前列腺腺泡性腺癌,多形性巨细胞型
Acinar Adenocarcinoma,Pleomorphic Giant Cell Variant
概述:
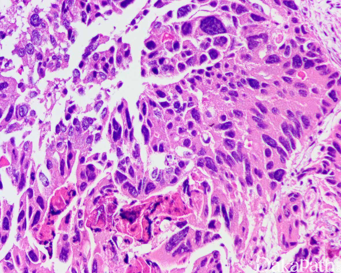
特别罕见的前列腺癌亚型,瘤细胞瘤体巨大,具有多形性、间变性和怪异性的核,无梭形细胞成分。
发病部位: 前列腺
诊断要点:
非常罕见,诊断时平均年龄 75 岁(39-90 岁);大多数患者有普通的腺泡性腺癌的激素或放疗治疗史;
比例从< 5%-70%不等,肿瘤具有巨大、怪异的间变性瘤细胞,具多形性核,核分裂象活跃,常见非典型核分裂象,但缺乏梭形细胞;
几乎总是和 ≥Gleason 9 的广泛普通腺癌混合存在;
部分病例可见小灶鳞状细胞癌、神经内分泌癌或导管腺癌。

免疫组织化学染色:
瘤巨细胞 CK、CAM5.2 阳性,75%的病例 NKX3.1 阳性,40%病例 P501s 阳性,55%的病例 HXOB13 阳性,但仅约 25%的病例 PSA 阳性,GATA3 偶尔可局灶阳性。基底细胞标记 P63. P40、34βE12 阴性,ERG 和 β-HCG 阴性。PTEN 表达丢失。
分子标记:
DNA 非整倍体
鉴别诊断:
前列腺肉瘤样癌伴或不伴有破骨样巨细胞:存在不同比例的梭形细胞成分,巨细胞为反应性的破骨样巨细胞,核多个但形态较温和,免疫组化染色表达 CD68 而不表达上皮性标志物。
膀胱多形性巨细胞癌累及前列腺:单纯的多形性巨细胞癌组织学上几乎无法区分,膀胱多形性巨细胞癌通常混有普通的尿路上皮癌成分,免疫组化染色一般表达 GATA3 和 P63,不表达 NKX3.1 和 PSA;而前列腺多形性巨细胞癌通常混有普通的腺泡性腺癌成分,免疫组化染色表达 NXK3.1 和/或 PSA,而一般不表达 GATA3 和 P63 等。需要注意的是,前列腺多形性巨细胞癌偶尔亦可局灶表达 GATA3 而完全不表达 PSA,因此需要联合应用多个前列腺来源和尿路上皮来源的标志物来进行鉴别诊断。
预后:
预后差,侵袭性强。总体生存率不超过 1 年。
治疗:
前列腺根治切除伴或不伴有术后辅助治疗
参考文献:
Parwani AV, Herawi M, Epstein JI. Pleomorphic giant cell adenocarcinoma of the prostate: report of 6 cases. Am J Surg Pathol 2006;30:1254–9. Lopez-Beltran A, Eble JN, Bostwick DG. Pleomorphic giant cell carcinoma of the prostate. Arch Pathol Lab Med 2005;129:683–5. Alharbi, Abdullah M, De Marzo, Angelo M, Hicks, Jessica L, et al. Prostatic Adenocarcinoma With Focal Pleomorphic Giant Cell Features[J]. Am J Surg Pathol 2018, 42(10):1286-1296.
← 前列腺导管腺癌 高级别前列腺上皮内瘤变 →