前列腺腺泡性腺癌,肉瘤样型
Prostate Acinar Adenocarcinoma,Sarcomatoid Variant
同义词(或曾用名): 癌肉瘤
概述:
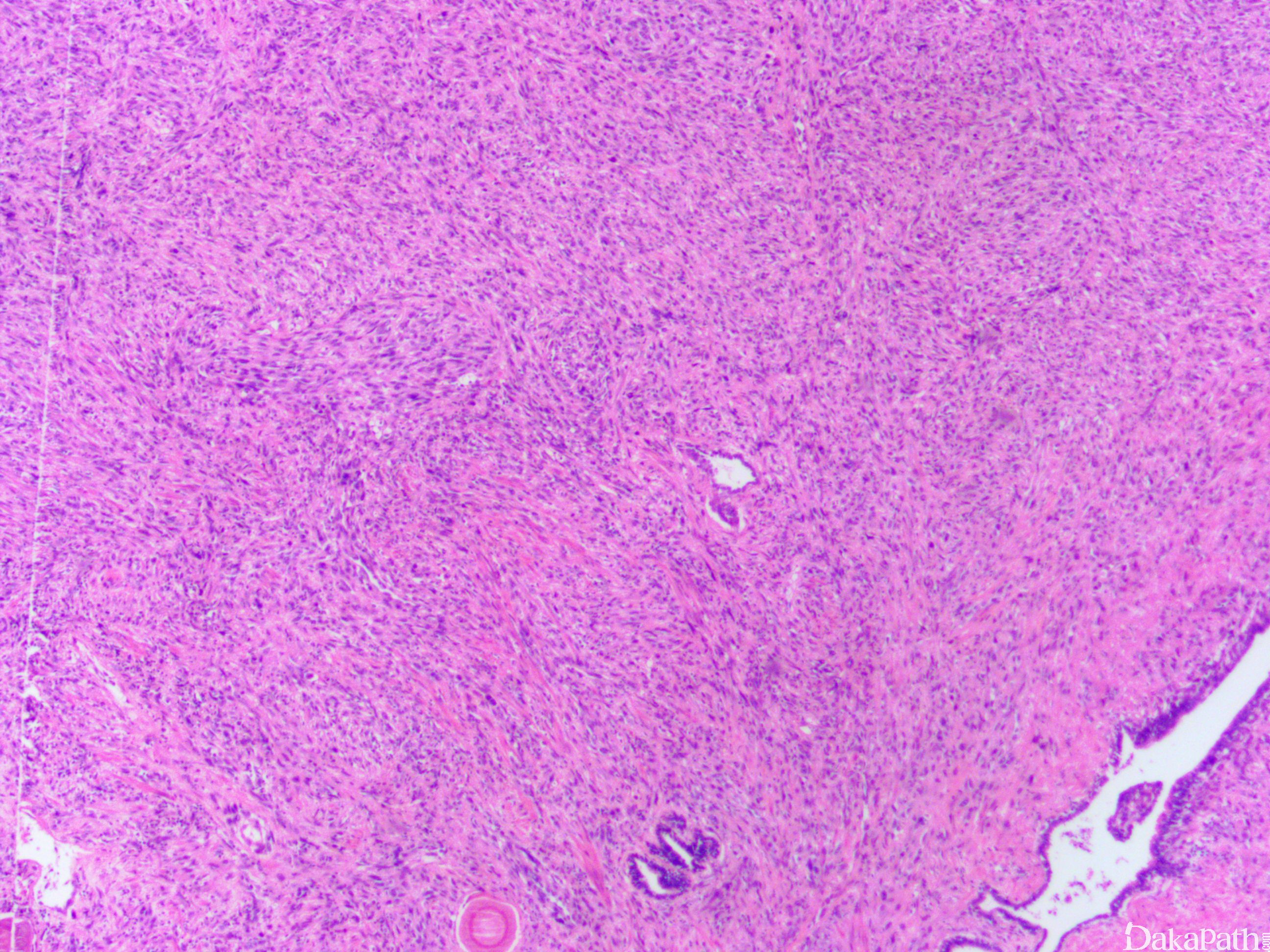
具有上皮样与肉瘤样双向分化成分。
发病部位: 前列腺
诊断要点:
- 常发生于老年患者,平均发病年龄 68 岁,半数病人具腺泡性腺癌放疗或激素治疗史;
- 上皮成分通常表现为 Gleason 高级别的腺泡性腺癌;
- 肉瘤样成分可包括异源性的骨肉瘤、软骨肉瘤、横纹肌肉瘤、脂肪肉瘤、血管肉瘤及其它多种异源成分。

免疫组织化学染色:
上皮成分 CK、PSA、PAP 阳性,肉瘤样成分 CK 表达减少,或表达相应的间叶组织抗原。
鉴别诊断:
前列腺特殊类型的肉瘤:相比较于肉瘤样前列腺癌来说更为罕见,诊断前列腺特殊类型的肉瘤之前需广泛的取材和免疫标记除外前列腺肉瘤样癌。
前列腺间质肉瘤:内陷的为良性的前列腺上皮,间质肉瘤不同程度表达 cd34 和 bcl2 等。
预后:
预后差,5 年肿瘤特异性的生存率仅约 50%
治疗:
根治性前列腺切除伴或不伴术后辅助治疗
病例报道:
An unusualvariantof prostatic adenocarcinoma with metastasis to testis. Acasereport.
参考文献:
Hansel D E, Epstein J I. Sarcomatoid carcinoma of the prostate: a study of 42 cases[J]. American Journal of Surgical Pathology, 2006, 30(10):1316-21.