睾丸支持细胞瘤,非特指型
Testicular Sertoli Cell Turnour,NOS
同义词(或曾用名): 支持细胞瘤、恶性支持细胞瘤、硬化性间质细胞瘤
概述:
一种性索间质细胞肿瘤,通常表现为局灶管状分化,极少呈弥漫性生长。
发病部位: 睾丸
诊断要点:
少见,占睾丸肿瘤 1%以下,发病年龄广泛,主要见于成人,占所有睾丸肿瘤的比例不足 1%,临床表现为缓慢生长的无痛性肿块;
大体检查,大多数肿瘤边界清楚,球形或分叶状,大多数肿瘤直径 2-5cm,切面灰褐、灰黄或灰白色,局灶有出血,坏死不常见;
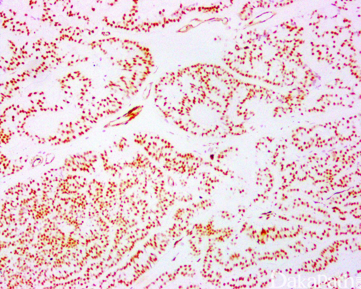
低倍镜下观察,多数病例见管状结构呈结节状分布,间质稀少,少数病例间质丰富;
肿瘤细胞排列成小管,这些管状结构可以呈实性或中央有孔,也可见网状和小管-腺腔结构、索状、束状及单个细胞分布,弥漫性分布少见;小管周围包绕基底膜;
肿瘤细胞胞质中等量,淡染或嗜酸性,偶尔富含脂质或见脂质空泡;细胞核圆形、椭圆或长形,核仁不突出,核沟和核内包涵体不常见;
少数病例可见梭形肿瘤细胞成分,与上皮样细胞混合存在,可诊断为支持-间质细胞肿瘤;
大多数病例细胞异型轻微或无异型,核分裂像不常见;仅约 5%病例可见细胞异型和/或核分裂活跃;
少数病例可见明显淋巴细胞浸润,不要与精原细胞瘤混淆。
组织学亚型: 硬化性间质细胞瘤:所有间质均硬化(玻璃样变),小管结构消失,间质成分不少于肿瘤的 50%,细胞在致密硬化间质中排列成束状、索状。

免疫组织化学染色:
calretinin、SF1. CD99. melan A、WT-1. CD10. vimentin、S100 通常阳性,50%病例 inhibin 阳性,多数病例 CgA、Syn、AE1/AE3. 核 β-catenin、核 SOX9 阳性。PLAP、Podoplanin (D2-40)、OCT3/OCT4. SALL4. α-fetoprotein、CD30 (BerH2)及 HCG 均阴性。
分子标记:
CTNNB1 基因突变
鉴别诊断:
间质细胞瘤(LCT):具有弥漫实性片状结构和丰富脂质空泡状胞质的 SCT 可与 LCT 混淆,然而与 SCT 不同,LCT 切面以灰黄色为主,镜下罕见中空或实性小管形成,约 40%可见特征性的胞质内杆状 Reinke 结晶;免疫组织化学染色无 β-catenin 异常核浆表达,较少表达 CKpan 而常见弥漫强表达抑制素。
精原细胞瘤:有时可见明显的管状排列,易与 SCT 混淆,而 SCT 伴有弥漫的空泡状胞质和较多的淋巴样间质浸润可与精原细胞瘤混淆。与 SCT 不同,精原细胞瘤核更大,核仁通常多个,背景中可见肉芽肿反应,周围睾丸实质内找到 GCNIS 证据支持精原细胞瘤。免疫组织化学染色 SCT 与精原细胞瘤均可弥漫膜表达 CD10 进一步造成鉴别诊断混淆,此时需要 SALL4 和 OCT3/4 等生殖细胞肿瘤标志物可助于区分。
睾丸类癌:SCT 伴有明显的小巢状、梁状和缎带状结构以及免疫组织化学染色表达上皮和神经内分泌标志物时可明显与类癌混淆。然而与 SCT 硬化性间质不同,睾丸类癌为丰富的血窦样间质。免疫组织化学染色睾丸类癌不表达 SF-1. calretinin 和抑制素等性索间质肿瘤标志物。
腺瘤样瘤:组织学上可表现为管状、条索状以及单个细胞样且胞质内常见空泡,因而易与 SCT 混淆,此外两者免疫组织化学染色均弥漫表达 CKpan、calretinin 和 WT1 可进一步造成鉴别诊断困难。与 SCT,NOS 不同,腺瘤样瘤主要发生于睾丸白膜和附睾,管状结构内常见为嗜碱性分泌物,空泡状胞浆更明显而弥漫,免疫组织化学染色表达更多的间皮标志物包括 D2-40. CK5/6 以及 HBME-1 等。
预后:
大多数支持细胞瘤为良性。
治疗:
睾丸切除
病例报道:
CaseReport of a Man WithSertoli CellOnly, TransverseTesticularEctopia, and External Auditory Canal Atresia.
参考文献:
Perrone F, Bertolotti A, Montemurro G, et al. Frequent mutation and nuclear localization of β-catenin in sertoli cell tumors of the testis [J]. Am J Surg Pathol, 2014, 38(1): 66-71. doi: 10.1097/PAS.0b013e31829cdbc6. Ulbright TM, Young RH. Tumors of the testis and adjacent structures, AFIP atlas of tumor pathology series 4[M]. Maryland: American Registry of Pathology, 2013. Young RH, Koelliker DD, Scully RE. Sertoli cell tumors of the testis, not otherwise specified: a clinicopathologic analysis of 60 cases [J]. Am J Surg Pathol, 1998, 22(6): 709-721. Kao CS, Kum JB, Idrees MT, et al. Sclerosing Sertoli cell tumor of the testis: a clinicopathologic study of 20 cases[J]. Am J Surg Pathol, 2014, 38(4): 510-517. doi: 10.1097/PAS.0000000000000132. Zhang C, Ulbright TM. Nuclear localization of beta-catenin in sertoli cell tumors and other sex cord-stromal tumors of the testis: an immunohistochemical study of 87 cases [J]. Am J Surg Pathol, 2015, 39(10): 1390-1394. doi: 10.1097/PAS.0000000000000455. 赵明 ,赵丹珲 , 贺慧颖 , 张欣 , 茹国庆 , 何向蕾 , 王哲 , 滕晓东.睾丸非特殊类型支持细胞瘤临床病理和分子特征分析.中华病理学杂志. 2018; 477. :505-9.