前列腺腺泡性腺癌,印戒样型
Prostate Acinar Adenocarcinoma,Signet-ring Like Variant
概述:
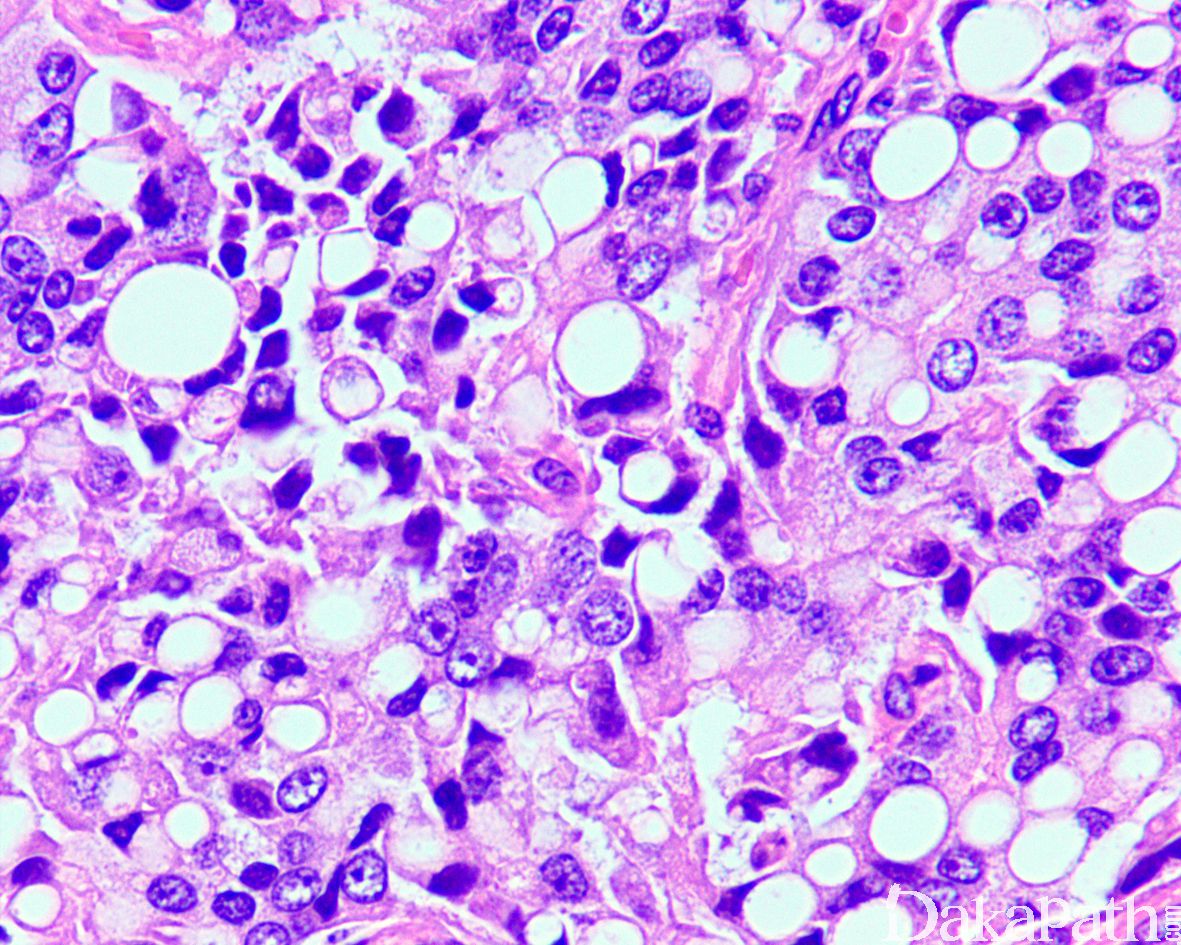
最少 25%的肿瘤成分由印戒样细胞构成。
发病部位: 前列腺
诊断要点:
- 少见,为高侵袭性亚型,常与经典的腺泡性腺癌混合存在;最少 25%的肿瘤成分由印戒样细胞构成;
- 胞浆内空泡可见于任何亚型的前列腺腺癌中,前列腺印戒细胞样癌定义为在 Gleason 5 结构(单个细胞或条索状瘤细胞)基础上,出现胞浆空泡,似印戒样细胞,然而与真正的印戒细胞不同,瘤细胞胞浆浆为空泡,无黏液。

免疫组织化学染色:
基底细胞标记 P63. P40、34βE12 阴性,PSA、AMACR 阳性。
鉴别诊断:
转移性或继发性累及前列腺的印戒细胞癌:主要来源于胃肠道和膀胱,无伴随的普通的前列腺腺泡性腺癌 :通常 CK20 和 CDX2 阳性,PAS 染色胞浆阳性,PSA、AMACR 阴性。
前列腺间质的淋巴细胞印戒细胞样改变:出现在前列腺炎的背景中,免疫组化染色表达 LCA,不表达 PSA 和 PSAP。
肾源性腺瘤:除了印戒样细胞之外,常见被覆立方上皮的小管和乳头状结构,间质水肿伴慢性炎症浸润,免疫组化染色表达 PAX2 和 PAX8,不表达 PSA。
治疗:
根治切除+激素治疗
病例报道:
[Signet ringcelldifferentiation inadenocarcinomaof theprostate: a study of five cases.](http://onlinelibrary.wiley.com/doi/10.1111/j.1365-2559.1993. tb00137. x/abstract?systemMessage=Wiley+Online+Library+will+be+unavailable+on+Saturday+3rd+September+2016+at+08.30+BST%2F+03%3A30+EDT%2F+15%3A30+SGT+for+5+hours+and+Sunday+4th+September+at+10%3A00+BST%2F+05%3A00+EST%2F+17%3A00+SGT+for+1+hour++for+essential+maintenance.+Apologies+for+the+inconvenience)
参考文献:
Fine SW.
Adv Anat Pathol. 2012 Jul;19(4):204-16. doi: 10.1097/PAP.0b013e31825c6b92. Review.
Primary signet ring cell carcinoma of the prostate: report and review of 42 cases.
Fujita K, Sugao H, Gotoh T, Yokomizo S, Itoh Y.
Int J Urol. 2004 Mar;11(3):178-81. Review.
Torbenson M, Dhir R, Nangia A, Becich MJ, Kapadia SB.
Mod Pathol. 1998 Jun;11(6):552-9. Review.