睾丸混合性性索-间质肿瘤
Testicular Mixed Sex Cord-stromal Tumours
概述:
性索-间质肿瘤,具两种或两种以上性索-间质肿瘤成分。
发病部位: 睾丸
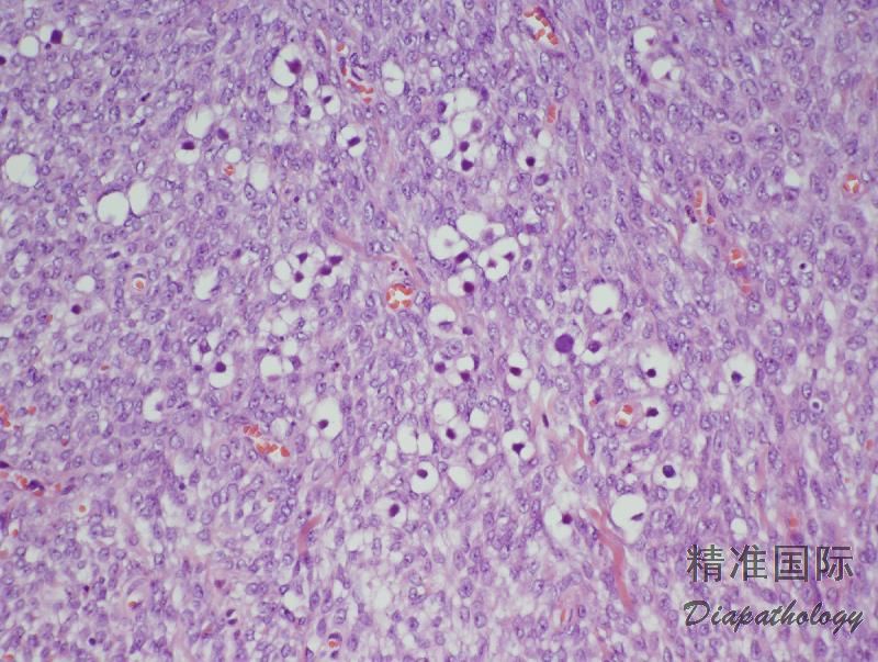
诊断要点:
- 常发生于中老年患者,表现为睾丸肿胀或包块;大体检查肿瘤为实性,切面黄-白色;
- 由两种或两种以上性索-间质肿瘤成分构成,各成分比例不定,混合方式不一;
- 偶尔可见正常结构的曲细精管陷入肿瘤中。

免疫组织化学染色:
各成分免疫组织化学染色方式与各自单一成分组成的肿瘤相似。F1. desmin、actin-sm、S100. CD99. CK (可局灶)、inhibin 及 calretinin(局灶)阳性;PLAP、OCT3/4. podoplanin (D2-40)、SALL4 及 HMB-45 均阴性。
鉴别诊断:
混合性生殖细胞-性索间质肿瘤:含有生殖细胞肿瘤成分
预后:
不详,生物学行为多数为中间型。
治疗:
睾丸切除
病例报道:
Spermatogonial Nature of the Germ Cell Component of CanineTesticularMixedGerm Cell-Sex Cord Stromal Tumours.
参考文献: