前列腺腺泡性腺癌,微囊型
Prostate Acinar Adenocarcinoma,Microcystic Variant
概述:
由中等大小、呈囊性扩张的腺体构成的前列腺腺泡性腺癌。
发病部位: 前列腺
诊断要点:
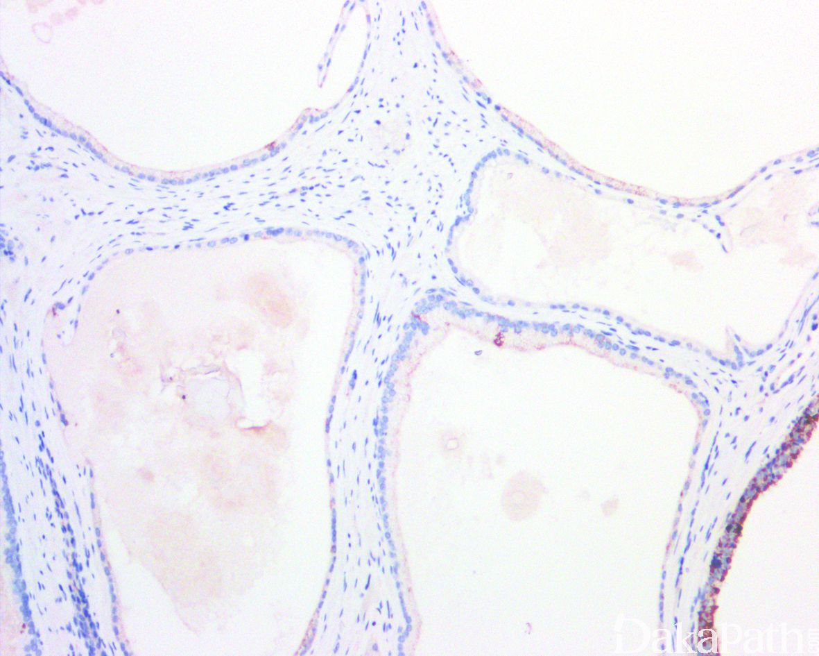
- 根治切除标本中,约 11%的普通腺泡性腺癌可见到微囊结构的病灶,微囊性前列腺腺癌表现为混合性的结节状和浸润性生长(浸润至良性腺体之间),周围伴有普通的腺泡性腺癌成分;
- 镜下微囊性腺体的直径 0.4-0.9mm,平均相当于 10 倍小腺泡性腺癌的腺体的直径,腺体拥挤,呈圆形扩张,几乎所有病例的均至少局灶可见菱形结晶体和丝状的黏液分泌,腔缘一般平坦,有时可表现为假增生性特征,属 Gleason 3 级结构;
- 肿瘤性上皮细胞胞浆部分丢失,呈现萎缩性改变,但是尚保留普通的腺泡性腺癌核的特征,常见明显的核仁。

免疫组织化学染色:
基底细胞标记 P63. P40、34βE12 完全阴性,几乎所有病例 AMACR 均阳性。
分子标记:
同普通的腺泡性前列腺腺癌
鉴别诊断:
前列腺囊性萎缩:病灶尚保留小叶状结构,上皮细胞胞浆萎缩,核轻度增大,无明显增大的核仁,无伴随的普通腺泡性腺癌,免疫组化染色基底细胞无完全缺失。
前列腺腺体性增生:较大的腺体与较小的良性腺体混合性增生,两者具有相同的细胞组成特征,腔面上皮增生无明显增大的核和核仁,免疫组化染色基底细胞无完全缺失。
平坦型高级别前列腺上皮内瘤变(PIN):平坦型 PIN 无萎缩性改变的上皮特征,免疫组化染色基底细胞无完全缺失。
预后:
主要取决于伴随的普通性腺癌性腺癌的 Gleason 分级和肿瘤分期,2/3 为 pT2 期,1/3 为 pT3 期
治疗:
经尿道或根治性前列腺切除
病例报道:
An unusualvariantof prostatic adenocarcinoma with metastasis to testis. Acasereport.
参考文献:
Yaskiv O,Cao D,Humphrey PA.Microcystic adenocarcinoma of the prostate: a variant of pseudohyperplastic and atrophic patterns.[J].American Journal of Surgical Pathology,2010,34(4):556-561.