细胞形态和分布及背景成分,可分为两种生长模式:弥漫纤维化型(含丰富纤维母细胞和纤维间质,但不形成胶原纤维束,含大量组织细胞和一些小淋巴细胞毒,但很少噬酸细胞和浆细胞);肿瘤细胞丰富型(大量间变样、多形性 HRS 细胞,有时类似肉瘤)。
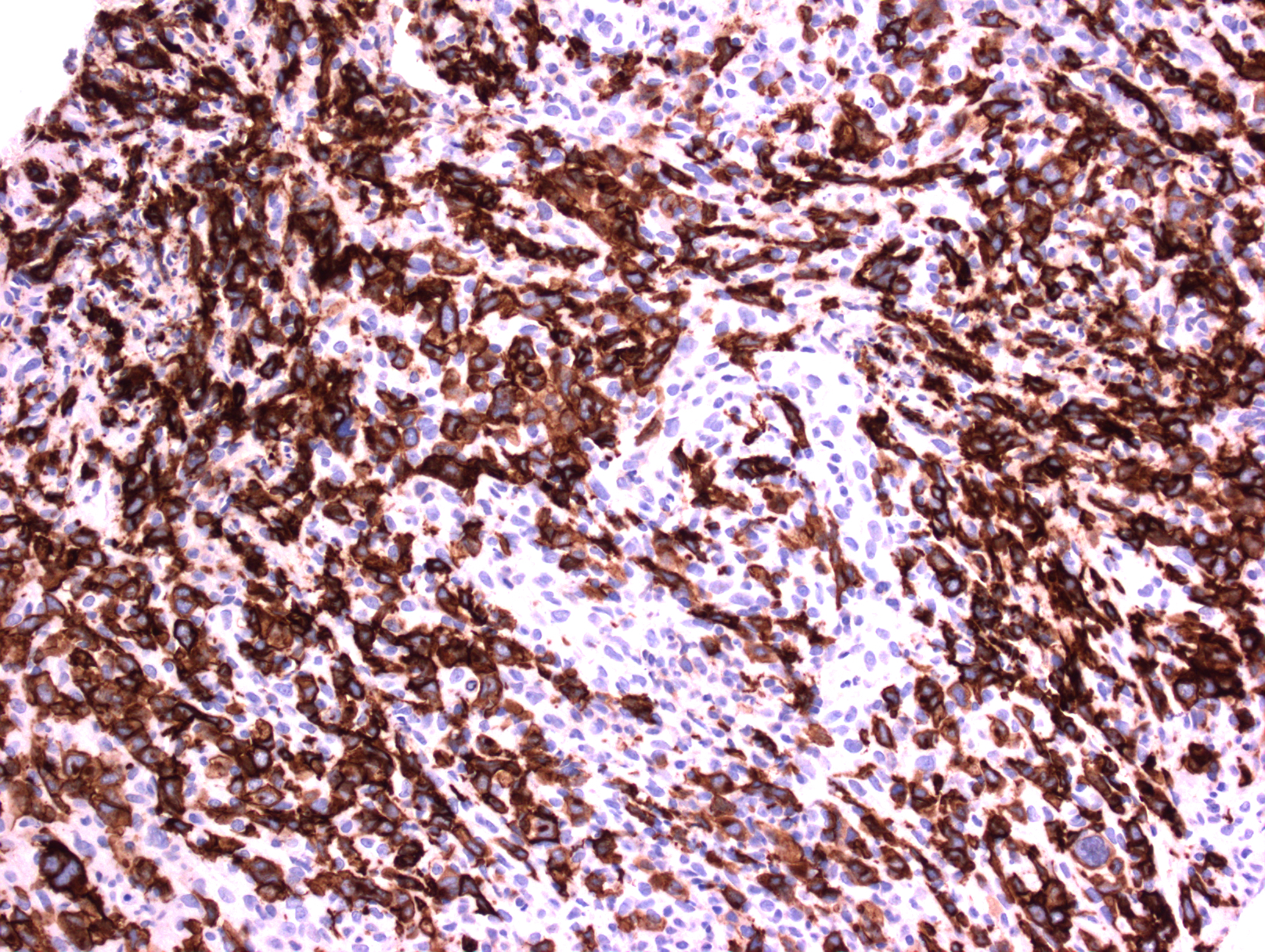
免疫组化:肿瘤细胞 CD30+(>95%),CD15+ (70-80%),PAX5+(弱),MUM-1+,CD20-/+, OCT2-/+,BOB1-,EBER+/-,CD79a- ,CD45-,EMA-,ALK-。

免疫组织化学染色:
肿瘤细胞 CD30+(>95%),CD15+ (70-80%),PAX5+(弱),MUM-1+,CD20-/+,OCT2-/+,BOB1-,EBER+/-,CD79a-,CD45-,EMA-,ALK-。
鉴别诊断:
- 间变性大细胞淋巴瘤 (ALCL):大型肿瘤细胞弥漫增生,可发现“标志性细胞”(偏心马蹄形或肾形核)。CD30 均匀强阳性(胞膜和 Golgi 区染色),CD15 阴性,T 细胞相关抗原阳性(如 CD4),EMA 和细胞毒标记常阳性, ALK+/-。
- 结节硬化型经典霍奇金淋巴瘤 (NSCHL):肿瘤呈现纤维化结节生长模式,由致密宽厚胶原带分割肿瘤实质而成。散在典型的 HRS 细胞(少数病例融合成合胞体)和大量的炎性背景细胞。
- 混合细胞型经典霍奇金淋巴瘤(MCCHL) :常为弥漫生长模式,但背景细胞含丰富的混合炎性细胞如粒细胞和浆细胞,散在分布少量典型 HRS 细胞。
- 软组织肉瘤 :瘤细胞多呈梭形,表达肉瘤相关抗原,不表达霍奇金淋巴瘤相关抗原(CD30. CD15. PAX5. EBER)。