前列腺基底细胞癌
Prostate Basal Cell Carcinoma
概述:
是来源于前列腺腺体周围基底细胞的恶性肿瘤。
发病部位: 前列腺
诊断要点:
患者通常年龄较大,临床表现为尿路梗阻,多为经尿道切除标本诊断,少数在根治前列腺切除标本中诊断,除非伴有普通的腺泡性腺癌,否则一般 PSA 不高;
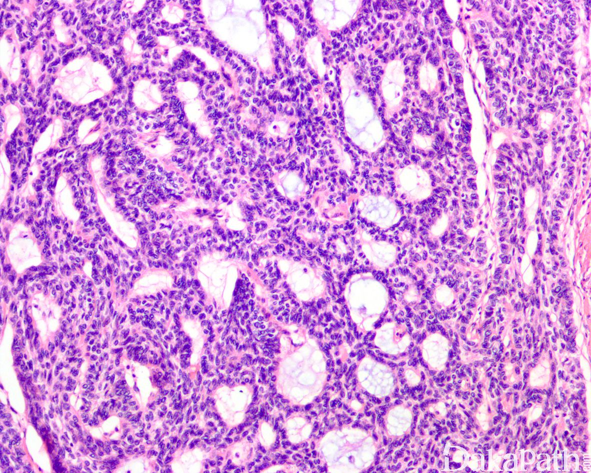
大多数病例显示多少不等的腺样囊性或筛状结构伴浓缩的分泌物及基底样小巢状结构;
部分病例形态与皮肤的基底细胞癌相似,可见大的基底细胞样细胞巢,周围呈栅状排列,并伴有中央坏死;
其它结构包括相互吻合的基底细胞巢、索,中央排列嗜酸性细胞的管状结构、大小不一、形态不规则的基底细胞巢等;
间质为促结缔组织增生性;
瘤细胞基底样,常见核沟;核分裂象多少不等(0-60 个/10HPF);
下列结构可用于前列腺基底细胞癌与基底细胞增生的鉴别:腺样囊性结构,交织网状的基底细胞巢和小管中央可见被覆的胞浆较丰富的嗜酸性细胞,大小不等的小-中等大的细胞巢伴有不规则轮廓,以及大的实性巢状结构;
8,前列腺基底细胞癌的其他常见特征包括:肿瘤在正常前列腺腺泡之间广泛的浸润性生长,前列腺外扩散,神经周累犯以及肿瘤性坏死(较少见)等。

免疫组织化学染色:
肿瘤性的基底细胞成分 34βE12. CK5/6 阳性,部分可 GATA3 阳性;腔面细胞 CK7 阳性,可表达 HER2,但 34βE12. CK5/6 和 CK20 阴性。肿瘤性的基底细胞 AMACR 阴性或弱阳性,bcl 2 阳性,ki-67 高表达。
分子标记:
某些具有腺样囊性癌组织学特征的前列腺基底细胞癌可见 MYB 基因重排,提示可能是其独特的组织学亚型
鉴别诊断:
基底细胞增生:缺乏 腺样囊性结构,无交织网状的基底细胞巢和小管中央可见的胞浆较丰富的嗜酸性细胞,无大小不等的小-中等大的细胞巢伴有不规则轮廓,无大的实性巢状结构,无正常前列腺腺泡之间广泛的浸润性生长,无前列腺外扩散,无神经周累犯以及肿瘤性坏死。Bcl2 通常阴性或局灶阳性,Ki67 增殖指数较低。
前列腺腺泡性腺癌:瘤细胞可见明显的核仁,胞浆量较基底细胞癌多,免疫组化染色表达 PSA 和 AMACR,不表达基底细胞标志物。
尿路上皮癌:瘤细胞异型性更明显,胞浆致密嗜酸性,免疫组化染色除了表达高分子质量角蛋白和 P63 之外尚表达 CK20 和 GATA3 等。
预后:
基底细胞癌可发生局部前列腺外侵犯及远隔转移。
治疗:
根治性前列腺切除
病例报道:
Basal cell carcinomaof theprostate: acasereport.
参考文献:
Ali TZ, Epstein JI. Basal cell carcinoma of the prostate: a clinicopathologic study of 29 cases. Am J Surg Pathol 2007;31:
697-705. Moch H, Humphrey P A, Ulbright T M, et al. WHO Classification of Tumours of the Urinary System and Male Genital Organ . Lyon: IARC, 2016.
← 前列腺腺泡性腺癌,微囊型 前列腺尿路上皮癌 →