结节性淋巴细胞为主型霍奇金淋巴瘤
Nodular Lymphocyte Predominant Hodgkin Lymphoma, NLPHL
概述:
NLPHL 是 B 细胞肿瘤,表现为结节状或结节和弥漫状增殖性疾病,由大量反应性小淋巴细胞及一些组织细胞和散在肿瘤细胞组成。肿瘤细胞体积大、核分叶,称之为爆米花细胞或淋巴细胞为主型(LP)细胞,其几乎总是环绕以 PD1+或 CD279+的 T 细胞。
诊断要点:
主要见于 30-50 岁,男性较多。表现为局部淋巴结肿大,常见部位有颈、腋或腹股沟区,甚至肠系膜淋巴结,但累及胸腔罕见。进展期/晚期可以侵犯脾、骨髓。罕见报道累及骨骼。
正常淋巴结结构完全或部分消失,代之以结节状或结节与弥漫并存或以弥漫为主的增生模式。扩张的结节较淋巴滤泡大,由小淋巴细胞和少数组织细胞构成,大的肿瘤细胞散在分布其中。有时看见残存反应性滤泡或反应性淋巴组织结构。有 6 种生长模式:A、B、C、D、E、F (见下)。
肿瘤细胞核大,泡状,含多个小核仁,有的分叶,形似爆米花 (“爆米花”细胞或 LP 细胞)。也有不分叶的单个核,偶尔多核或类似 HRS 核。胞浆少。
背景细胞中除少量组织细胞及浆细胞外(一般位于结节边缘),没有或极少见嗜酸细胞和粒细胞(如偶尔存在,也位于结节边缘)。
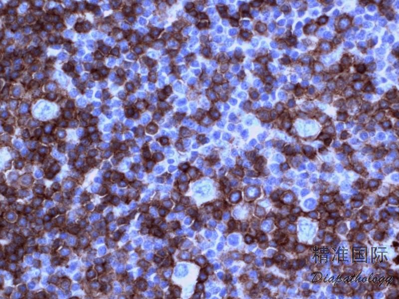
免疫表型:LP 细胞 CD20+、CD79a+、PAX5+、OCT2+、BOB1+、Bcl-6+、CD45+,EMA 和 MUM1 部分病例阳性,IgD 少量病例阳性(多为年轻患者),CD30 和 CD15 阴性 (偶尔 CD30 部分或弱阳性),EBER-(极少数病例阳性)。背景细胞为大量反应性 B 细胞和 T 细胞。前者泛 B 细胞抗原阳性,后者 CD3 等泛 T 细胞抗原阳性(CD4>CD8),部分 T 细胞 Bcl-6+、PD1+、CD57+。T 细胞常环绕肿瘤细胞。CD21 标示出滤泡树突状细胞网状结构(FDC),见于生长模式 A、B、C,其中主要含反应性小 B 细胞和数量不等的 T 细胞(T 滤泡辅助细胞 ,TFH),这些 T 细胞通常表达 PD1/CD279 和/或 CD57。PD+T 细胞环绕 LP 细胞是一重要有助诊断的特征,见于所有 NLPHL 病例,尤其是结节或结节和弥漫生长模式(弥漫区域较少但也不同程度存在)。
约 3-5%病例转化进展为 DLBCL,甚至可以有 THRLBCL 样转化。NLPHL 很少侵犯骨髓,如骨髓有弥漫侵犯(大量背景细胞混合散在肿瘤细胞),则提示 THRLBCL 或 NLPHL 发生 THRLBCL 样转化。
NLPHL 的形态学亚型:(A)经典结节型 - 最常见,结节富含小 B 淋巴细胞;(B) 匐行性结节型 – 不规则结节相连融合;(C) 结节伴大量结节外散在 LP 细胞型;(D) 结节伴丰富 T 细胞背景型;(E) TCRLBCL 样;(F) 弥漫富含 B 细胞型 – 背景细胞主要是 B 细胞,弥漫结构,但 FDC 存在。

免疫组织化学染色:
LP 细胞 – CD20+,CD79a+,PAX5+,OCT2+,BOB1+,Bcl-6+,CD45+;EMA 和 MUM1 部分病例阳性,IgD 少量病例阳性(多为年轻患者);CD30 和 CD15 阴性 (偶尔 CD30 部分或弱阳性);EBER-。背景为大量反应性 B 细胞和 T 细胞。前者泛 B 细胞抗原阳性;后者 CD3 等泛 T 细胞抗原阳性(CD4>CD8),部分细胞 Bcl-6+、PD1+、CD57+。T 细胞常环
鉴别诊断:
- 淋巴细胞丰富型经典霍奇金淋巴瘤 (TRCHL):常为结节状类似 NLPHL,但结节主要由套区构成,并不时见到生发中心。典型的 HRS 细胞胞散在套区结节中,免疫表型符合 CHL(CD30+,CD15+,PAX5+,CD20-/+,EBER+/-)。
- T 细胞/组织细胞丰富型大 B 细胞淋巴瘤 (THRLBCL):主要是与“弥漫型”NLPHL 和 THRLBCL 样 NLPHL 鉴别,常具挑战性。真正的“弥漫型”NLPHL 是否存在,尚有待进一步研究。一般认为,只要存在一个结节,就可以除外原发的 THRLBCL。原发 THRLBCL,多见于老年患者,常为晚期,多处淋巴结肿大并伴 B 症状。淋巴结正常结构完全破坏,弥漫生长方式。大型肿瘤细胞散在分布,其形态为中心母细胞样或免疫母细胞样,有时也见 LP 样或 HRS 样细胞。背景细胞为大量小淋巴细胞和组织细胞。肿瘤细胞泛 B 抗原阳性,LCA+,CD30-/+,Bcl-6+/-。 背景反应性小淋巴细胞为 T 细胞,泛 T 抗原阳性(CD8+细胞增高),不形成围绕肿瘤细胞的花环(如有围绕肿瘤细胞的 PD1+/CD4+/CD8+/CD57+T 细胞存在,则要考虑 NLPHL)。需注意的是,NLPHL 可以有 THRLBCL 样转化,此时与原发性 THRLBCL 不能区分。
- 生发中心进行性转化 (PTGC):正常淋巴结结构存在伴反应性滤泡增生,转型的生发中心显著扩大,进入大量套细胞。可见散在免疫母细胞,但无 LP 细胞。需注意的是,有时 NLPHL 可与 PTGC 同时存在。
- 套细胞淋巴瘤 (MCL):可呈现结节生长模式,结节由小细胞构成,但其为肿瘤细胞,表达 CD20. CD5. cyclin D1。无 LP 细胞。
- 滤泡性淋巴瘤 (FL):大量不典型滤泡增生,大小相对一致,“背靠背”生长,由中心细胞和中心母细胞混合构成,表达 CD20. CD10. Bcl-6. Bcl-2。
预后:
早期结节型或结节伴弥漫型生长模式预后良好,总体 10 年生存率>80%。生长模式